The diagram below summarizes some of the steps in the development of humans.

All the genetic information needed for the organism to develop is first present at:
3. C
Traits are passed from parents to offspring. These traits are determined by:
2. genes, located on chromosomes, found in the nucleus
Protein synthesis is accomplished primarily by the interaction of which two cell structures?
3. nuclei and ribosomes
A human skin cell contains 46 chromosomes. A frog sperm cell contains 12 chromosomes. Which pair of numbers shows the chromosome number of a normal gamete from each of these species?
4. human 23; frog 12
A change in the base sequence of DNA is known as
1. a gene mutation
2. a karyotype
3. nondisjunction
4. polyploidy
The development of organs and tissues from a zygote includes:
1. mitosis and differentiation
2. mitosis and gamete production
3. meiosis and gamete production
4. meiosis and fertilization
Sexually reproducing organisms pass on genetic information as a:
4. sequence of the bases A, T, C, and G
The expression of a trait is directly dependent on the.
1. arrangement of amino acids in the protein synthesized
2. shape of the subunits in the DNA molecule
3. number of chromosomes present in the nucleus
4. sequence of bases coded for by the ribosome
Base your answer to the questions on the diagram below and on your knowledge of biology.

The original gene for the production of a human hormone was most likely removed from a
1. chromosome
2. ribosome
3. mitochondrion
4. cell membrane

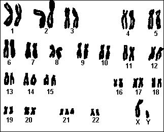
This chromosomal arrangement indicates that the individual has
1. phenylketonuria
2. Down’s syndrome
3. sickle-cell anemia
4. Tay-Sachs disease
2. Down’s syndrome
Which statement best explains why different body cells of the same individual look and function differently?
2. Different genes are activated in different kinds of cells.
Five different living organisms are represented below.

Which statement about the organisms represented above is correct?
4. All of the organisms pass on traits through reproduction.
The diagram below represents a process taking place in a cell.

The type of organic molecule that is being synthesized is.
3. protein
Base your answer to the questions on the diagram below and on your knowledge of biology.

The process represented in the diagram is
4. genetic engineering
The diagram below represents an important biological technique scientists rely on to produce replacement hormones.

Which two processes are required for the technique to successfully produce hormones?
1. replication of DNA in bacterial cells and cell division
The diagram shows four different cells from the same animal.

Which statement about the cells is accurate?
1. The four cells have identical DNA sequences.
2. Cell 3 and Cell 4 have the longest DNA sequences because they have longer shapes.
3. The four cells are different shapes because they comes from different parent organisms.
4. Cell 1 and Cell 2 have all of the same active genes even though they are from different body systems.
Animals and green plants are similar in that they
3. both use DNA to transmit hereditary information to offspring
Mutations are most directly caused by changes in the
2. genes of chromosomes
A human cell that contains all of the information necessary for the growth and development of a complete organism is
3. a zygote

The genetic disorder shown in the diagram most likely resulted from
2. nondisjunction
A lion cub resembles its parents because it inherits genes that produce
4. enzymes identical to some of the enzymes found in each parent
In a DNA molecule, if 38% of the molecular bases are C (cytosine), what percent of the bases are T (thymine)?
1. 12
2. 24
3. 38
4. 62
The diagram below represents some processes in the early development of a multicellular organism.

Which statement describing this diagram is correct?
3. Each cell in structure 4 has the same genetic content as that in structure 3.
In the diagram below, strands I and II represent portions of a DNA molecule.

Strand II would normally include
4. GAT
Who is the Father of Genetics?
1. Tesla
2. Morgan
3. Punnett
4. Mendel
4. Mendel