Du er KBU-læge i almen praksis.
Du skal til at hente Tove, 67 år, fra venteværelset. Du læser sekretærens note:
Hoste i 5 dage, tiltagende feber (op til 39°C), træthed og utilpashed.
Hvad er din tentative diagnose samt 3 relevante differentialdiagnoser?
Tentativ: Penumoni
Diff: Bronchitis, influenza, KOL/astma i exa, lungemboli, hjertesvigt.
De hurtigste sterile handsker
Hurtigste vinder
Ingen fejl
Benævn nedenstående:
Krebs' cyklus (også kaldet citronsyrecyklus eller citratcyklus)
ABCDE - systematisk tilgang til patienter med kritisk sygdom.
Hvad står D for?
Disability
Musculus sternocleidomastoideus
Fra sternum + clavicula til processus mastoideus
Nævn 3 relevante spørgsmål til anamnesen.
Nævn 3 relevante undersøgelser du vil lave i praksis.
Anamnesen:
- Symptomer: Hurtigt indsættende gradvis?
- Hoste? Tør eller produktiv?
- Sputum: farve, mængde, blodigt?
- Pleurale smerter: lokalisation, relation til vejrtrækning?
-Åndenød: i hvile, ved aktivitet?
- Kroniske sygdomme (KOL, diabetes, hjertesygdom)?
-Rygehistorie?
Undersøgelser: Temp, CRP, CO inspektion, auskultation, SAT, puls, BT, RF.
Staseløs blodprøve
Hurtigste vinder
Husk hygiejnen
Stil diagnosen:

Hjertemuskulatur
Du modtager en patient i FAM.
BT: 80/40. P: 143.
Du mistænker hypovolæmi.
Plejepersonalet har lagt 2 store venflon.
Du vil gerne give isoton NaCl, men hvor meget og hvor hurtigt?
500-1000 mL indenfor 10 min.
Ligamentum cruciatum anterius
ACL i knæet
Tove fortæller nu, at hun har haft en utrolig, stikkende smerte og hævelse i begge underben gennem 14 dage.
Du bliver initialt bekymret for DVT + lungeemboli.
Dog bliver du beroliget af Toves beskrivelse. Hvorfor?
500 bonuspoint hvis I kan benævne scoringsværktøjet for en DVT.
Meget usandsynligt med bilateral DVT.
Bonus point: Wells score
Simpel sutur
Pæneste, meste korrekte og hurtigste.
Hvad er oxidativ stress?
Oxidativ stress er en tilstand, hvor der er ubalance mellem frie radikaler (reaktive oxygenarter, ROS) og kroppens antioxidanter, så de skadelige radikaler kan forårsage celleskade.
Alt relevant væske og medicin er givet.
Sygeplejersken spørger dig nu hvilken transfusionspakke som de skal hente?
4 erytrocytkoncentrater, 4 plasma, 1 trombocytpool
Vena saphena magna
Store overfladiske vene på benet
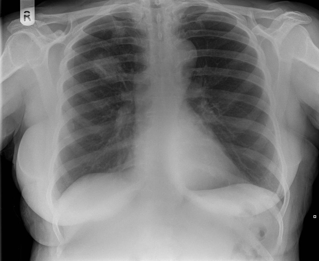
Du undersøger Tove:
Saturation: 94%, auskultation: Ronchi og crepitationer over højre underlap. Temp 39. CRP 120.
Du stiller diagnosen bakteriel pneumoni.
Du vil gerne give Tove penicillin V, men hun har CAVE.
Hvad giver du Tove?
Doxycyclin
Hurtigste, som melder sig til at teste Ellens knæ for medial- og lateral stabilitet, ACL, PCL og menisk får point.
Kris´ ord er lov
Hvad viser prøverne?
EBV VCA IgM: Neg
EBV VCA IgG: Pos
EBV EBNA IgG: Pos
Prøverne viser overstået EBV-infektion
Du står i FAM og modtager Jens.
Ukendt i kardiologisk regi.
BT: 120/75 mmHg
Puls: 180/min, regelmæssig, smal QRS
Respiration: 16/min, ingen dyspnø
EKG viser supraventrikulær takykardi
Jens bliver nu symptomatisk med vedvarende SVT, ikke-responderende på vagusmanøvre.
Hvilket præparat giver du Jens?
Adenosin
Processus coracoideus
Krogformet fremspring på skulderbladet
Da du skal til at udskrive Doxycyclin, ser du at patienten får LABA og ICS...
Hvilket præparat tillægger du udover Doxycyclinen?
tbl. Prednisolon
Stil diagnosen:

Pulmonal tumor
Hvad er forskellen mellem leading strand og lagging strand?
Leading strand: syntetiseres kontinuerligt
Lagging strand: syntetiseres diskontinuert som Okazaki-fragmenter
Din søster ringer. Din nevø på 5 år har fået 39,5 i feber gennem 18 timer.
Han har kastet op, hovedpine og er slasket. Din søster synes også han har fået et mærkeligt eksem på maven.
Hvad siger du til din søster?
Søster, jeg tror Theodor har meningitis.
Du skal ringe 112.
Cornu ammonis
Del af hippocampus