Cross linked fragments of fibrin whose plasma blood concentrations carry poor specificity when screening for PE
D-Dimer
Meta-analyses confirm that this class of agents provides a net clinical benefit over warfarin, aspirin, or placebo for long-term secondary prevention of VTE
Direct oral anticoagulants (DOACS)
This score is commonly utilized to classify the acuity of patients with PE
Pulmonary Embolism Severity Index (PESI)

very low (≤ 65) or low risk (66-85) by the PESI score; intermediate (86-105), high risk (106-125) or very high risk (>125) by the PESI
Most common WHO Group of PH
Group 2 (L sided)
This diagnostic test you may utilize as first choice for a patient with a PE 5 months ago, has unexplained dyspnea and elevated RVSP on echo
V/Q scan (for CTEPH)

Finding
S1Q3T3
A commonly used risk score to assess risk of VTE in hospitalized patients, guiding decision making for VTE prophylaxis
Padua Prediction Score


Clot in transit through a PFO
Classify this patient (according to the ESC 2022 guidelines) into pre-capillary, isolated post-capillary or combined PH: mPAP 30 mmHg, PAWP 20 mmHg, PVR 1.8 WU
Isolated post capillary

This cutoff for TAPSE (Tricuspid Annular Plane Systolic Excursion) was shown to be associated with higher mortality in Group 1 PH
<=1.7 cm
On echo, this finding defined by RV dyskinesis sparing the apex is suggestive of PE
McConnell's sign

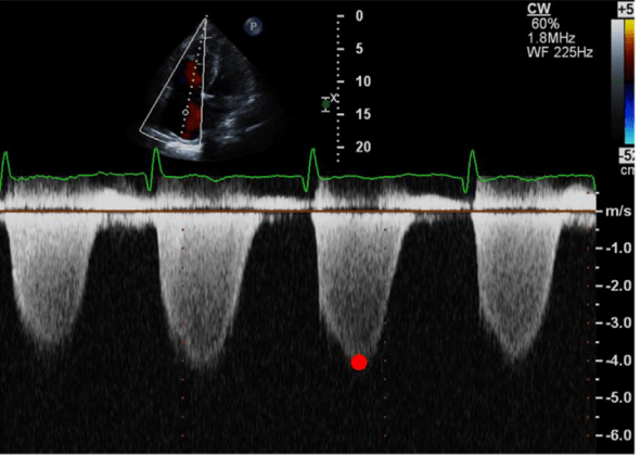
RA 15 mmHg, calculate RVSP, is it high?
RVSP = [4 x (peak TR velocity)2 + RAP]
15 + 64 = 79 mmHg
Cutoff for elevated = <35 normal, 35-49 mild, 50-69 moderate, >70 severe

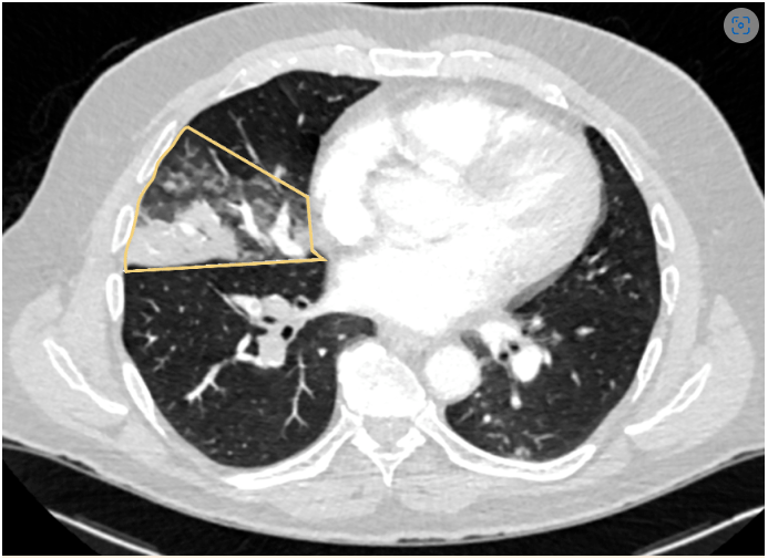
Pulmonary infarction - large wedge shaped
Vasoreactivity testing is recommended only in these three subgroups of Group 1 PH
IPAH (Idiopathic), HPAH (Heritable) or DPAH (Drug - or toxin - associated)
According to ASE, the view we should measure the RV size dimensions in the apical 4

RV-focused apical 4-chamber view

Physical exam findings to differentiate the diagnosis of chronic venous insufficiency from lymphedema (name two)
Suggestive of chronic venous insufficiency -
1. Pain relief with leg elevation
2. Symmetric swelling of legs bilaterally
3. Increase of swelling at night
4. Negative Kaposi-Stemmer sign (skin of basal dorsum of second toe cannot be pinched as a fold between the fingers)
According to 2019 ESC guidelines, risk classification of a PE patient with (+) troponin levels, (+) RV dysfunction on TTE/CTPE, PESI class III-V with no acute hemodynamic instability
Intermediate-high risk

Which novel method of treating "massive and submassive" PE was evaluated in SEATTLE II trial, ultimately led to approval by FDA in 2014
Ultrasound-facilitated, catheter-directed fibrinolysis (24 mg t-PA)
Mean RV-to-LV ratio decreased by 25%, mean pulmonary artery systolic pressure decreased by 30%
Cutoffs for RV size measurement according to ASE

41 - 35 - 83
AMBITION trial in 2015 demonstrated this combination therapy to be more effective than either monotherapy for initial management of treatment-naive group 1 PH
(Med groups accepted)
Ambrisentan (selective endothelin receptor-type A antagonist) plus tadalafil (PDE-V inhibitor)
Name >=3 components of Wells' criteria
DVT symptoms or signs, alternative diagnosis less likely than PE, HR > 100, immobilization or surgery within last 4 weeks, previous DVT/PE, hemoptysis, cancer treated within past 6 months or metastatic

The MAGELLAN and MARINER trials demonstrated the efficacy of this oral factor Xa inhibitor for extended-duration VTE prophylaxis after medical hospitalization, leading to its FDA approval in 2019
Rivaroxaban
This trial demonstrated the efficacy and safety of Apixaban compared to Warfarin in patients with PE/DVT
AMPLIFY trial -

Definition of "responders" of vasoreactivity testing
1. Drop of >=10 mmHg mPAP from baseline to <=40 mmHg
2. Increased or unchanged cardiac output
Procedure's name - findings - indications

Pulmonary Balloon Angioplasty - may be done for inoperable CTEPH
Out of these RV PV loop morphologies of PH patients, which two carries worse prognosis (ESP = End Systolic Pressure; BSP = Beginning Systolic Pressure)

Trapezoid and notched - (ESP - BSP) being a positive value is not expected normally, indicating higher late systolic pressures and poor pulmonary arterial impedance - ie RV-arterial coupling

The Queen and David Bowie hit single "Under Pressure" left fans breathless when it was released in this year
1981