Diagnosis?

Simpson's Biplane method
With interatrial shunt, direction of shunt is determined by
Ventricular compliance

A 70/M comes in to ER with chest pain for 4 hours. Serial EKGs and first hs-troponin wnl. NBS in management?
Discharge and follow up outpatient
Which vessel is occluded here?

Proxima LAD (wellen's sign)
50/M with EF of 40%. How would you classify this EF?
Moderately reduced
This conduction abnormality is frequently associated with primum ASD.
Left bundle branch block
A 70 year old patient comes in with acute chest pain. Serial EKGs and troponin are wnl. He is intermediate risk on GRACE score. CTA is done which shows a 70% intermediate lesion. NBS?
CT-FFR or stress test with imaging
Diagnosis?
Posterior STEMI
What type of remodeling is this?
LV mass-120g
PWT-1.5cm
LVID-5cm
Concentric hypertrophy
Name these 4 parameters that fulfil the requirement for ASD closure.
Right heart enlargement
PVR <1/3 SVR
PASP <50% systemic
Shunt large enough to cause sequelae (Qp/Qs >/= 1.5:1)
A 65/M with h/o PCI 2 years ago comes in with cardiac type chest pain. Serial EKGs and troponin are wnl. He is on aspirin, ticagrelor, metoprolol 25 and nitrogylcerin 0.4mg prn. BP 130/80, HR 70, RR 16 and SPO2 95. NBS for chest pain?
Optimize anti-anginals
An 18-year-old Male had an EKG before joining the basketball team. Diagnosis?

Early repolarization
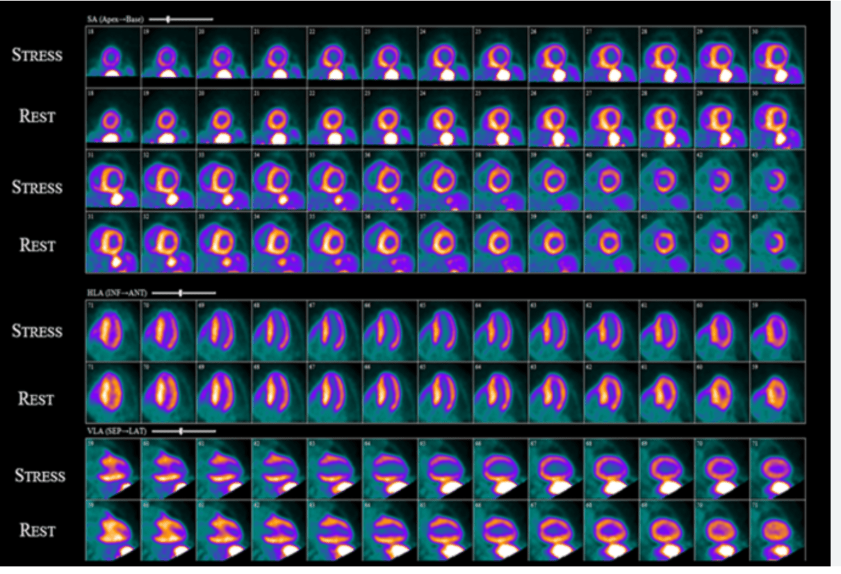
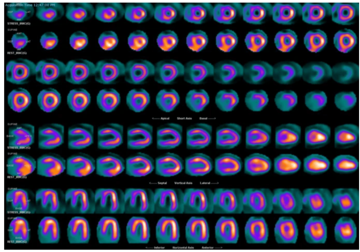
Most striking feature here?

Images showing a small (< 10%) fixed perfusion defect at the apex, moderate (10-20%) ischemia in the territory of the LAD, and mild (< 10%) ischemia in the territory of the LCx. Most striking is the presence of TID with a ratio of 1.41.
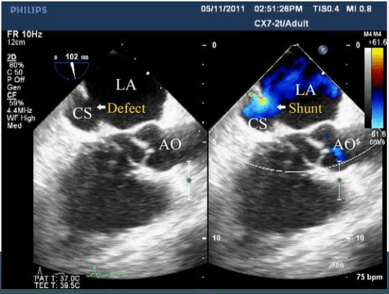
Identify type of ASD

Coronary Sinus ASD

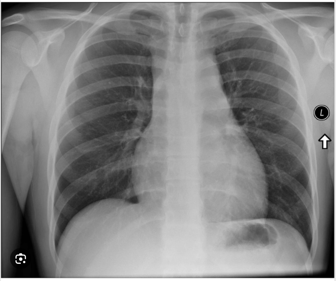
20/F with sudden onset chest pain. Cause?

Aortic dissection
Give the full diagnosis

Inferior STEMI with RV infarction

There is a large-sized, moderate-intensity, predominantly reversible perfusion defect involving the anterior wall, apex, and septum
No.1 is ___ASD and No. 5 is ____ASD. 
Superior sinus venosus & primum ASD
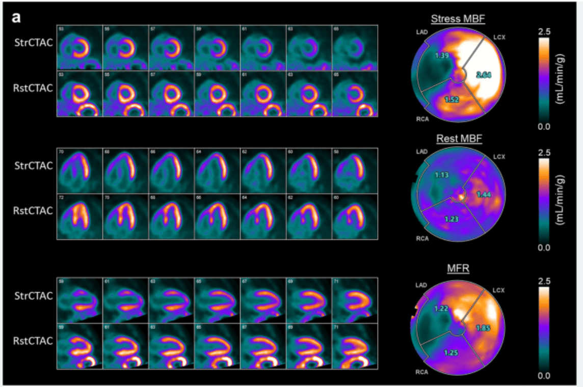
Spot diagnosis?

Microvascular dysfunction (MBFR<2)