In DNA,
_______ pairs with _______
_______ pairs with _______
A pairs with T
G pairs with C
Identify the following genotypes as homozygous dominant, homozygous recessive, or heterozygous
Aa
BB
cc
Aa - heterozygous
BB - homozygous dominant
cc - homozygous recessive
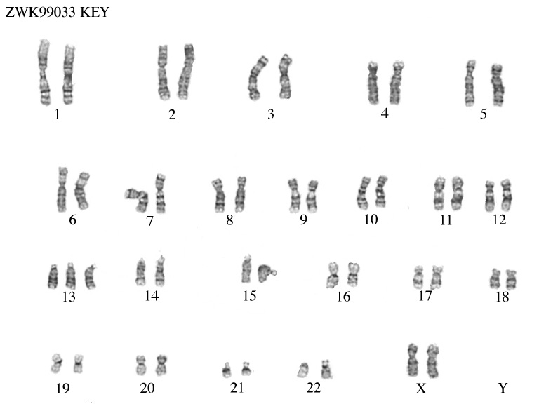
What is wrong with this karyotype?
3 copies of chromosome 13
How many generations are shown in this pedigree?
3
Mitosis is when...
A regular body cell replicates its DNA and divides in two
What is an anticodon?
What makes a dog "purebred"?
If both of its parents are the same type of dog, they will produce more of the same type of dog with the same physical characteristics. If its parents are two different types of dog, they will produce babies that have characteristics of both dogs and look different from the parents.
Original DNA: CAT GGA CAC TAG
Mutated DNA: CAT GGG GAC ACT AG
What type of mutation is this? Where is the mutation located?
Insertion - GG inserted at beginning of second codon
How many children did the couple in generation 2 have?
6
Why are there only 20 amino acids but 64 possible combinations?
More combinations per amino acid offer a greater chance for the same amino acid and later protein to form if a mutation were to happen.
mRNA: GUC CUG AUU AAG tRNA: CAU GAC UAA UUC What amino acids does this DNA strand code for?

Valine - Leucine - Isoleucine - Lysine
Why are pea plants a good model organism to study genetics?
Lots of visible traits, reproduce quickly
Original DNA: GAG CGG AAC TTT Mutated DNA: GAG CGA AAC TTT Will this person have a mutation?
No - it still codes for all of the same amino acids
What is the relationship of #3 in Generation 2 to #5 in Generation 3?
Uncle/nephew
Complete the following Punnett Square. Identify the possible phenotypes and genotypes of the offspring.
R = curly hair
r = straight hair
Rr x rr
2/4 rr
2/4 Heterozygous for curly hair
2/4 Homozygous recessive for straight hair
How are genes, chromosomes, and DNA related?
DNA is a double stranded molecule that contains matching base pairs that code for specific amino acids. Genes are large pieces of DNA that code for certain proteins to be made (based on the amino acids). Chromosomes are large chunks of genes all condensed together around proteins called histones to help them stay organized.
Susie is heterozygous for brown eyes and Danny is homozygous recessive for blue eyes. Create a Punnett Square to show the probability that their children will have brown vs blue eyes.
Bb x bb
2/4 Bb
2/4 bb
50% brown
50% blue
Some mutations are harmful, some are helpful, and most do nothing at all. Please explain how this statement is true.
Most of us have mutations in our bodies but they still code for the correct amino acid, so the proteins our bodies produce aren't changed. Some mutations code for the wrong amino acid, and a lot of these mutations wind up being harmful since the right protein can't get made. Some mutations are actually helpful and help move the species forward through evolution, but these instances are rare.
Is this a dominant or recessive disorder? How do you know?
Dominant: one copy gives you the disease, there are no carriers - so you either have it or you don't
Look at this pedigree. What mutation do you see? What would the scientific notation for this karyotype be?

Missing an X chromosome (Turner Syndrome)
45, X
Describe translation in detail.
mRNA leaves the nucleus and binds to a ribosome. tRNA anticodons carrying amino acids bind to their complementary codons and deliver the correct amino acid (BASED ON mRNA). Once each codon has been processed and has the correct amino acid attached, a stop codon releases the mRNA strand. The amino acid chain can then fold into the correct shape to become a protein.
Why is a person's genotype ultimately more important than their phenotype when discussing genetics?
A person can be heterozygous and carry a recessive trait without knowing it, and then the recessive trait can pop up in future generations. It's more important to know a person's genotype because that tells us what two alleles they have - what they look like won't necessary tell us the whole picture.
How can mutations allow a species to evolve? (We haven't talked about this yet but I want to know your thoughts)
If a mutation is beneficial for an organism, it will help that organism survive better which means it will live long enough to pass on that mutation. Eventually, organisms without that mutation won't live as long as organisms with the mutation and pretty soon every new organism of that species will have the mutation. Once a mutation becomes a normal part of a species' DNA we have evolution.
In this pedigree, is the disorder X-linked or not? How do you know?

Not X-linked - a female has the disorder too
Why do some of us look like our biological parents and other people look nothing like their biological parents?
It is RANDOM what genes get passed onto the next generation. You have two copies of each gene you have, and it's chance (think of the coin flip) as to which genes are present in which egg/sperm cells. You can pass on a trait you didn't even know you had if you're heterozygous!