Head
Eyes
Ears
Nose
Throat/Neck
Diagnostics
100

This term is used to describe a normal sized head.

What is normocephalic?

100

The name of the opening between the eyelids.

What is the palpebral fissure?

100

Type of hearing loss that occurs gradually and is common in older adults.

What is presbycusis?

100

The medical term for nosebleeds.

What is epistaxis?

100

Name 2 landmarks used in palpation of the thyroid.

What are the cricoid cartilage and thyroid cartilage?

100

Topical fluorescein staining and Wood's lamp evaluation can be used to diagnose this ophthalmic injury.

What is a corneal abrasion?

200

Name the four cranial bones.

What are frontal, temporal, parietal, and occipital?

200

Describe what PERRLA means.

What is pupils equal round reactive to light and accommodation?

200
Name 3 tests used to assess hearing.

What are the whisper test (finger rub test), Weber, and Rinne test?

200

Describe the test for nasal patency and why it is performed.

What is the patient is instructed to occlude each nostril and breathe in and out with the mouth closed. It is used to assess for any blockages in the nasal passage.

200

Name at least 3 types of lymph nodes palpable in the neck.

What are the anterior cervical, posterior cervical, deep cervical nodes.

200

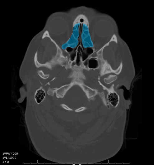
Name the structure/s highlighted blue in the CT image below.

What are the ethmoid sinuses?

300

The only sinuses present at birth.

What are the maxillary and ethmoid sinuses?

300

Corneal opacities, such as cataracts, are best evaluated with this type of lighting.

What is oblique lighting?

300

Insufflation of the tympanic membrane should not be performed in this scenario.

What is suspicion of TM perforation?

300

The turbinates visualized during a speculum exam.

What are the middle and inferior turbinates?

300

Describe the abnormal physical exam finding in the picture below.

What is a thyroid goiter?

300

Name the fracture shown in the CT image below and the complication typically associated with this injury.

What is a blow-out orbital fracture and ocular muscle entrapment?

400

Name four abnormal findings assessed when palpating the scalp.

What are lesions, scaliness, nodules, and discoloration?
400
Name at least 5 physical examination tests used to assess the eyes.

What are corneal light reflex, accomodation, cover/uncover test, convergence/divergence, EOM, peripheral angles, corneal reflex.

400

Weber lateralizes to the right ear.

BC > AC in the right ear.

What is conductive hearing loss of the right ear?

400

Unilateral, purulent, thick, greenish, malodorous nasal discharge is associated with this condition.

What is a nasal foreign body?

400
This PE maneuver should be done if the thyroid is found to be enlarged upon palpation.

What is ausculatate with the bell of the stethoscope for a thyroid bruit?

400

Name the radiologic view of the skull shown below?

What is a Caldwell (PA) view of the skull?

500

The physical exam finding (shown here) associated with Cushing's Syndrome.

What is "moon facies"?

500

Describe the physical exam finding below.


What is ptosis?

500

Describe the physical exam finding shown in the picture below.

What is an erythematous, bulging (loss of landmarks) TM?

500

Describe the abnormal physical exam finding in the picture below.

What is a nasal polyp?

500

Describe the physical exam finding in the picture below and name 3 possible causes of the condition.


What is hairy tongue?

What is poor hygeine, dry mouth, abx use, tobacco/ alcohol use?

500

Describe the radiologic finding in the CT below.


What is bilateral maxillary sinusitis?

M
e
n
u