This is the CNS demyelinating condition most commonly seen in association with Sjogren Syndrome.
What is neuromyelitis optica.
This is the full version of anti-dsDNA.
This is the mechanism of action of Belimumab.
What is monoclonal antibody against BLyS (or BAFF).
The names for these bumps.
What are Gottron's papules.
The name of the male protagonist in The Titanic.
This is the most common cranial nerve affected in neurosarcoidosis after facial palsy.
What is cranial nerve II (optic neuritis)
This is the full version of CPPD.
In addition to having serologic evidence of disease, fulfilling this one criterion is sufficient to obtain a diagnosis of SLE.
What is lupus nephritis.
The name of these bumps, caused by panniculitis.

What is erythema nodosum.
The name of the main character in Mission Impossible
Who is Ethan Hunt.
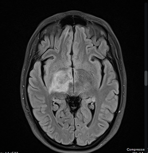
This diagnosis should be highly suspected for an individual with a brain MRI showing:

"T2 hyperintensity that extends from the thalamus caudally to the ipsilateral midbrain" (Cascade Sign).
What is Neuro-Behcet's Disease.
This is the full version of RS3PE
What is remitting seronegative symmetrical synovitis with pitting edema
This is the major cell type responsible for the production of the cytokine targeted by Anifrolumab
What is plasmacytoid dendritic cell.
The condition that causes these bumps.
What is sarcoidosis (lupus pernio).
The name of the soap salesman that creates Fight Club with the narrator in the movie, Fight Club.
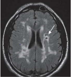
This condition causes ocular inflammation, audiovestibular symptoms, and lesions in the corpus callosum.

What is Susac's Syndrome
This is the full version of MDA5.
What is melanoma differentiation-associated protein 5.
This is most common valve affected by Libman-Sacks endocarditis from SLE.
What is the mitral valve.
The name of this rash, caused by prolonged laptop use.

What is erythema ab igne.
The name of Will Smith's character in Men in Black.
Who is James Darrell Edwards III or Agent J.
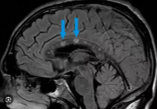
A mutation in this gene leads to an autosomal dominant condition that mimics CNS vasculitis, causing recurrent subcortical strokes and T2 white matter hyperintensities in a young patient (40s-50s),

What is NOTCH3.
This is the full version of VEXAS.
What is vacuoles, E1 enzyme, X-linked, autoinflammatory, somatic syndrome.
This monoclonal antibody which targets CD38 has been trialed successfully for the treatment of refractory SLE
What is Daratumumab.
This condition causes GI vasculopathy and these characteristic bumps.

What is Degos Disease
This is the name of Simba's mother, from Lion King.

Who is Sarabi.