These parameters indicate an elevated blood pressure.
What is 121-129/<80?
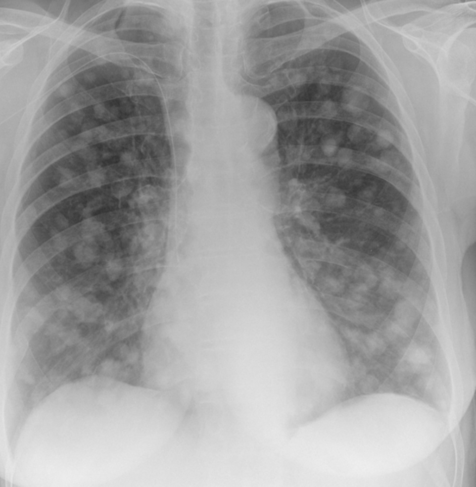
Identify this radiograph.

What are cannonball lesions or metastatic disease?
This ejection fraction is consistent with heart failure with mildly reduced ejection fraction (HFmrEF).
What is 41-49%?

A patient with acute dementia has Creutzfeldt-Jakob disease, which can be acquired by eating beef who have this condition.
What is bovine spongiform encephalopathy or mad cow disease?
Sporadic - Most common. Spontaneous change from normal protein to misfolded pathologic variant.
Acquired - Consumption of contaminated cattle.
Genetic - Inherited mutation in the PRNP gene. AD in 10-15% of cases
Years after the Galactic Empire over run the Republic Luke Sykwalker found Jedi Master Yoda on this planet.
What is the swamp-covered planet of Dagobah?
In Throne of Glass this fae warrior is Aelin's carranam.
Who is Rowan Whitethorn?
STOP: Med Students and PGY-1s only. This is the definition of resistant hypertension.
Blood pressure that is not controlled on 3 agents at full dose, including a diuretic.
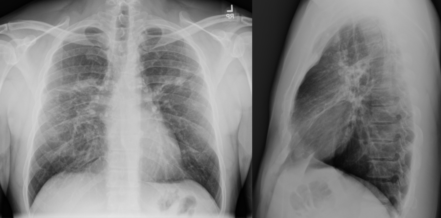
Identify this condition.

What is sarcoid?
Stage the heart failure: A patient presents with increased dyspnea on exertion, stating "I cannot walk to my mailbox," and is found to have an EF of 40% with diastolic dysfunction.
What is ACC stage C NYHA class 3
NYHA:
ACC:

The use of this imaging study can expedite a diagnosis of MS.
What is MRI with contrast?
This player won the AFC Offensive Player of the Week for Week 4 scoring 4 touchdowns and (me) 38 fantasy points.
Who is Patrick Mahomes?
Known for their striking blue eyes this cat breed originated in Thailand and was once considered sacred.
What is the Siamese cat?

This medication is no longer used for hypertension management due to increased risk of heart failure.
What is Doxazosin?
- ALLHAT, double the risk of HF
- Alpha 1 blocker = Vasodilation --> decreased SVR
- Increased sodium and water retention
- Increased preload and risk of volume overload states
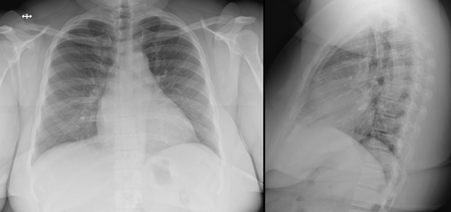
Name the cardiac abnormality.

What is left atrial enlargement?
This medication can be used in combination with loop diuretics to increase their effectiveness.
What is metolazone?

These cranial nerves reside in the cavernous sinus.
What are III, IV, and V?

This is the recommended hypercoagulability test for patient who present with splenic vein thrombosis.
What is JAK2?
- 30% will have JAK2 mutation
Best-selling book series and show adaptation The Summer I Turned Pretty starred Christopher Briney as Conrad Fisher. His character gave Bell a stuffed polar bear by this name.
Who is Junior Mint?
This beta blocker is most implicated with orthostatic hypotension.
Name this condition.

What is pulmonary artery hypertension or CTEPH?
This staging system is used to help risk-stratify a patient who presents cold and wet.
What is the SCAI staging system?

This lesion is present when someone presents with this type of vision loss.

What are the optic radiations?

What is Lhermitte's sign?
This book boyfriend is nicknamed "Rip" for what he does to his enemies, though he is later revealed to be king of fifth.
Who is Slade Ravinger?
A large mete-analysis of blood pressure trials indicated the non-intensive group had a higher risk of these 2 adverse events?
What is CV events AND orthostatic hypotension?
Name this critical imaging finding.

What is near drowning?
You evaluate a 60 yo female for dyspnea on exertion (DOE). She has a 20 pack year smoking history, COPD, HTN and a BMI of 35. This scoring system can help risk-stratify this patient for cardiac causes of DOE.
What is H2FPEF?

This condition is characterized by infarction of the ventral pons.
What is locked-in syndrome?
- Infarct of the ventral pons typically from basilar artery occlusion
- Characterized by complete paralysis of all voluntary muscles with the exception of vertical eye movements and blinking, loss of speech, and preserved consciousness and cognition.
This former Florida Gator is an Olympic swimmer with 12 Olympic medals. He excelled in the individual medley events and is known for his rivalry with Michael Phelps. Also, notable that he faked being robbed at the 2016 Rio Olympics.
Who is Ryan Lochte?

This internal medicine resident used to have dreadlocks and they were a rapper.
Who is Justin Palardy?