Keywords: "continous" "machinery-like" best heard in the pulmonic area
PDA
What cardiac complication do we worry about in Kawasaki?
Coronary artery aneurysm
Peaked T Waves --> What electrolyte abnormality?

Hyperkalemia
Tearing chest pain radiating to the back + ehler's Danlos, Marfan's or Turner's - What am I worried about?
Aortic Dissection
Most common recognized congenital heart lesion?
VSD
Stills murmur
How long do we continue aspirin in kawasaki?
6-8 wks

Boot shaped heart

TOF
Alagille and Noonan syndrome are associated with what cardiac abnormality
Pulmonic stenosis
Most common aortic arch abnormality causing breathing and feeding problems
Double aortic arch
Most common benign murmur of infancy
PPS
Criteria for diagnosing endocarditis?
Egg shaped/oval shaped heart
TGA
22q11.2 deletion is associated with what cardiac phenomenon?
Complete interruption of the aortic arch
TOF
Truncas arteriosus
TGA (Transposition of the great arteries)
Healthy 7 year old with continuous murmur ... most likely?
Venous Hum
Chest pain, fever, ST segment elevation in most leads
Acute pericarditis
What is this narrow complex ECG showing?
SVT
What cardiac condition is associated with Williams Syndrome?
Supravalvular Aortic Stenosis
Relevant EKG finding associated with Tricuspid Atresia
Left axis deviation, Left ventricular hypertrophy
Child with MVP requires what antibiotic prophylaxis before dental cleaning?
None
Rheumatic Fever most likely to involve which valve?
Mitral
Wall to wall heart on cxr, symptomatic newborn

Ebstein Anomaly
Infant with deafness + long QT = This genetic condition
Jervell and Lange-Nielson Syndrome
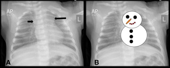
Snowman or Figure 8 sign on CXR is associated with this cardiac condition

TAPVR