La benzocaïne 20% du groupe ester est l’anesthésique topique le plus couramment utilisé en dentisterie. Dans combien de temps, est-ce que la benzocaïne atteint son plein effet et quelle est la durée de l’effet?
a. 1 minute - 5 à 10 minutes
b. 2 minutes - 5 à 15 minutes
c. 3 minutes - 5 à 20 minutes

b. 2 minutes/5 à 15 minutes
Combien de mm est-ce que la solution anesthésique doit couvrir pour qu’un bloc dentaire soit efficace?
a. 2 à 4 mm
b. 5 à 7 mm
c. 8 à 10 mm

c. 8 à 10 mm
Lors de l’administration d’un anesthésique local, le client bouge soudainement et l’aiguille se brise dans le site d’injection. Quelle sera la première étape à effectuer par l’hygiéniste dentaire?
a. Gardez les mains dans la bouche du client
b. Documentez soigneusement et entièrement l’incident
c. Envoyez le client chez un chirurgien maxillo-facial au besoin

a. Gardez les mains dans la bouche du client
Si le client adulte éprouve de l’érythème à la suite de l’administration d’un anesthésique local, quel médicament doit être ordonné afin d’alléger la réaction allergique?
a. Corticostéroïdes
b. Benadryl 25 à 50 mg
c. 0,3 ml d’épinéphrine (1 :1000)

b. Benadryl 25 à 50 mg
L’anxiété et la crainte peuvent augmenter le niveau de tolérance à la douleur et altérer la perception des clients?
a. Vrai
b. Faux

b. Faux
L’hygiéniste dentaire se prépare à administrer l’Oraqix en vue de débrider le 5e et 6e sextant avec le détartreur ultrasonique et les détartreurs manuels. Quelle est la dose maximale recommandée par séance de traitement?
a. 3 cartouches
b. 5 cartouches
c. 7 cartouches

5 cartouches
En considérant que les enfants ou les personnes ayant un handicap physique ou mental peuvent se blesser en se mordant ou en se mâchant involontairement la lèvre ou la langue, quel anesthésique local devrait être évité?
a. Courte durée
b. Moyenne durée
c. Longue durée
c. Longue durée
Quel est un symptôme d’une surdose d’anesthésique local?
a. Convulsions
b. Vomissement
c. Désorientation

c. Désorientation
Quelle condition abaisse le pH dans les tissus et doit être considérée par le dentiste avant l’administration d’un anesthésique local?
a. Infection
b. Bradycardie
c. Hypertension

a. Infection
Quelle autre intervention sera la meilleure à effectuer avant l’administration d’un anesthésique local lorsque le client démontre des signes d’anxiété?
a. Sédation par inhalation
b. Prise d’analgésiques narcotiques
c. Utilisation d’un anesthésique local simple
a. Sédation par inhalation
Énumérez une raison pour laquelle les anesthésiques topiques sont utilisés par les gens de tout âge :

- Atténuer la douleur
- Les appareils orthodontiques
- Les ulcères aphteux
- Les prothèses dentaires
- Les maux de dents
Quel anesthésique local permet l’anesthésie pulpaire, contient un vasoconstricteur et dure environ une heure?
a. Courte durée
b. Moyenne durée
c. Longue durée

b. Moyenne durée
Quelle lésion intrabuccale post-anesthésique est considérée comme une complication locale de l’administration d’un anesthésique local et guérit entre 7 à 10 jours?
a. Muguet
b. Herpès simplex
c. Langue chevelue

b. Herpès simplex
Que signifie le terme «agent anesthésique local simple»?
a. Goût agréable
b. Sans épinéphrine
c. Facile à administrer

b. Sans épinéphrine
Suite à l’administration d’anesthésique local, l’hygiéniste dentaire doit s’assurer que la documentation soit complète et précise. Quelles sont 5 des 8 choses à inclure?

Anesthésique local
Concentration utilisée
Vasoconstricteur administré avec le volume en mg
Type d’aiguille
Calibre de l’aiguille
Injections effectuées
L’heure
Réactions allergiques
Énumérez deux formes d’anesthésiques topiques disponibles :

a. Gel
b. Onguent
Nomme la raison pourquoi le dentiste doit vérifier la date d’expiration avant d’administrer un anesthésique local :

L’agent anesthésique local risque de ne plus être stérile et efficace.
Quelle urgence dentaire est la plus commune à la suite de l’administration d’un anesthésique local?
a. Coma
b. Syncope
c. Infarctus du myocarde

b. Syncope
Qu’entraînent les propriétés vasodilatatrices des anesthésiques locaux?
a. L’anesthésique est absorbé plus lentement dans la circulation sanguine, car il ne demeure pas au site d’injection
b. Le taux plasmatique des anesthésiques locaux est plus élevé, ce qui augmente le risque de toxicité
c. Le risque de saignement diminue dans la région à cause de l’augmentation de la circulation sanguine

b. Le taux plasmatique des anesthésiques locaux est plus élevé, ce qui augmente le risque de toxicité
Que signifie ces abréviations des blocs dentaires mandibulaires? :
a. AI/DI
b. B
c. IN
a. AI/DI: Alvéolaire inférieur / dentaire inférieur
b. B : Buccal
c. IN : Incisif
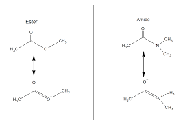
Dans quelle circonstance, est-ce que l’hygiéniste dentaire utilisera la lidocaïne 5% au lieu de la benzocaïne 20% comme anesthésique topique?
a. Allergie aux esters
b. Allergie aux amides
c. Préférence du client

a. Allergie aux esters
Comment est-ce que le dentiste évite la sensation de brûlure pendant l’administration d’un anesthésique local?
a. Injectez rapidement
b. Gardez les cartouches à la température ambiante
c. Entreposez les cartouches dans une solution désinfectante

b. Gardez les cartouches à la température ambiante
Quel est un signe d’une surdose d’anesthésique local?
a. Céphalée
b. Diaphorèse
c. Goût métallique

b. Diaphorèse
Pour quelle raison est-il souhaitable que les vasoconstricteurs retardent l’absorption des anesthésiques locaux?
a. Pour provoquer l’hémostasie
b. Pour diminuer la durée des effets de l’anesthésique local
c. Pour augmenter la circulation sanguine dans la zone de l’injection en rétrécissant
d. Les vaisseaux sanguins

a. Pour provoquer l’hémostasie
Que signifie ces abréviations des blocs dentaires mandibulaires? :
a. ASA
b. ASM
c. ASP

a. ASA : Alvéolaire supérieur antérieur
b. ASM : Alvéolaire supérieur moyen
c. ASP : Alvéolaire supérieur postérieur
L’hygiéniste dentaire se prépare pour la prise d’une série buccale complète chez son client qui éprouve un réflexe nauséeux prononcé. Quelle est la meilleure raison pour laquelle il est important d’utiliser un vaporisateur doseur au lieu d’un vaporisateur non doseur?
a. Goût est préférable
b. Plus facile à administrer
c. Meilleur contrôle du volume administré
c. Meilleur contrôle du volume administré
Nomme une facteur qui peut déterminer le succès de l’administration d’un agent anesthésique :

- La technique
- L’évaluation précise et complète du client
- Le choix de l’anesthésique local
- Le choix de l’injection à administrer
- L'administration sécuritaire du médicament
- La prise en charge efficace du client.
Quel est un symptôme d’une surdose d’épinéphrine?
a. Céphalée
b. Hypertension
c. Éruption cutanée

a. Céphalée
Associez les termes avec leurs définitions:
Tachyphylaxie - _
Transsudation - _
Hypernatrémie - _
a. Perturbation de l’équilibre électrolytique qui se traduit par un niveau élevé de sodium dans le sang
b. Processus d’exsudation; fuite lente de liquides des vaisseaux sanguins à travers des pores ou des fissures dans les membranes cellulaires
c. Atténuation rapide de la réaction à un médicament après avoir reçu plusieurs doses en une courte période

Tachyphylaxie - Atténuation rapide de la réaction à un médicament après avoir reçu plusieurs doses en une courte période.
Transsudation - Processus d’exsudation; fuite lente de liquides des vaisseaux sanguins à travers des pores ou des fissures dans les membranes cellulaires.
Hypernatrémie - Perturbation de l’équilibre électrolytique qui se traduit par un niveau élevé de sodium dans le sang.
Que signifie ces abréviations des blocs dentaires maxillaires? :
a. SO
b. GP
c. NP

a. SO : Sous-orbitaire
b. GP : Grand-palatin
c. NP : Naso-palatin
L’hygiéniste dentaire se prépare pour administrer l’anesthésie topique sur les tissus mous de la 45 et 44 buccal chez son client. Combien de temps devrait-elle laisser l’applicateur avec l’anesthésique topique sur le point d’insertion et à quelle profondeur les tissus sont-ils anesthésiés ?
a. 1 à 2 minutes/2 et 3 mm
b. 2 à 3 minutes/3 et 4 mm
c. 3 à 4 minutes/4 et 5 mm

a. 1 à 2 minutes - 2 et 3 mm
Quel est le site d'injection pour le bloc maxillaire naso-palatin (NP) ?
a. Latéral à la papille incisive sur la portion antérieur du palais
b. Mi-chemin entre le centre du palais dur et le bord gingivo-palatin de la 2e ou 3e molaire max.
c. Au pli muco-gingival à l’apex de la canine max.

a. Latéral à la papille incisive sur la portion antérieur du palais
Lors de l’administration d’un anesthésique local, le dentiste observe l’aspiration positive d’où la cartouche se rempli plein de sang. Que doit faire le dentiste idéalement selon cette circonstance?
a. Injecter toute la cartouche d’anesthésique local
b. Repositionner l’aiguille de quelques cm et aspire de nouveau
c. Retirer l’aiguille, changer la cartouche d’anesthésique et recommencer la procédure

c. Retirer l’aiguille, changer la cartouche d’anesthésique et recommencer la procédure
Quel est le nom générique de l’anesthésique local Lidocaïne?
a. marcaïne
b. xylocaïne
c. septocaïne

b. xylocaïne
Nomme une propriété idéale d’un anesthésique topique intrabuccal :

- Hypoallergénique
- Aucun dommage local des tissus
- Application indolore
- Goût acceptable
- Demeure à l’endroit de l’application
- Anesthésie fiable
- Anesthésie qui dure assez longtemps
- Aucune toxicité systémique
Quel est le site d'injection pour le bloc mandibulaire Buccal (B) ?
a. Surface médiale de la branche montante de la mandibule.
b. Distal et buccal de la dernière molaire mand., sur le bord antérieur de la branche montante de la mandibule.
c. Au pli muco-gingival à l’apex de la canine maxillaire.
![]()
b. Distal et buccal de la dernière molaire mand., sur le bord antérieur de la branche montante de la mandibule.
Quelle formule d’anesthésique local avec vasoconstricteur risque le plus de provoquer une ischémie prolongée qui peut causer un abcès stérile?
a. 1.50 000
b. 1 :100 000
c. 1 :200 000

a. 1.50 000
Lequel des anesthésiques est de type amide?
a. Procaïne
b. Lidocaïne
c. Tétracaïne

b. Lidocaïne
Vrai ou Faux - Les mécanismes d’action des anesthésiques topiques peuvent comprendre le blocage de la conduction nerveuse à la surface de la peau ou de la muqueuse ainsi que la diminution de la perméabilité des ions de potassium dans la cellule nerveuse, ce qui réduit la dépolarisation et accroît le seuil d’excitabilité qui ne finit pas bloquer la conduction de l’influx nerveux et produit une perte de sensation réversible.

Faux
Quel est le site d'injection pour le bloc maxillaire Grand-palatin (GP) ?
a. Mi-chemin entre le centre du palais dur et le bord gingivo-palatin de la 2e ou 3e molaire max.
b. Au pli muco-gingival à l’apex de la 2e prémolaire max.
c. Au pli muco-gingival à l’apex de la 2e molaire max.

a. Mi-chemin entre le centre du palais dur et le bord gingivo-palatin de la 2e ou 3e molaire max.
Pourquoi est-il important de demeurer dans la salle de traitement à la suite de l’administration d’un anesthésique local? : Lorsque les urgences dentaires se déclenchent dans les ___ minutes qui suivent l’administration d’un anesthésique local
a. 5 minutes
b. 10 minutes
c. 15 minutes

a. Urgences dentaires se déclenchent dans les 5 minutes qui suivent l’administration d’un anesthésique local
Les agents conservateurs parmi les vasoconstricteurs sont les suivants : le bisulfite de sodium, le métabisulfite et l’acétone bisulfite de sodium. L’objectif de l’ajout des agents conservateurs est d’augmenter la durée de conservation (environ 18 mois), grâce à des propriétés antioxydantes cependant ces agents conservateurs entraînent également des inconvénients tels que l’acidification du pH de la solution anesthésiante et la provocation des réactions allergiques. Le dentiste ne devrait pas utiliser un vasoconstricteur chez le client souffrant de quelle allergie?
a) Sulfites
b) Analgésiques
c) Anticoagulants

a) Sulfites
Le site d'injection pour le bloc alvéolaire supérieur postérieur (ASP) est situé au pli muco-gingival à l’apex de la 2e molaire maxillaire :
a. Vrai
b. Faux

a. Vrai
Les complications systémiques liées à l’administration d’anesthésiques locaux sont rares; le dentiste peut prévenir ________ des réactions potentiellement mortelles en effectuant une évaluation du client avant l’anesthésie et en suivant consciencieusement toutes les instructions sur l’administration d’un anesthésique local?
a. 70%
b. 80%
c. 90%

c. 90%
Un assistant dentaire, âgé de 57 ans se présente chez le cabinet dentaire comme nouveau client. Lors de la revue de l’histoire médicale, le client avise l’hygiéniste dentaire qu’il a eu une réaction allergique à la suite de l’administration d’anesthésique local sans épinéphrine lorsqu’il y avait 10 ans. Quel agent bactériostatique et conservateur aura potentiellement provoqué la réaction allergique chez ce client?
a) Métabisulfite
b) Méthylparabène
c) Acétone bisulfite de sodium

b) Méthylparabène
Quel problème potentiel peut être relié à l’allergie au bisulfite de sodium ou au métabisulfite?
a. Dermatite
b. Bradycardie
c. Bronchospasme

c. Bronchospasme
Parmi les anesthésiques locaux suivants, lequel permet la durée d’action la plus substantielle?
a) Bupivacaïne à 0,5% avec épinéphrine à 1 :200 000
b) Mépivacaïne à 2% avec lévonordéphrine à 1 :20 000
c) Lidocaïne à 2% avec épinéphrine à 1 :50 000 ou à 1 :100 000

a) Bupivacaïne à 0,5% avec épinéphrine à 1 :200 000