Name the splint

Ulnar gutter
What is #1 complication of operatively treated phalangeal fractures?
Digital stiffness
What is Jahss maneuver?
Maneuver used for reduction of MC neck fractures by flexing the MP and PIP joints to 90 degrees, and using the proximal phalanx to push up the metacarpal head

What 3 structures provide greatest stability to PIP joint?
Medial and lateral collateral ligament and the volar plate

In Bennett fracture, what is the deforming force that causes proximal migration of the thumb metacarpal?
Abductor pollicis longus

What is toxic dose of lidocaine 1% with or w/o epinephrine (in mg/kg)?
What is an appropriate management of this Seymour fracture?

Open reduction, debridement of the fracture site, repair of associated nail bed laceration, and possible Kirschner wire fixation of the fracture across the DIP joint.
What is the treatment of 5th MC neck fx with 40 degrees of apex dorsal angulation?
Acceptable angulation
(OR closed reduction and ulnar gutter splint to achieve better angulation)
Inability to obtain reduction of closed dorsal PIP J dislocation is often related to what?
Volar plate
How is Bennett's fracture reduced?
With longitudinal traction, palmar abduction, and pronation
Describe the fracture

Displaced, dorsally angulated transverse fractures of the metacarpal shafts of the ring and small fingers.
What is the long-term complication of untreated "mallet finger" (Describe it)?
Swan-neck deformity (DIP flexion and PIP hyperextension
What is the acceptable angulation for metacarpal shaft fracture of middle finger?
10-15 degrees
What two structures can lead to irreducible complex dorsal dislocation of index MCP joint?
Lumbricals (radially) and flexor tendons (ulnary)

How do you test for integrity of the UCL?
by applying valgus (radially directed) stress to the MCP joint

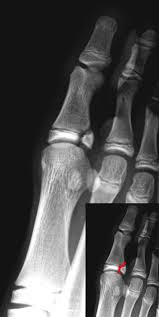
What is the appropriate Salter-Harris fracture classification of this fracture?

Type IV (through epiphysis, growth plate, and metaphysis)
Identify this type of injury? What type is it (I-IV) And what is the appropriate treatment?

Name three different operative techniques to fix metacarpal shaft fracture
- CRPP
- Open reduction with lag screw
- Open reduction with dorsal plating
What are some reasonable treatment options for fracture/dislocation of PIP joint with severely comminuted volar base fracture of the middle phalanx involving 40% of joint surface?
Dynamic external fixation
Volar plate arthroplasty
Hemi-hamate graft
What is Stener lesion?
formed when the distally avulsed UCL of thumb MCP J comes to lie dorsal to the leading edge of the adductor aponeurosis

What is the safe position or intrinsic plus position of the hand?
Wrist extended 20-30 degrees, MP joints flexed 70-90 degrees, and IP joints in full extension
What is an important factor to consider, other than the degree of intra-articular step, when deciding to operate on a bony mallet finger?
Distal phalanx subluxation
Indications for operative fixation of metacarpal fractures? Name 5
Dorsal extension block splinting is indicated for what PIP J fractures/dislocations?
What indicates a complete UCL tear on physical exam?
Complete UCL tear likely if radial deviation of thumb at the MCP joint (flexed or extended) > 35 degrees or 10-15 degrees more compared to the opposite thumb