This cardiac view resembles a donut and croissant
What is the PSAX (parasternal short axis) view?
This British Singer "Set Fire to the Rain"
Who is Adele
In the lung view, the probe marker should always be pointed in which direction relative to the patient?
What is... towards the patient's head?
This type of probe is ideal for looking between the ribs
What is the phased array probe?
What is ketchup?
This chamber lies on top of the screen (near-field) on this cardiac view

What is the Right Ventricle?
Taylor Swift wrote “We Are Never Ever Getting Back Together” about this celebrity
Who is Jake Gyllenhaal
This anatomical structure is shown by the red arrows in this "bat wing" representation of the anterior lung field.

What are... the ribs?
This characteristic ultrasound artifact is associated with the gallbladder stone shown in this clip. (note: name the ultrasound artifact)

What is posterior acoustic shadowing associated with gallstone?
This university is known for performing the first open-heart surgery in 1983.
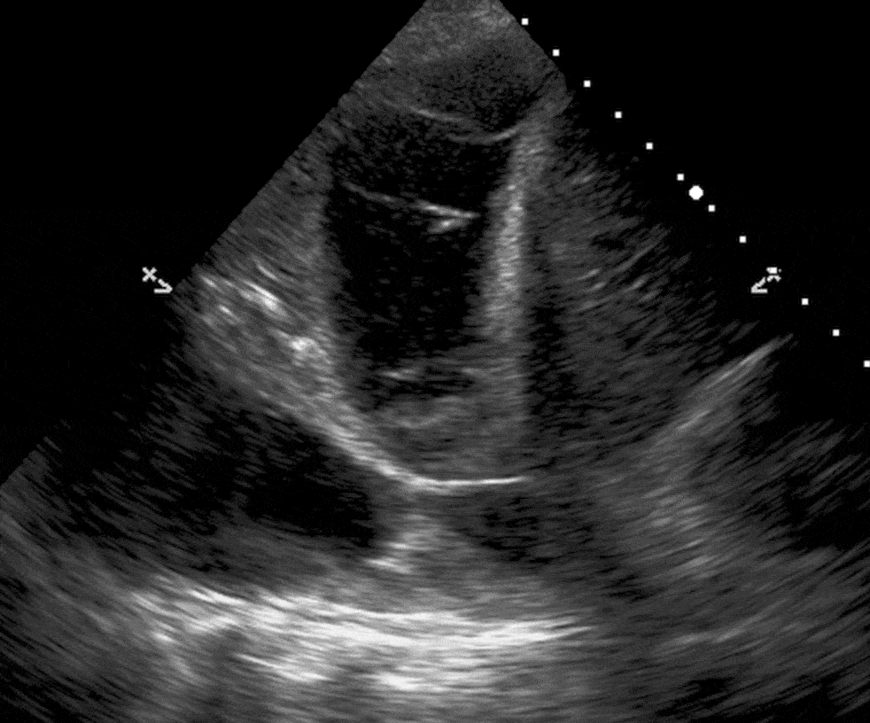
This this apical 4 chamber view, the structures on the left side of the screen represent this side of the heart

What is the RIGHT side of the heart?
This song was written as a response to “When I was your man” by Bruno Mars' dedicated to the singer by an ex. This song was also released on her ex’s birthday
What is Flowers by Miley Cyrus
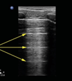
These artifacts are found in normal lung and results from back and forth reflections between ultrasound probe and pleural line

What are A lines?
When viewing an ultrasound image on the screen, this term describes the relative position of the object located on top of the screen.
What is the "near-field"?
In the north side vs south side Chicago baseball rivalry, this team represents the south side
What are the White Sox
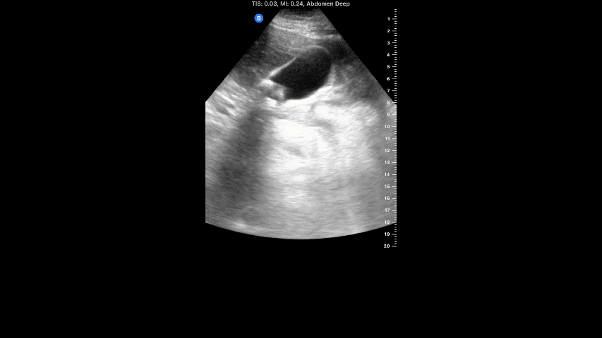
This view is the best to look for pericardial effusions

What is the subxiphoid (subcostal) view?
This boy band sang these lyrics: "Don't wanna hear you say / Ain't nothin' but a heartache, ain't nothin' but a mistake"?
Who are the Backstreet Boys?
These "comet-tail" artifacts are often seen as the result of interstitial processes

What are... B lines?
This probe frequency type allows visualization of structures that are deeper in the body, such as the organs in the abdomen.
What is a low frequency probe?
Chicago was the first city to make this chocolate dessert
What is a Brownie?
Left untreated, this finding can progress to this life-threatening clinical diagnosis which presents with hypotension/shock.
(You must name BOTH the current POCUS finding and the diagnosis we worry it might progress into)

What is a pericardial effusion (finding) causing a cardiac tamponade (clinical diagnosis)?
Beyoncé has won these many Grammys, making her the artist with the most Grammys of all time
What is 32 Grammys
The following clip, taken from a patient presenting with persistent fevers and shortness of breath despite completing a 5-day course of antibiotics for a diagnosis of PNA, reveals THIS to be the likely cause of his/her symptoms

What is a "parapneumonic" or "complicated" pleural effusion?
These 3 "findings/structures" show up as white on the ultrasound image because they are reflective
What are stones, bones, and air?
This person was the first non-native settler on the land of Chicago and is recognized as the founder of the city
Who is Jean Baptiste Point du Sable