PartI
PartI
TB
Lupus
MysterySpot
100

What is 

Erythema Nodosum

100

Who am I? 

What is 

treponema pallidum (syphilis) 

100

True or false: Cutaneous manifestations of TB are common

What is 

False (<2%)

100

What disease do you commonly see this rash in? 

What is 

Systemic Lupus Erythermatosus 

100

What is the name of an autoimmune severe blistering disease found on mucous membranes that rupture with minimal pressure?

What is 

Pemphigus Vulgaris 

(vs Bullous Pemphigoid which rarely involves mucous membranes)

200

What is erythema nodosum? 

What is 

a delayed hypersensitivity reaction that looks like erythematous tender nodules on the shins

200

A rash on what part of the body is an important clue for secondary syphilis? 

What is 

the palms and soles (can be anywhere)

200

You suspect a patient has skin manifestations of Tuberculosis, what tests do you order to confirm? 

What is 

Skin biopsy
Acid-fast bacilli smear
Mycobacterial culture (gold standard) 
Tuberculin skin test or IGRA

200

What causes Lepromatous leprosy?

What is 

- Acid fast bacilli (M. leprae and M. lepromatosis)

200

What disease is associated with Gottron's papules? 

What is 

Dermatomyositis 

300

What am I?

What is 

Cutaneous Sarcoidosis 

300

When during the course of infection would you expect to find skin lesions in syphilis? 

What is 

 4 to 6 weeks 

300

What disease is associated with nodules that have an "apple-jelly" color?

What is 

Lupus Vulgaris (TB hematogenous spread to the skin)


300

How is discoid lupus different from lupus?

What is 

Cutaneous lupus (discoid) does not always progress to systemic disease

300

What is acrophacy and common cause? 

What is 

Clubbing (cyanosis due to cardiac/pulmonary disease)

400

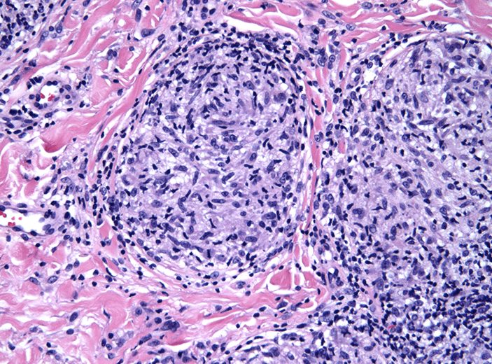
What pathology description/finding would be present in a biopsy of cutaneous sarcoidosis? 

What is

Noncaseating granulomas 

400

How would you describe me? This patient has secondary syphilis

What is 

multiple discrete, hyperpigmented scaly plaques on the abdomen

400

What are three ways TB can infect the skin? 

What is 

Contiguous spread
Hematogenous spread
Inoculation from exogenous source 

400

A patient comes to clinic complaining of discoloration and pain in their fingers when cold, what is this called?

What is 

Raynaud's phenomenon (occurs in up to 50% of SLE)

400

What systemic disease causes fibrotic changes in the skin, blood vessels, lungs, heart, kidneys and GI tract? 

What is

Scleroderma ("hard skin")

500

How common are skin findings in sarcoidosis and how do they commonly present? 

What is 

25%
Discrete, red, raised dermal nodules w/ central scarring 

500

What forms may the rash of secondary syphilis take? 

What is

 smooth, scaly, pustular, diffuse, nodular, symmetric macular or papular rash of the entire trunk and extremities 

500

What factors change the threshold for a positive TB skin test?

What is 

HIV infection
Close contact with person with TB
Immunosuppressed
Abnormal CXR
People in high risk settings (prison, healthcare)
Comorbidities (DM, dialysis)
<4 years old 

500

What specific antibodies do you test for if you suspect SLE and patient has a positive ANA test?

What is 

anti-dsDNA
anti-Smith

(also consider anti-Ro/La, Anti U1 RNP, CRP, ESR)

500

What is the skin finding in the triad of familial adenomatous polyposis (skin*, osteomas, adenomatous GI polyposis)? 

What is 

Epidermal cysts (found in >50%, on face neck and scalp)

M
e
n
u