A picture of the teeth and the mouth
What is dental radiograph?
What is the purpose of BW?
What is to check for interproximal caries?
What does PA stand for?
What is "Periapical"?
What does CBCT stand for?
What is "Cone Beam Computed Tomography"?
How often is a PANO taken?
What is "every 5 years unless any abnormalities, implant, or teeth have been removed"?
What is an intraoral and extraoral x-ray?
Intraoral is when the dental sensor in inside the mouth, while extraoral is when the dental sensor is outside the mouth.
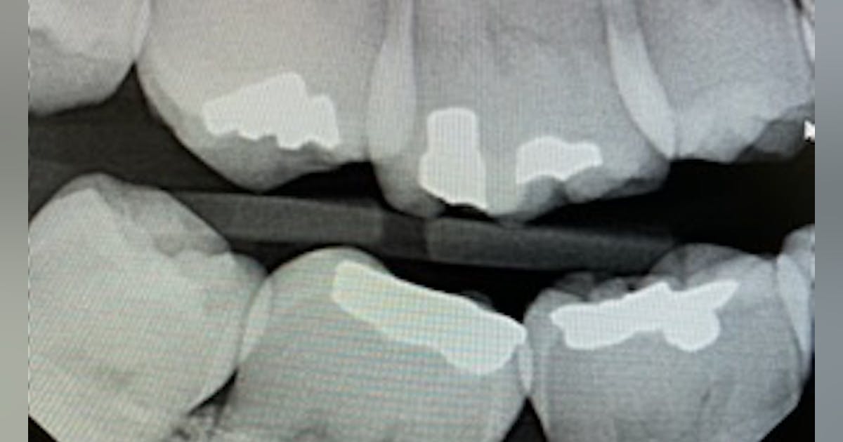
Is this a diagnostic BW?

What is "NO"?
When taking a PA, the x-ray must capture what 2 things?
What is the "Apex and crown of the tooth"?
What are the 3 types of extroral x-rays?
What are "Pano,CBCT, and Cephalometric"?
When a PANO comes out looking like a smile or a frown it means that ?
What is " pt chin was positioned to high or to low"?
What are the 4 types of x-rays? ?
What is PA,BW,PANO, and Occlusal
How often do you need to take BW for a pt?
What is "every year for high caries risk pt and every 2 years for low caries risk pt"?
What tooth # is the one with the amalgam?

What is "PA of tooth #3"?
What are 3 important things when taking a CBCT?
When checking a crown before cementing, what type of x-ray should you take?
What is "a BW"?
What is used as protective equipment when taking x-rays?
What is lead apron and thyroid collars?
What are the 3 factors we are looking for when taking a diagnostic BW?
What is DOB?
-Direct vision
-Open contacts
-Bone level
When taking a PA of tooth #8 and #9 the tubehead of the x-ray machine should be on top of what body part?
What is " the nose"?
When taking a CBCT what is the standard size?
4*4
What does ALARA stand for?
What is "As Low As Reasonably Achievable"?