Es la unidad basica de las proteínas
¿que es un aminoácido?

son cadenas de aminoácidos y pueden ser receptores de membrana, enzimas del citoplasma o incluso estar libres en nuestra sangre
¿que es una proteína?

Se encuentran en los cromosomas 1, 9 y 15
¿Que son los genes NTRK 1, 2 y 3?

Es la prueba que se usa de tamizaje para encontrar la expresión de la proteína tirosina cinasa de tropomiosina
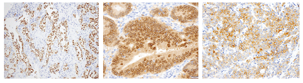
¿Que es la innunohistoquimica TRK?

Es el tipo de formulación para pacientes pediatricos
¿Que es Larotrectinib solucón?

Es un fragmento de DNA que al final se traducira a una proteína
¿Que es un gen?

Es una proteína de membrana celular que al activarse fosforila proteinas y envia señales de división, crecimiento o preservacion al interior de la célula
¿que es una tirosina cinasa?

Proteínas que se expresan normalmente en nuestro sistema nervioso central
¿Que son las proteinas TRK A, B y C?

Es la prueba que utiliza anticuerpos marcados con colorante e identifica una proteína que es visible al microscopio
¿Que es la inmunohistoquimica?

Gliomas, fibrosarcoma infantil y Ca paplilar de tiroides
¿Cuales son los tumores pediatricos mas frecuentes con fusiones NTRK?

El DNA se transcribe a RNA y el RNA se traduce a una proteína
¿Cual es el Dogma central de la biología molecular?

Proteína que resulta de la union anómala de 2 genes distintos
¿que es una proteína de fusion?

Dolor, temperatura, movimiento, memoria, humor, propiocepcion y regulación de apetito
¿Cuales son las funciones biologicas de las proteinas TRK?

Es una prueba que identifca genes especificos dentro de los cromosomas y los hace visibles por fluoresencia
¿Que es Fluoresencia por hibridación in situ (FISH)?

Es el mecanismo de acción de larotrectinib
¿que es la inhibición específica de la tirosina cinasa TRK?

Es la forma más compacta en la que se enrolla el DNA y cada uno contiene múltiples genes
¿Que es un cromosoma?

Es cuando la informacion de 2 genes diferentes se une para formar un gén anormal
¿que es un gen de fusión?

Proteína con activción constitutiva producto de un gen de fusión de NTRK
¿Que es una proteína de fusión TRK?

Es una prueba que identifica genes conocidos mediante una sonda complementaria y utiliza DNA polimerasas para amplificarlas y medirlas
¿Que es la reacción en cadena de polimerasa (PCR)

Por este motivo larotrectinib, a diferencia de otros TKI, muestra respuestas tumorales completas y parciales de larga duración
¿que es un driver oncogénico o iniciador oncogénico?

Es un fragmento de RNA unido a un aminoácido y se usa para ensablar una proteína de acuerdo al marco de RNA mensajero
¿que es el RNA de transferencia?

Muchos tipos distintos de tumor pueden expresar el gen de fusión NTRK
¿Porque son los genes de fusión NTRK agnósticos de tumor?

Los genes NTRK tienen capacidad de hacer fusión con muchos genes diferentes
¿Que es la promiscuidad de los genes de fusión NTRK?

Es la prueba que utiliza nucleotidos radiomarcados para identificar secuencias muy especificas buscando en una biblioteca de DNA
¿Que es la secuenciacón de nueva generación?
Ca papilar de tiroides, Ca Pulmón de células no pequeñas, Ca de Cólon, Melanoma, y sarcomas de tejidos blandos en cualquier linea de tratamiento , pero más aún en líneas avanzadas
¿Cuales son algunos tumores adultos donde puede expresarse NTRK?
