Name the diagnosis.

Left Bundle Branch Block
The MCC of dilated cardiomyopathy is…
Alcohol usage.
A 65-year-old man c/o severe chest pain presents to the ED. ECG performed shows ST-segment elevations in leads II, III, and aVF. Troponin is elevated. Name the artery that is occluded.
Right coronary artery.
A 65-year-old man is presenting to his PCP for a yearly check-up. His PMH is significant for HTN and hyperlipidemia for which he takes atorvastatin, losartan, and verapamil. The pt states he is very active but has noticed that he's starting to get SOB while doing his normal activities. He does complain and slight chest pain and feeling light headed when this occurs, but this resolves when he sits down. Given the pt's PMH, name the most likely valve pathology.
Aortic stenosis.
A 40-year-old woman is f/u with her PCP to discuss her lab work. Her HDL was low, LDL was normal, and triglycerides were elevated. Name the drug you’d like to initiate the pt on.
Fibrates or niacin
Name the location where the problem is occurring in the heart. 
AV Node
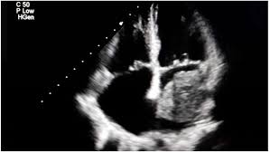
A 72-year-old woman is presenting to a Cardiologist following a referral from her PCP. Her PCP heard a heart murmur on a routine visit and was concerned since the pt does not have a history of heart problems. Pt had an echocardiogram performed the day prior but it’s still unread by a Cardiologist. They send you (a medical student) in to interview the pt and perform a physical exam. Her history is unremarkable. On physical exam, you auscultate her valves and hear a distinct rumble in diastole in all locations, however it’s loudest around the apex of the heart. You tell your attending, who takes a look at the echo who finds the following image. The most likely diagnosis is….
Atrial myxoma
A 70-year-old man is in the ED c/o SOB and leg swelling. He is unsure of how long this has been going on but he decided to seek care today because of how bad his breathing has gotten. He states he struggled walking back to the exam room when called. PMH includes a myocardial infarction at 66yo, HTN, T2DM, and gout. On physical exam, you hear crackles in the lower lobes, pitting edema in both LE, JVD, and an enlarged liver. Cardiac exam finds a crescendo-decrescendo murmur in the 2nd ICS on the left, S3, and S4 heard best at the apex. BNP is elevated. The cause of this patient’s right heart failure is due to…
Left heart failure (MC)
A 67-year-old woman is presenting to her Cardiologist for a f/u on her heart failure. She is currently on empagliflozin, lisinopril, and metoprolol. PMH of HTN and heart failure, otherwise unremarkable. On physical exam, crackles are heard bilaterally in the lower lobes of the lungs. Cardiac exam finds a holosystolic murmur at the cardiac apex as well as an S4 sound. Echocardiogram performed confirms the suspected abnormality. After appropriate treatment is initiated, the pt's abnormal heart sounds disappear. Name the valve pathology associated with the heart murmur.
FUNCTIONAL mitral regurgitation.
A 30-year-old man is presenting to his PCP concerned about his BP. It has been elevated the previous two times you’ve seen him and he reports elevated readings at home. He is worried because his family has a long history of heart disease. Today’s BO is 160/96mmHg and his ASCVD score is 9. Name the three classes of antihypertensive medications you could prescribe him initially.
Thiazide diuretics, CCB, and ACEi/ARB
Name the drug that you would give to this pt.

Magnesium sulfate!!!!
A 20-year-old athletic man suddenly collapses during practice. He is rushed to the hospital and worked-up. ECG shows LVH and an echocardiogram is performed which confirms the suspected diagnosis. He is stabilized and eventually sent home on carvedilol. Histologic examination of this pt’s heart would show…
Myocyte hypertrophy and interstitial fibrosis
A 65-year-old man is c/o chest pain. His PMH includes HTN, hyperlipidemia, and T2DM. Name the most common diagnosis.
Stable angina
A 32-year-old man comes to the emergency department with chest pain that started earlier in the day. The pain is midline and sharp and increases with deep breaths but decreases when the patient leans forward. He had a mild respiratory illness a week ago. Other medical history is unremarkable. The patient is a lifetime nonsmoker and has no family history of early-onset heart attack, sudden death, or cardiomyopathy. Name a common etiology of the patient's most likely diagnosis.
Infectious (others accepted but this is the most correct)
A 70-year-old woman is admitted to the hospital for a total knee replacement. The MOA of an appropriate anti-coagulant you’d give her is…
Activator of anti-thrombin III (LMWH) or Xa inhibitor (rivaroxaban)
52-year-old woman is presenting to her PCP c/o syncope. She states that this comes on randomly but she has not lost consciousness. PMH is unremarkable. ECG is shown. Name a drug you could give this pt for long-term management of their arrhythmia. 
B blocker, CCB, amiodarone, sotalol, dofetilide, flecainide
A 42-year-old man comes to the emergency department after a syncopal episode preceded by palpitations and lightheadedness. The patient has no significant medical history and takes no medications. He does not use tobacco, alcohol, or illicit drugs. Vital signs are within normal limits with no orthostatic changes. Heart and lung sounds are normal. The liver span is increased with no tenderness. The skin appears darkly tanned. Echocardiography reveals abnormal diastolic relaxation of the left ventricle. The most likely gene mutation is...
HFE gene
A 68-year-old woman is presenting to the ED c/o SOB. Her PMH includes HTN, mitral valve insufficiency, and T2DM. Cardiac exam finds a holosystolic murmur at the apex as well as an S3. BNP is elevated. Name findings you’d expect to see on a chest x-ray.
Kerley B lines, cardiomegaly, or air bronchograms
A 36-year-old woman is presenting to a Urgent Care c/o feeling sick. Vitals show tachycardia and a fever. She states that she's been feeling sick for a few days and it's progressively gotten worse which caused her to seek medical care. She states that she had no prodromal sx's. PMH is unremarkable. She denies tobacco, alcohol, and illicit drug use. She lives at home with her husband and her two kids. She works as a nurse at the local hospital in the ICU. On physical exam, her HEENT is unremarkable, cardiac exam finds a 3/6 pansystolic murmur at the apex. When the physician goes to test her capillary refill in her fingers, the pt yelps and states that it hurt. Upon inspection, small violaceous spots are found on the palmar aspect of the distal phalanges. The physician also finds bruise-looking marks on the plantar aspect of the foot. Labs and imaging are done to confirm the suspected diagnosis. The most likely micro-organism that is causing the pt's symptoms is...
Staph aureus!
A 58-year-old man comes to the office due to progressive fatigue, dyspnea on exertion, and orthopnea. Medical history is significant for hypertension, hyperlipidemia, and a myocardial infarction 2 years ago. The patient says he has not taken his medications in several months because he was "feeling well." Blood pressure is 160/95 mm Hg and pulse is 94/min and regular. Physical examination shows bilateral lung crackles and lower extremity edema. The point of maximal impulse is displaced toward the axilla, and an S3 is heard. Name a drug that would reduce this patient's mortality.
ACEi/ARB, B blocker, SGLT2i, ARNI, spironolactone, and nitrates
A 64-year-old woman is presenting to the ED c/o several syncopal episodes today. She did have one episode where she did loose consciousness but did not hit her head. Her PMH includes CHF, T2DM, and hyperlipidemia. ECG is shown below. Along with other appropriate interventions, she is given one of the first line drugs to treat this problem and admitted to the floor for overnight observation. Around 3am, her oxygen starts to drop which causes the nurses to rush into her room. When they check on her, they see that her skin looks grey and that she has a slight tremor in her right arm. Name the class of anti-arrhythmic drug she was given.
Class III (K channel blockers)
A 66-year-old man is presenting to his PCP c/o wrist pain. He states that this pain is worse in the morning and is located over the ventral carpal bones. PMH of COPD and hematologic cancer (pt is unsure of what type) for which he is getting treatment for. On physical exam, you note that the pt looks tired and has a big tongue. Describe the extra heart sound most likely heard on exam.
S3, or a second heart sound heard after systole (S2)
A 76-year-old man is presenting to the ED c/o severe chest pain that started about an hour ago. While trying to work up this pt, he goes into cardiac arrest. After attempting to resuscitate him, the staff is unsuccessful and the pt passes away. Histologic examination of this pt’s heart tissue would reveal…
No gross changes :)
A 26- year-old woman is presenting to her PCP c/o chest and joint pain. She thinks this might be related to her lupus but this time her symptoms seem to be worse. She rates her chest pain a 6/10 and you notice that she’s leaning forward slightly. When asked about this, she states that doing so helps her pain. Pt has been not feeling good for the past few days and does admit to a dry throat, which she attributes to seasonal allergies. Vitals are T-38°C, P-98BPM, BP- 132/64mmHg, O2- 94%, RR-20. On physical exam,TTP over her MCP, L knee, R hip, and L shoulder joints. You note some red skin lesions all over her chest when you go to listen to her heart, which (again) the pt thinks is from her lupus. Cardiac exam finds an early diastolic blowing murmur at the left lower sternal border. Diagnostic labs show an elevated ESR, CRP, WBCs, and ASO. Explain the pathophysiology of the patient‘s most likely diagnosis.
Molecular mimicry from an organism looking like the host cells
A 63-year-old man is presenting to the ED c/o chest pain. PMH is remarkable for HTN, hyperlipidemia, and COPD. You decide to give him a fast acting drug for his chest pain. This substance that is increased that directly leads to smooth muscles relaxation is…
cGMP