Tox
Bugs that bugs me
That hurts!
What is it that you're asking me??
100

A 34-year-old woman has presented feeling weak and unwell. A venous blood gas has been obtained and is shown below.

Which of the following factors would particularly lead you to consider hyperbaric oxygen therapy?

A. Pregnancy

B. Age > 55

C. Metabolic acidosis

D. Carboxyhaemoglobin >15%

E. Presence of parenthesis


A. Pregnancy

100

A 23-year-old man has presented with pain and tenderness around the left eye.

Which of the following would make pre-septal cellulitis more likely than orbital cellulitis?

A. Symptoms began in the upper eyelid

B. Reduced visual acuity

C. Pain on eye movement

D. Proptosis

E. Relative afferent pupillary defect


A. Symptoms began in the upper eyelid

100

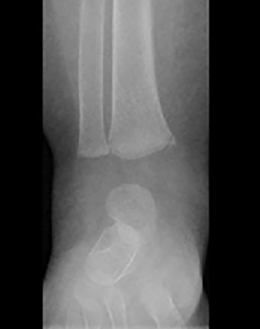
A 12-year-old boy has been brought to the emergency department with an ankle injury sustained during a football game. After a tackle he was unable to weight bear on his right foot and he noticed that his ankle was painful and swollen.

His x-ray is shown below.

What is the correct diagnosis?

A. Epiphyseal injury of the distal fibula (Salter-Harris I)

B. Epiphyseal injury of the distal tibia (Salter-Harris I)

C. Epiphyseal injury of the distal tibia (Salter-Harris II)

D. Epiphyseal injury of the distal tibia (Salter-HarrisIII)

E. Disruption of the distal tibio-fibular joint


D. Epiphyseal injury of the distal tibia (Salter Harris III)

100

Following a recent article, what is considered the most dangerous animal in Ireland?

A. Puff Adder Snake

B. Sea Gull

C. Bull

D. Cow

E. Baskin Shark

D. Cow


200

56 y old found unconscious in a shed. Found by police who were notified for illegal distillery. Has metabolic acidosis

What agent would you use?

A. Ethanol infusion

B. EDTA (ethylene diamine tetraacetyc acid)

C. Atropine

D. Pralidoxime

D. Insulin

A. Ethanol infusion

200


A 48-year-old man has presented with increasing pain in his left leg for three days after an insect bite. He also says that he has never felt this ill.

A colleague suggests undertaking an ultrasound scan of the area.

How could ultrasound help?

A.  By showing gas in the tissues

B. By demonstrating thrombosis of a major vein

C. By showing an abscess within the soft tissues

D. By showing oedema within the soft tissues

E. By demonstrating a compartment syndrome


A. By showing gas in the tissue

200

A 33-year-old woman sustained an injury to her thumb when she awkwardly caught a ball.

Which of the following is the most appropriate action?

A. Thumb spica splint

B. Advices only

C. Immediate manipulation in ED

D. Refer to fracture clinic

E. Refer for internal fixation

E. Refer for internal fixation

200

A patient with a known history of latex allergy presents to the Emergency Department with a severe allergic reaction due to inadvertent exposure.

Which of the following foods is this patient MOST likely to also be allergic to?

A. Tomato

B. Apple

C. Lemon

D. Orange

E. Banana

E. Banana

Explanation:

The association between latex sensitivity and food allergy is often referred to as the latex-fruit syndrome. The foods that have been identified as being linked allergenically to latex are grouped based on high, moderate or low risk.

The following foods are considered high risk:

  • Banana
  • Avocado
  • Chestnut
  • Kiwi fruit

The following foods are considered moderate risk:

  • Apple
  • Carrot
  • Celery
  • Melon
  • Papaya
  • Potato
  • Tomato

Citrus fruits and pears are considered to be low risk.

300

A 47-year-old man is brought to the ED by ambulance having taken an intentional propranolol overdose 3 hours previously. He looks pale and sweaty and is quite uncommunicative although he is rousable and orientated.

His HR is 23 bpm and his BP is 93/60

He has been given intravenous atropine and a fluid bolus, with limited effect. Which of the following is the most appropriate next treatment?

A. Apply external pacing

B.  Give calcium gluconate

C.  Give high dose insulin/dextrose infusion

D.  IV isoprenaline infusion

E. Arrange dialysis



C. High dose insulin/dextrose infusion

300

50 y old female returned from south east asia and presented with fever yesterday. Bloods showed a low parasite count of malaria falciparum. She has been asked to return to hospital. What is the best treatment?

A. Primaquine

B. Chloroquine

C. Proguanil

D. Atovaquone and Proguanil

E. Doxycycline

D. Atovaquone and Proguanil

300

A 37 y old man presents after working with dilute hydrofluoric acid. Was wearing gloves but appears that there was leak in the right glove. Pain developed 30 min later. Has washed area thoroughly 

Which of the following treatments to the affected area is most appropriate at this point?

A. Immerse in sodium bicarbonate solution

B. Irrigate with water for 20 minutes

C. Cover liberally with calcium gluconate gel

D. Cover liberally with lignocaine gel

E. Immerse in Hartmann’s solution


C. Cover liberally with calcium gluconate gel

300

A 24 y old gentleman attends ED concerned about developing cancer after eating too many bananas

How many bananas do you need to eat in order to have an evident increase of death from cancer?

A. 4000 bananas

B. 100000 bananas

C. 1 million bananas

D. 3.5 Million bananas

E. 10 million bananas

C. 1 Million bananas

400

A young woman brought a 19 month old child. She left a bottle of iron oral solution (ferrous fumarate (140mg of elemental iron in 5ml) and thinks that the child might have drank some of it 2 hours ago. She called 999 and brought her child to ED

What is the most accurate statement?

A. Child should have abdominal xray to see presence of iron solution

B. Child should be given charchoal solution now

C. Infusion of desferoxamine should be done now

D. First evidence of toxicity would be hypoglicemia

E. Iron level should be checked to guide decision

E. Iron level should be checked to guide decision

400

A two-year-old boy has been brought to the ED with a rash. His father tells you that bout a week ago, the child had a mild illness with fever and a runny nose. Today the child has developed a rash on both cheeks

Which would be the most appropriate advice?

A. There is nothing to be concerned about

B. The child might have been a risk to children a week ago

C.  The child might have been a risk to pregnant women a week ago

D. The child should be isolated from children until recovery

E.  The child should be isolated from pregnant women until recovery


C. The child might have been a risk to pregnant women a week ago

400

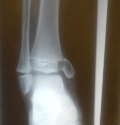
A five-month-old boy is taken to the emergency department with swollen, bruised right ankle.

His x-ray is shown below.

Which of the following is the most likely diagnosis?

A. Non-accidental injury

B. Septic arthritis

C. Osteosarcoma

D. Rickets

E. Congenital club foot


A Non accidental injury

M
e
n
u