A 50-year-old man is evaluated for a slowly evolving lesion on the dorsal aspect of the left arm. What is the diagnosis?

Squamous cell carcinoma
A 42-year-old man is evaluated for a 2-minute episode of left arm and face weakness and dysarthria. Medical history is significant for hypertension, dyslipidemia, and type 1 diabetes mellitus. Medications are lisinopril, atorvastatin, and insulin.On physical examination, blood pressure is 150/88 mm Hg, and pulse rate is 74/min. Findings on neurologic and cardiac examinations are normal.
Which of the following is the most appropriate diagnostic test to perform next?
Carotid duplex ultrasonography
A 72-year-old woman is evaluated for new palpitations and fatigue. Medical history is significant for mitral valve replacement. What is the diagnosis?
ECG is shown.
A. Afib
B. Aflutter
C. Complete heart block
D. PVCs
A. Afib
A 72-year-old man is evaluated for follow-up of dyspnea with mild exertion. He has COPD, with gradually worsening symptoms over the past several years but no acute exacerbations or hospitalizations. He smokes one pack of cigarettes per day. He reports no cough or sputum production. He has no other medical problems, and his only medication is inhaled budesonide-glycopyrrolate-formoterol.
On physical examination, vital signs are normal. Oxygen saturation is 87% with the patient breathing ambient air at rest. Lung examination shows faint scattered expiratory wheezing. No peripheral edema is noted. What is the best next step?
A. Lung volume reduction surgery
B. Nocturnal noninvasive positive-pressure ventilation
C. Roflumilast
D. Supplemental oxygen
D. Supplemental oxygen
A 50-year-old woman is evaluated during a follow-up visit for difficult-to-control hypertension. She is asymptomatic. At her last office visit 3 months ago, her blood pressure was 140/80 mm Hg. She maintains a low-sodium diet. She is adherent to her medication regimen of amlodipine, 10 mg once daily; losartan, 100 mg once daily; and hydrochlorothiazide, 25 mg once daily. Her father was diagnosed with hypertension in his 50s. She has no other medical conditions and takes no other medications or supplements.
On physical examination, blood pressure is 142/82 mm Hg, and pulse rate is 64/min. The remainder of the examination is normal.Serum creatinine and electrolyte levels are normal. Urinalysis findings are normal.A 12-lead ECG is normal.
Which of the following is the most appropriate next step in management?
A. Add metoprolol
B. Begin 24-hour ambulatory blood pressure monitoring
C. Double hydrochlorothiazide dose
D. Measure plasma aldosterone concentration/plasma renin activity ratio
E. Perform renal duplex Doppler ultrasonography
B. Begin 24-hour ambulatory blood pressure monitoring
A 37-year-old woman is evaluated for severely pruritic papules that appeared suddenly. What is is the diagnosis?
Bed Bugs
Valproate (Option D) can cause (reversible) parkinsonism and cognitive impairment and should be discontinued in this patient. What is the most likely diagnosis?
Bell palsy
A 38-year-old patient is evaluated for recurrent syncope. The patient has had three syncopal episodes. The most recent episode occurred 1 month ago while they were seated; the other two happened when they were at work in an office and resulted in a mandibular and a clavicular fracture 1 and 2 years ago, respectively. The patient reports no prodromal symptoms or postictal state. The patient is an avid runner and reports no limitations in their activities. Previous evaluations, including a 24-hour ambulatory ECG monitor, were unrevealing. The patient has no other medical problems and no family history of sudden death. They take no medications.
Physical examination findings, including vital signs, are normal. Laboratory results are within normal limits.
A 12-lead ECG shows sinus bradycardia at 57/min with otherwise normal axis, intervals, and waveforms. Transthoracic echocardiogram findings are normal.
Which of the following is the most appropriate diagnostic test to perform next?
A. Ambulatory ECG monitor for 14 days
B. Event monitor for 30 days
C. Implantable loop recorder for 1 to 3 years
D. Mobile cardiac telemetry for 30 days
C. Implantable loop recorder for 1 to 3 years
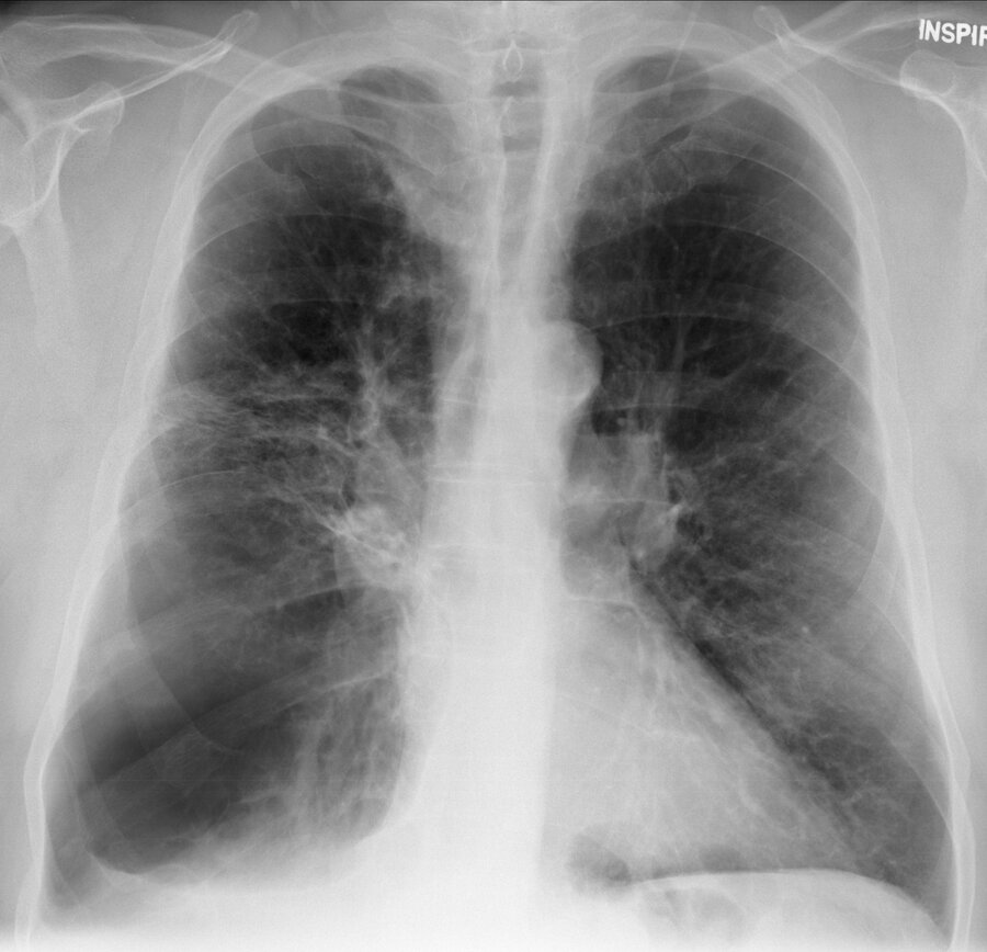
A 69-year-old man is evaluated for chronic dyspnea without cough. Pulmonary function demonstrates an obstructive defect that persists following bronchodilator administration. Chest radiographs are shown.
Which of the following conditions is the most likely radiographic diagnosis?
A. Bronchiectasis
B. Bullous lung disease
C. Left lower lobe pneumonia
D. Hodgkin lymphoma
B. Bullous lung disease
A 60-year-old man is evaluated following an abnormal urinalysis. Urine microscopy results are shown, and findings are highlighted with red circles.

Which of the following is the most likely diagnosis?
A. Bladder cancer
B. Glomerulonephritis
C. Interstitial nephritis
D. Nephrolithiasis
B. Glomerulonephritis
A 45-year-old woman has chronic plaque psoriasis. She recently completed a glucocorticoid burst to treat an asthma exacerbation and subsequently developed the new generalized skin findings shown. What is the diagnosis?
A. Acute generalized exanthematous pustulosis
B. Generalized pustular psoriasis
C. Keratoderma blennorrhagicum
D . Stevens-Johnson syndrome
Generalized pustular psoriasis
A 41-year-old man is evaluated for a 6-month history of intermittent paresthesia in his right hand. It is more intense in his fourth and fifth fingers but sometimes involves the second and third fingers. He is a truck driver and reports difficulty changing gears while driving. Medical history is significant for hypertension, type 2 diabetes mellitus, dyslipidemia, and obesity. Medications are losartan, metformin, and simvastatin.
On physical examination, vital signs are normal. BMI is 30. Sensation is reduced to pinprick on the fifth finger, and moderate weakness of the finger abductors and adductors is present in the right hand. He exhibits no thenar atrophy. Deep tendon reflexes are intact. He has no sensory loss or weakness in the lower extremities.
Laboratory studies:
Vitamin B12
560 pg/mL (413 pmol/L)
Hemoglobin A1c 8.1%
A complete blood count is normal.
Nerve conduction studies with electromyography reveal moderate compression of the right ulnar nerve at the elbow and moderate compression of the median nerve at the wrist.
Which is the best next step in management?
Option A. Elbow splint only
B. Median nerve decompression
C. Ulnar nerve decompression
D. Wrist splint only
C. Ulnar nerve decompression
A 35-year-old man is evaluated for exertional dyspnea and a sensation of pounding in the neck that has progressed during the past year. Blood pressure is 150/60 mm Hg, and pulse rate is 60/min.
Which of the following best describes the murmur at the mid-left sternal edge?
A. Aortic regurgitation
B. Aortic Stenosis
C. Mitral stenosis
D. Tricuspid regurgitation
A. Aortic regurgitation
A 58-year-old man is evaluated after a recent hospitalization for a COPD exacerbation. His baseline symptoms are wheezing and shortness of breath when walking across the room. He also has a rare nonproductive cough. He has had three COPD exacerbations over the past 12 months and has participated regularly in pulmonary rehabilitation. He has no medical problems other than COPD, and his only medication is inhaled fluticasone-umeclidinium-vilanterol. At home he uses 2 L/min of supplemental oxygen.
On physical examination, vital signs are normal. Oxygen saturation is 92% with the patient breathing supplemental oxygen, 2 L/min by nasal cannula. Lung examination reveals decreased breath sounds with faint scattered wheezing. Fev1 27%. Which of the following is the most appropriate next step in treatment?
A. Long-term azithromycin
B. Nocturnal noninvasive positive-pressure ventilation
C. Referral for lung volume reduction surgery
D. Roflumilast
A. Long-term azithromycin
A 46-year-old man is evaluated following an episode of nephrolithiasis. He has yet to pass the kidney stone.
Urinalysis results are shown.
Which of the following is the most likely composition of this patient's kidney stone?
A. Calcium oxalate
B. Cystine
C. Struvite (magnesium ammonium phosphate)
D. Uric acid
D. Uric acid
A 23-year-old woman has a 7-month history of a pruritic rash on the flexural surfaces of her wrists, arms, and legs. The patient was recently diagnosed with hepatitis C virus infection. What is the diagnosis?
A. Kaposi sarcoma
B. Lichen planus
C. Lupus pernio
D. Psoriasis vulgaris
Lichen planus
A 53-year-old woman is evaluated for a 6-week history of episodic left mandibular pain. The pain is sudden, sharp, and severe, with a duration of a few seconds. Episodes may occur randomly or with chewing or talking. Frequency was initially several times daily, but now these pains occur more than once per hour and often include an underlying dull lingering discomfort between episodes. She reports no changes in vision; no local numbness or paresthesia; and no tearing, nasal congestion, or drainage. She has hypertension, for which she takes lisinopril.Vital signs and physical examination findings are normal.Brain MRI with contrast and a magnetic resonance angiogram are normal.
What is the most appropriate treatment?
A. Indomethacin
B. Oxcarbazepine
C. Prednisone
D. Topiramate
B. Oxcarbazepine
Trigeminal Neuralgia
A 45-year-old man is evaluated during a follow-up visit for intermittent light-headedness. He has no other symptoms and has not had syncope. He walks 2 miles daily without symptoms. A resting ECG previously revealed sinus bradycardia, prompting ambulatory ECG monitoring. He has hypertension treated with amlodipine. He takes no other medications.
On physical examination, blood pressure is 125/72 mm Hg and pulse rate is 54/min. BMI is 38. All other examination findings are normal.
Results of routine laboratory studies, including a thyroid-stimulating hormone level, are within normal ranges.
ECG reveals sinus bradycardia with a normal PR interval. Ambulatory ECG recording shows a heart rate ranging from 45/min to 140/min. Each night, there are periods of sinus bradycardia as well as episodes of progressive prolongation of the PR interval, followed by several instances of P waves with no conduction to the QRS complex. He had several daytime episodes of light-headedness during testing in which his heart rate ranged from 75/min to 85/min.
Which of the following is most appropriate?
A. Exercise stress testing
B. Permanent pacemaker implantation
C. Sleep apnea testing
D. No further evaluation
Sleep apnea testing
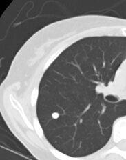
A 67-year-old woman is evaluated for a follow-up examination 1 week after being evaluated in the emergency department for pleuritic chest pain, which was ultimately attributed to costochondritis. CT pulmonary angiogram obtained at that time revealed no evidence of pulmonary embolism but did show an 8-mm smooth, well-demarcated, fully calcified nodule in the posterior right upper lobe of the lung (shown). She says she feels well and reports no recurrent chest pain, cough, shortness of breath, or hemoptysis. The patient has hypertension treated with lisinopril. She has a 12-pack-year history of smoking but stopped smoking 35 years ago. Her mother died of lung cancer at age 60 years.
On physical examination, vital signs and other findings are normal.
Which of the following is the most appropriate diagnostic test to perform next?
A. CT-guided biopsy
B. Follow-up chest CT in 6 to 12 months
C. PET/CT
D. No further testing
D. No further testing
A 64-year-old patient is evaluated for a painful ulceration on their left thigh. Over the past 2 weeks, localized pain on the thigh was followed by erythema and development of a tender nodule, which subsequently ulcerated. They report no fever, chills, insect bites, local trauma, or new medications. They have stable end-stage kidney disease managed with peritoneal dialysis for 2 years. They also have hypertension and atrial fibrillation. Medications are lisinopril, amlodipine, metoprolol, calcitriol, and calcium acetate; warfarin was switched to apixaban 6 months ago.
On physical examination, vital signs are normal. There is a 2- x 4-cm ulceration with overlying eschar and surrounding erythema on the left lateral thigh.
Which of the following is the most likely diagnosis?
A. Calciphylaxis
B. Erythema nodosum
C. Herpes zoster
D. Venous stasis ulcer
E. Warfarin necrosis
A. Calciphylaxis
A 73-year-old man is evaluated in the emergency department for erosions on his face, neck, trunk, arms, and inside of his mouth that developed 48 hours ago. He describes initially having blisters, but the skin sloughed off, leaving painful red sores on his skin and in his mouth. He reports no fever, chills, eye pain, or dysuria. Medical history is unremarkable, and he takes no medications. What is the most likely diagnosis?
On physical examination, the patient does not appear acutely ill. Vital signs are normal. There are pink macules surrounding tender erosions on his face, neck, chest, and proximal arms. There are erosions in his oropharynx involving the buccal mucosa and hard and soft palates. The palms and soles are not involved. No redness of the urethral meatus or perineum is noted. There are no intact vesicles or bullae.
Complete blood count and comprehensive metabolic panel are normal. What is the most likely diagnosis?
A. Bullous pemphigoid
B. Erythema multiforme
C. Pemphigus vulgaris
D. Stevens-Johnson syndrome
Pemphigus vulgaris
Pemphigus vulgaris is an autoimmune blistering disorder characterized by flaccid bullae in the oral cavity, other mucosal surfaces, and the skin; the bullae rupture easily and leave erosions, but patients are not systemically ill.
A 74-year-old man is evaluated for disabling symptoms of gait imbalance, tremor, and cognitive impairment that have developed over the past 6 months. He has a history of intractable epilepsy with focal unaware seizures and has undergone frequent changes in his medication regimen without significant improvement. He continues to have monthly seizures despite more than 10 medication trials. He is not a surgical candidate. A brain MRI 2 years ago was unremarkable. Medical history is also notable for hypertension. Medications are lamotrigine, levetiracetam, gabapentin, valproate, and lisinopril.
Which is most likely the cause of his symptoms?
Valproate
--Can cause (reversible) parkinsonism and cognitive impairment and should be discontinued in this patient.
A 64-year-old woman is evaluated during a routine visit 4 months after undergoing percutaneous coronary intervention for unstable angina. She completed cardiac rehabilitation successfully and is back to her normal activity level. She has no new symptoms. She has hypertension, dyslipidemia, and diabetes mellitus. Medications are high-intensity atorvastatin, aspirin, clopidogrel, carvedilol, lisinopril, empagliflozin, and semaglutide.Physical examination findings, including vital signs, are normal.
Laboratory studies:
Total cholesterol 135 mg/dL
LDL cholesterol 53 mg/dL
HDL cholesterol 46 mg/dL
Triglycerides 182 mg/dL
Which of the following is the most appropriate treatment for secondary prevention of an adverse cardiovascular event?
A. Cholestyramine
B. Gemfibrozil
C. Icosapent ethyl
D. Niacin
C. Icosapent ethyl
The most appropriate treatment to prevent future cardiovascular events is adding icosapent ethyl (Option C). In patients with known cardiovascular disease, persistently elevated triglycerides are a risk factor for future cardiovascular events. In the REDUCE-IT study, adding icosapent ethyl, a medication containing a highly purified form of eicosapentaenoic acid, to statin therapy for secondary prevention in patients with persistently elevated fasting triglyceride levels greater than 150 mg/dL (1.70 mmol/L) reduced the risk for major cardiovascular events by 25% compared with placebo.
A 68-year-old woman is evaluated for a 6-month history of progressive shortness of breath and dry cough. She has a 30-pack-year history of smoking but stopped smoking 15 years ago. She has no other medical problems and takes no medications.
On physical examination, respiration rate is 22/min; other vital signs are normal. Oxygen saturation is 88% with the patient breathing ambient air. Pulmonary examination reveals fine end-inspiratory crackles at both bases. Cardiovascular examination is normal. FEV1 95% predicted, DLCO 30%
CT scan of the chest reveals upper lobe emphysematous findings and basilar subpleural reticular and fibrotic changes. Echocardiogram shows normal left ventricular function; estimated mean pulmonary arterial pressure is 36 mm Hg.
Which of the following is the most appropriate next step in management?
A. Lung transplantation evaluation
B. Nintedanib
C. Prednisone
D. Surgical lung biopsy
A. Lung transplantation evaluation
A 40-year-old woman is evaluated for progressive edema and proteinuria. A urinalysis is performed, and this finding is observed under polarized light.
This patient's urine finding is most consistent with which of the following diagnoses?
A. Anti–glomerular basement membrane antibody disease
B. IgA nephropathy
C. Nephrolithiasis
D. Nephrotic syndrome
D. Nephrotic syndrome
The urine finding depicts the typical "Maltese cross" appearance of oval fat bodies