He built a primitive microscope and observed cork cells.
Who was Robert "Bobby" Hooke.
These amphipathic macromolecules make up the cell membrane and all organelle membranes in the endomembrane system.
What are phospholipids.
The cell membrane performs these functions for cells.
What are exchange of materials, structure, protection and recognition.
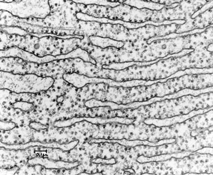
The cells shown here are from a ______.
Plant
What are the each of the last names of the regular biology teachers at Milton Academy? There are 5 of us!
Pennington
Bean
Rojas
Richards
Bingham
This pair while sipping on latte's after dinner comparing notes derived the Cell Theory
Who were Theodor Schwann and Matthias Schleiden.
This substance, often maligned for contributing to poor diet, in fact is the "glue" that holds the cell membrane together.
What is cholesterol
This organelle is know to have two forms, "rough" and "smooth".
What is the endoplasmic reticulum.
The structure that most identifies this type of cell as a plant cell is the______ _______
What is the cell wall.
Mr. Edgar has a Portuguese Water Dog. His dogs name is:
Oscar
Seymour
Cook
Cook
He claimed in his powerful dictum, Omnis cellula e cellula,: “All cells only arise from pre-existing cells”.
Who was Rudolph Virchow
These molecules may be embedded on either the inner or outer surface of the cell membrane or extend through the membrane from the outside of the cell to the inside of the cell. (Hint: These are made of amino acids.)
What are membrane proteins.
The "powerhouse" of the cell.
What is the mitochondria.
There are lots of mitochondria present in the lower left-bottom of this image. The presence of this many mitochondria suggests that this type of cell is found in...animals? ..plants?
What would be animals (Cardiomyocytes)
Which Milton faculty member restored this car?
Mr. Bean...of course...with his daughter too. (She installed the front upper and lower trailing arms and clutch and pressure plate.)
He used cervical cancer cells from Henrietta Lacks to advance modern cell biology.
George Otto Gey 
These molecules are located in the cell membrane and have a carbohydrate molecule attached to them. Their role is to maintain the stability of the cell membrane and to facilitate cellular recognition.
glycolipids or glyconucleotides
What are glycolipids
The orange stained cell part is the....
What is the Golgi apparatus.
This organelle found in plant and animal cells has the job of assembling amino acids into polypeptides.
What is a ribosome.
Moderna, Pfizer and Johnson & Johnson
What are three companies manufacturing the vaccine for SARS-CoV-2

These two Princeton scientists won the prestigious "Women in Cell Biology” awards from the American Society for Cell Biology.
Who are Coleen Murphy and Sabine Petry https://www.princeton.edu/news/2019/07/11/murphy-and-petry-win-awards-excellence-cell-biology

SARS-CoV-2 requires a eukaryotic host cell to reproduce. Early in the reproductive cycle the virus recognizes the host cell and does this to enter the host cell.
What is fuses.
The yellow, threadlike organelles are called....
What are microfilaments.
This nucleus is from a HeLa cell. It contains two smaller structures involved in the synthesis of ribosomes. These structures are called...
nucleoli (pl); nucleolus (s)
Hydroxychloroquine, bleach and UV light.
A presidential "trifecta" to prevent contracting SARS-CoV-2. (Don't do this!!!)
