30M with recurrent inflammatory eye disease, oral ulcers, and painful scrotal findings as shown. Diagnosis?

What is: Behcets
Drug-induced lupus erythematosus antibody?
Antihistone antibody
73-year-old woman is evaluated for a 3-week history of proximal muscle weakness. Diagnosis?

What is: Dermatomyositis
Patients with Sjögren syndrome are at increased risk for non-Hodgkin lymphoma compared with the general population, with these two conditions being the most common. (Name one)
large B-cell lymphoma
MALT lymphoma
joint-space narrowing and subchondral sclerosis consistent with?

OA
Anti-Ro/SSA; anti-La/SSB positive markers
What is: Sjögren syndrome
Mechanic hands--fingers painful and swollen, has trouble climbing stairs. ESR is 41 mm/h and CK level of 3100 U/L.
Which of the following autoantibodies will help confirm the diagnosis?
What is: Anti-Jo1
29M with recurrent painful oral ulcers, knee pain, fever and recent uveitis 1 week ago. Diagnosis?

What is: Behcets
39F w/ newly discovered neutropenia and splenomegaly. She has a 10-year history of severe, difficult-to-control RA on prednisone, methotrexate, folic acid, and adalimumab.
Laboratory studies:
Absolute neutrophil count: 1100/μL (1.1 × 109/L)
Leukocyte count: 3800/μL (3.8 × 109/L)
Platelet count: Normal
Urinalysis: Normal
Which of the following is the most likely diagnosis?
A. amyloidosis
B. Felty syndrome
C. Sjögren syndrome
D. Systemic lupus erythematosus
B. Felty Syndrome
Dermatomyositis treatment after initial steroid course?
Add glucocorticoid-sparing agent: methotrexate or azathioprine as next step to achieve long-term disease control and to allow effective tapering of the prednisone dose.
Physical therapy may help maintain muscle function and should be used in all patients with inflammatory myopathy!
18F p/w fever and symmetric pain and swelling in her elbows and wrists for 1 day. Three small painless nodules located over her elbow. Recent "cold" 2 weeks ago.
Labs: ESR 55 mm/h, WBC 12,500/µL and an elevated antistreptolysin O titer. Throat culture for group A streptococcus is negative.
Diagnosis?
A. rheumatic fever
B. Infectious arthritis
C. Rheumatoid arthritis
D. Sarcoidosis
A. rheumatic fever! May present 2 to 3 weeks after infection with fever, migratory large-joint polyarthritis, carditis, chorea, erythema marginatum, and/or subcutaneous nodules
How to diagnosis limited cutaneous systemic sclerosis vs. diffuse cutaneous systemic sclerosis?
What is: positive anticentromere antibody for limited and Anti–Scl-70 antibodies for diffuse cutaneous systemic sclerosis

What is: Rheumatoid arthritis
75F p/w fatigue and 3-months of neck shoulder and hip pain. She also has low-grade fevers. Proximal girdle muscles are tender to palpation
Laboratory studies:
ESR: 90
Hemoglobin: 8.5, MCV: 84
Iron: 10 μg/dL (2 μmol/L)
Total iron-binding capacity: 200 μg/dL (36 μmol/L)
Next step in management of her anemia?
A. Bone marrow biopsy
B. Colonoscopy
C. Low-dose prednisone
D. Oral iron replacement
C. Anemia of inflammation usually occurs in response to an underlying condition, and treatment is primarily directed toward identification and treatment of the underlying condition.
She most likely has anemia of inflammation resulting from polymyalgia rheumatica (suggested by history of pain, physical examination findings of tenderness and limited range of motion in the shoulders and hips, and elevated markers of inflammation)
63M p/w 8-week history of a spreading rash on the feet and legs, fatigue, and arthralgia. Some lesions are palpable. There are no swollen or tender joints

ESR: 110 mm/h
ALT: 93 U/L
AST: 89 U/L
C3 complement: WNLs
C4 complement: Not detected
Creatinine: 2.1 mg/dL (185.6 μmol/L)
Rheumatoid factor: Elevated
Anti–cyclic citrullinated peptide antibodies: Not detected
Urinalysis: 2+ blood; 2+ protein; dysmorphic erythrocytes; no casts
Which of the following is the most likely diagnosis?
A. Cryoglobulinemic vasculitis
B. Hypersensitivity vasculitis
C. Polyarteritis nodosa
D. Rheumatoid vasculitis
A. Cryoglobulinemic vasculitis
Pericarditis is a relatively common manifestation of this rheumatic condition?
What is: systemic lupus erythematosus
Mixed connective tissue disorder antibodies?
What is: Positive anti–U1-ribonucleoprotein antibodies
Dry eyes, dry mouth, and this change in the shape of her face? Diagnosis?

What is: Sjogen's syndrome
First or second line agent to treat Behcet's?
First line: colchicine
Second line for recurrent ulcers OR if steroid sparing agent required apremilast!
Apremilast is an oral phosphodiesterase-4 inhibitor approved for treatment of psoriasis, psoriatic arthritis, and prevention of oral ulcers in Behçet syndrome.
Patients with Sjögren syndrome are at high risk for this type of cancer?
What is: lymphoma (5% lifetime risk)
45F p/w progressive dyspnea x 6 months, hearing impairment, and knee pain. She has swelling of the helices of the ear, with sparing of the lobule; diminished hearing bilaterally and flattening of the nasal bridge. Lung examination reveals inspiratory stridor loudest over the trachea.
Diagnosis?
A. Cryoglobulinemia
B. Granulomatosis with polyangiitis
C. Relapsing polychondritis
D. Rheumatoid arthritis
C. Relapsing polychondritis is a chronic inflammatory disease involving the cartilage (but not noncartilaginous structures) of the ears, nasal bridge (saddle nose deformity), joints, and trachea, as well as involvement of the connective tissue of the eye. Hearing loss is likely related to inflammation of the cartilage of the middle ear.
Granulomatosis with Polyangiitis (GPA) is a/w with this antibody/marker?
What is: C-ANCA (antiproteinase-3)
XR of hands show erosions in the DIP and PIP joints centrally and at joint margins. Asymmetric osteophytes are noted at the PIP and DIP joints bilaterally, with subchondral cyst formation. What's the diagnosis?

Erosive osteoarthritis mostly affects the distal interphalangeal and proximal interphalangeal joints, is characterized by erythema and swelling, is more common in women and is associated with conditions such as obesity, hypertension, and hyperlipidemia
24M p/w fever x6 weeks and joint pain and occasional sore throat. The fever begins in the early evening and resolves by morning. The fever is accompanied by a salmon-pink macular rash on the trunk and arms
A friction rub is heard bilaterally at the lung bases. Abdomen is tender without guarding. The knees have effusions. Cardiac examination is normal.
Laboratory studies:
ESR: 125 mm/h
Leukocyte count : 22,000/μL (22 × 109/L)
Ferritin: 5200 ng/mL (5200 μg/L)
What's the diagnosis?
What is: Adult-onset Still disease, a condition of unknown cause, is characterized by daily evening fevers; salmon-pink rash; inflammatory arthritis; sore throat; and laboratory findings of high inflammatory markers, elevated ferritin level, and leukocytosis.
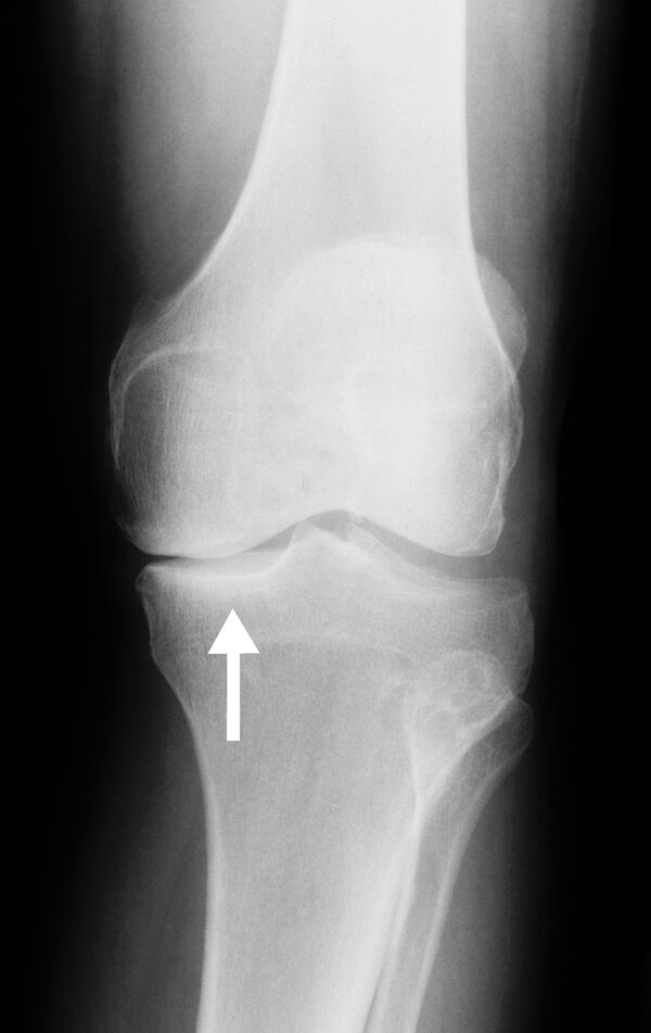
A 42F develops osteoarthritis as seen below. What are secondary causes of OA (name 1) that she should also be tested for?

What is: Hemochromatosis, Wilson's dx, gout, obesity, RA, previous trauma
Secondary osteoarthritis (OA) should be suspected when OA occurs at an early age or involves joints not typical for OA.