The structure highlighted by the white box

What is the thymus?
This is what happens to preload when you add volume (such as during blood transfusion or IV fluids).
What is increase?
A type of small vessel disease caused by severe hypertension that causes onion-skinning of the vessel wall as shown.

What is hyperplastic arteriosclerosis?
Pale-staining, glycogen-filled fibers located in the subendocardium that are part of the cardiac conduction system
What are Purkinje fibers?
These two classes of anti-arrhythmic drugs can cause a prolonged QT interval, leading to Torsades de Pointes.
What are Class IA and Class III anti-arrhythmics?
The direction of this lead is from the right arm to the left leg
What is lead II?
This heart sound occurs immediately after the end of the T wave on EKG
What is the second heart sound (S2)?
A 32 y.o. female at 14 weeks gestation with recent breast cancer diagnosis presents to the OB for guidance on her pregnancy. She asks if she can deliver her baby prior to starting her chemo/radiation treatment next week. You tell her the fetus will not be viable because it is in this stage of lung maturation.
What is the pseudoglandular phase?
The probability that a participant in your study will be diagnosed with AAA within the next 5 years
What is hazard rate?
Your patient is born with Transposition of the Great Vessels, so you immediately administer this factor to maintain their patent ductus arteriosus.
What is prostaglandin E2?
Sudden loss of consciousness due to brief interruption in blood flow to the brain followed by immediate restoration of flow.
What is syncope?
The 2 branches that form the superior vena cava
What are the right and left brachiocephalic veins?
Make sure not to block this receptor when treating heart failure patients, as it will decrease contractility.
What is the B1 receptor?
The #1 risk factor for aortic dissection
What is hypertension?
Large vessels contain [this] to nourish the outer tissue layers because they are too thick to receive nutrients from luminal blood
What is the vaso vasorum?
What is adenosine?
The mean QRS axis seen with a positive impulse in lead I and negative impulse in aVF
What is left axis deviation?
This type of S2 splitting is caused by an atrial septal defect.
What is fixed S2 splitting?
Right-left laterality is established by the expression of this left-sided gene on the left side of the embryo during gastrulation
What is PITX2?
You use this test to compare entire survival curves of 2 groups to see if they are statistically different.
What is the Log-Rank test?
At birth, your patient was in respiratory distress with SpO2 of 70% and BGL of 44 mg/dL. History is significant for maternal diabetes. Your patient's insulin likely deactivated these cells.
What are type II pneumocytes?
Your patient complains of sharp chest pain that is worse with inspiration. Differentials involving this organ are highest on your list.
What are the lungs?
The structure indicated by the green arrow (include side)

What is the left recurrent laryngeal nerve?
This is the calculation for mean arterial pressure
What is diastolic blood pressure + 1/3 pulse pressure?
DBP + 1/3 (SBP-DBP)
Treatment for a 3 y.o. patient who presents with fever, conjunctivitis, cervical adenopathy, desquamative rash, and strawberry tongue.
What is aspirin and IVIg?

These 2 types of vessels contain valves to prevent backflow of blood.
What are veins and lymphatic vessels?
This drug causes toxicity in hypokalemic patients.
What is digoxin?
The interval associated with the total time of ventricular depolarization and repolarization. It is dangerous when it becomes prolonged (usually due to drugs).
What is the QT interval?
The heart sound commonly seen in acute heart failure (due to high left atrial pressure causing rapid early filling of the left ventricle), but heard in normal hearts until the age of 30.
What is S3?
This aortic arch dissociates from the aorta to form the pulmonary arteries
The X and Y axes on a cumulative survival curve.
What is time on x-axis and survival probability on y-axis?
Upon taking her first breath after birth, more blood flows to your patient's lungs which in turn raises left atrial pressure and closes this structure in the heart.
What is the foramen ovale?
48 y.o. male with PMHx of hypertension presents to the ED for evaluation of chest pain that radiates to his back, between his shoulder blades. After getting labs and imaging, you diagnose him with a Type A dissection and administer this treatment.
What is intensive antihypertensive therapy couple with surgical repair of the aortic tear?
Structures that keep the valve leaflets from prolapsing during systole
What are chordae tendinae?
This type of cardiac action potential is characterized by a much slower depolarization, absent phase 2, and a "funny current".
What is a nodal action potential?
Necrotizing vasculitis of the digits that is highly associated with heavy smoking
What is Buerger disease / thromboangiitis obliterans? 
These cells wrap around the basement membrane along capillaries and work to regulate blood flow and function as stem cells during angiogenesis.
What are pericytes?
What is atropine?
The patient's estimated heart rate based on this rhythm strip
What is ~114 bpm?
Disease causing a "plopping" sound due to temporary obstruction of a valve.
What is a cardiac myxoma?
What is the liver?
This type of cohort study is more expensive and time-consuming but is less vulnerable to bias.
What is a prospective cohort study?
The patient is a neonate with birth history significant for nuchal cord, causing him to be hypoxic at birth, as well as GBS+ mother. He is most at risk for this condition which you treat with oxygen, nitric oxide, and vasodilators (as well as antibiotics for strep infection).
What is persistent pulmonary hypertension of the newborn?
Your patient is a 75 y.o. male who presents via EMS after suddenly losing consciousness at Walmart. History is significant for MI. What heart rhythm should be suspected in patients with this chief complaint and history?
What is VTach?
The structure indicated by the blue arrow

What is the greater splanchnic nerve?
This receptor allows for calcium binding and subsequent release of calcium from the sarcoplasmic reticulum (calcium-induced calcium release).
What is the ryanodine receptor? 
Gray-white myocardial mass that preferentially involves the ventricles and is composed of bizarre, markedly enlarged myocytes with large collections of glycogen
What is a rhabdomyoma?
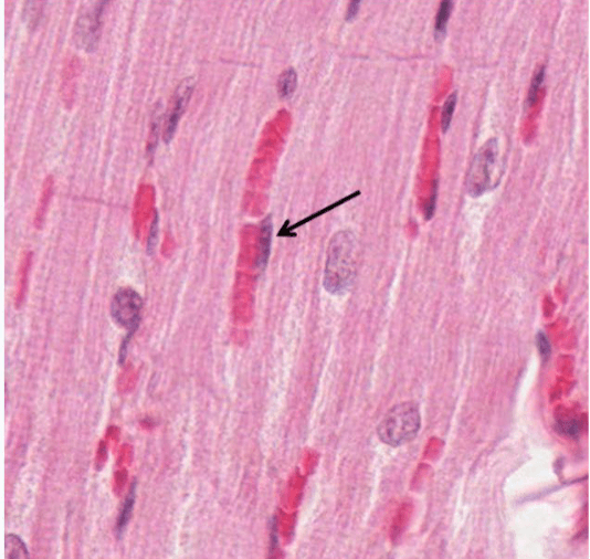
Type of vessel indicated by the arrow

What is a capillary?
A drug that primarily works by dilating large veins that return to the heart, leading to less preload and less myocardial oxygen demand. Can be administered sublingually or transdermally.
What is nitroglycerin?
This condition is characterized by a jagged sawtooth pattern in leads II, III, and aVF (regular but rapid P waves).
What is atrial flutter?
What is grade 4?
Atrioventricular septa are created by this form of septal development, starting at the end of week 4.
What is endocardial cushion formation?
The median survival of this group
What is 13 months?
Your patient was born at 37 weeks gestation via C-section. Their vitals were overall normal, except for a respiratory rate of 70 breaths per minute. You believe they have this condition 2/2 inadequate fluid absorption and place them on a HFNC.
(can technically be 2 answers)
Patient is a 62 y.o. female with PMHx of HLD and GERD who presents to the ED via EMS for evaluation of nausea and lightheadedness. She received sublingual NTG and 324mg aspirin prior to arrival. You immediately draw this lab, which you test again at the 1 hour and 4 hour mark to see if it trends upward.
What is troponin?
The structure indicated by the blue arrow

What is the superior lingular tertiary bronchus of the left superior lobe?
The effect of increasing HR on this cardiac function curve
What is an upward shift?
This valve is the most common site of infective endocarditis in IV drug users.
What is the tricuspid valve?
Type of capillary typically found in endocrine organs to allow rapid delivery of hormones from secretory cells into blood
What are fenestrated capillaries?
Your patient is a 30 year old G1P0 female at 38 weeks gestation who presents s/p rupture of membranes. She has a notable BP of 180s/100s. You diagnose her with eclampsia-related hypertensive emergency and administer this drug.
What is hydralazine?
This heart rhythm has no discernable EKG pattern -- no distinct P waves or QRS complexes -- and evolves from Torsades de Pointes.
What is VFib?
This type of murmur begins with S1 and ends after S2, and is caused by flow from a high pressure area to a much lower pressure area (such as from a ventricle to atrium or LV to RV). Commonly caused by mitral regurgitation or VSD.
What is a holosystolic murmur?
Pulmonary hypoplasia can be induced by decreased intrathoracic space, likely from this congenital malformation.
What is a congenital diaphragmatic hernia?
Hazard ratio greater than 1 means this.
What is increased likelihood of death or outcome of interest?
Of the 4 signs of Tetralogy of Fallot, the degree of this one will determine clinical manifestation/severity of symptoms.
What is pulmonary outflow tract obstruction?
26 y.o. soccer player presents to the Cardiology clinic for evaluation of a new murmur. It is a systolic crescendo-decrescendo murmur that increases with Valsalva maneuver. Your suspicion is confirmed with Echo and you diagnose him with this condition. You tell him you are glad he came in because he is at increased risk of sudden cardiac death.
What is hypertrophic cardiomyopathy?
The structure that branches off of the aorta to supply blood to the kidneys
What is the renal artery?
The effect on vascular resistance when vessel radius doubles
What is increase by a factor of 16?
A 25 year old male presents with hypertension, abdominal pain, melena, and neurologic disturbances with varying skin lesions. This blood test, which is commonly associated with this condition (a lung-sparing vasculitis), comes back positive.
What is serum Hepatitis B antigen?
This is the layer of the heart that contains an abundance of adipose tissue
What is the epicardium?
Rhabdomyolysis is a side effect caused by the combination of these two classes of drug given for hyperlipidemia.
What is a statin + a fenofibrate?
This is the calculation used to correct QT for heart rate
What is QT divided by the square root of RR?
You evaluate 2 patients back to back in your family medicine clinic for annual exams - a child and a pregnant woman. You auscultate a murmur during both encounters. Both patients are asymptomatic and likely have murmurs of this type.
What is an innocent murmur?
Parents are concerned for their newborn who has been choking, coughing, and vomiting with feeds. He frequently becomes blue around the lips and appears to have a full stomach despite difficulty with feeds. CXR shows aspiration pneumonia. This condition is high on your differential.
What is a tracheoesophageal fistula?
This type of analysis lets us estimate the likelihood of an individual's survival at a certain time point.
What is Kaplan-Meier analysis?
What is Eisenmenger syndrome?
76 y.o. male with PMHx of previous MI s/p CABG x 4 who presents to the ED for evaluation of dyspnea and leg swelling. You hear crackles on lung auscultation. You find that this lab value is elevated, which is typically elevated in heart failure patients.
What is BNP?