1
2
3
4
5
100

3 signos para confirmar apendicitis

Dunphy, blumberg, rovsing, McBurney

100

¿De que te protege la vacuna triple viral?

Sarampión, Rubeola y Paperas (parotiditis)

100

Signos de irritación meníngea

Rigidez de nuca, signo de Kernig, signo de brudzinski

100

Qué norma se enfoca en la atención a Personas de 10 a 19 años

NOM-047-SSA2-2015

100

Menciona la diferencia entre neumonía típica y atípica

La típica presenta un inicio súbito y evolución aguda rápida, con fiebre alta y síntomas intensos en cambio, la atípica tiene un inicio gradual, síntomas más leves y prolongados , con mayor duración de fiebre y evolución gripal.

200

Agente causal más común de encefalitis

Herpes Simple tipo 1

200

Causa principal de abdomen agudo y menciona al menos 2 causas más

Apendicitis aguda, colecistitis, diverticulitis, pancreatitis, obstrucción intestinal

200

Que evalua la clasificación ALICIA? y que significa cada letra?

Aparición, localización, irradiación, características, intensidad, atenuantes/agravantes

200

Niveles de plaquetas en trombocitopenia grave

Menos de 50 mil plaquetas

200

¿El ácido hialurónico es una buena opción para aumentar glúteos? 

No. La FDA y los cirujanos no lo recomiendan porque puede migrar y causar complicaciones.

300

Menciona al menos 2 cosas que se podría encontrar en la exploración física en un paciente con VIH

Adenomegalias, Linfadenopatías, exantema cutáneo, candidiasis oral

300

Define que son los biopolímeros

Son sustancias de origen sintético, vegetal o derivadas del petróleo que se utilizan de manera ilegal o no regulada con fines estéticos para aumentar volumen o modificar contornos corporales

300

Como estarian los signos vitales de una persona en choque séptico

TA: Baja. FC: aumentada. FR: Elevada. Temperatura: alta. SO: (depende, comúnmente baja)

300

¿Cuánto tiempo tarda en presentarse manifestaciones clínicas después de la aplicación de los polímeros?

Manifestaciones clínicas puede aparecer entre las 6 horas y los 30 años posteriores a la aplicación

300

A partir de que edad se puede poner la vacuna de VPH, y a que rango de edad se pone comunmente

Se puede poner a partir de los 9 años, y el rango promedio es de 11-13 años

400

¿Qué características clínicas diferencian una reacción inflamatoria temprana de una complicación crónica por biopolímeros?

Reacción temprana: dolor, enrojecimiento, calor, edema y nódulos blandos; se limita al sitio infiltrado y responde a tratamiento.

Complicación crónica: nódulos duros, fibrosis, deformidad, migración del material, fistulas y síntomas sistémicos; no responde a manejo convencional.

400

Si un “especialista” ofrece un procedimiento en casa, usa solo redes sociales para mostrar “resultados” y no tiene clínica física, ¿qué red flag crítico está presente?

La falta de un entorno médico real y certificado, lo que indica riesgo de que use materiales no permitidos o técnicas clandestinas.

400

Los biopolímeros son biocompatibles, si/no? Porque?

Se ha demostrado que ninguno de estos compuestos es biocompatible. Al ser sustancias no reabsorbibles, pueden permanecer en el organismo durante décadas

400

Menciona 3 tipos de métodos anticonceptivos y 1 ejemplo de uno

De barrera, hormonales, reversibles de larga duración, natural, permanentes, de emergencia

400

Menciona 3 tipos de biopolímeros que no sea silicona

Colágeno bovino, ácido hialurónico, ácido poli láctico, hidrogel acrílico, polimetilmetacrilato

500

Menciona al menos 3 diagnósticos diferenciales de Mycoplasma pneumoniae

Chlamydia pneumoniae, Legionella pneumophila, Virus Influenza A y B, SARS-CoV-2 (COVID-19), Coxiella burnetii (fiebre Q)

500

Una paciente femenina es diagnosticada con anemia ferropénica, que valores se verían disminuido y en que niveles para confirmar este diagnostico?

HB: <12. VCM: <80. HCM: <27

500

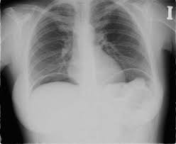
Que tiene este paciente y como se llama el signo?

Neumoperitoeneo, signo de ala de gaviota

500

Con qué estudio de gabinete diagnosticar alogenosis iatrogénica y que se encontraría

Resonancia magnética, Lesiones infiltrativas en tejidos blandos, presencia de nódulos o masas blanquecinas, patrón en “virutas” o “manchas”, inflamación y fibrosis

500

¿Qué complicaciones sistémicas pueden desarrollarse a largo plazo por la migración y permanencia de biopolímeros en el organismo, y cómo influyen en el manejo clínico del paciente?

Los biopolímeros pueden causar síndromes autoinflamatorios, enfermedades autoinmunes, infecciones recurrentes, linfadenopatías y malestar sistémico crónico.

Esto obliga a un manejo multidisciplinario, uso de inmunomoduladores, seguimiento prolongado y dificulta la extracción quirúrgica por la migración y fibrosis.

M
e
n
u