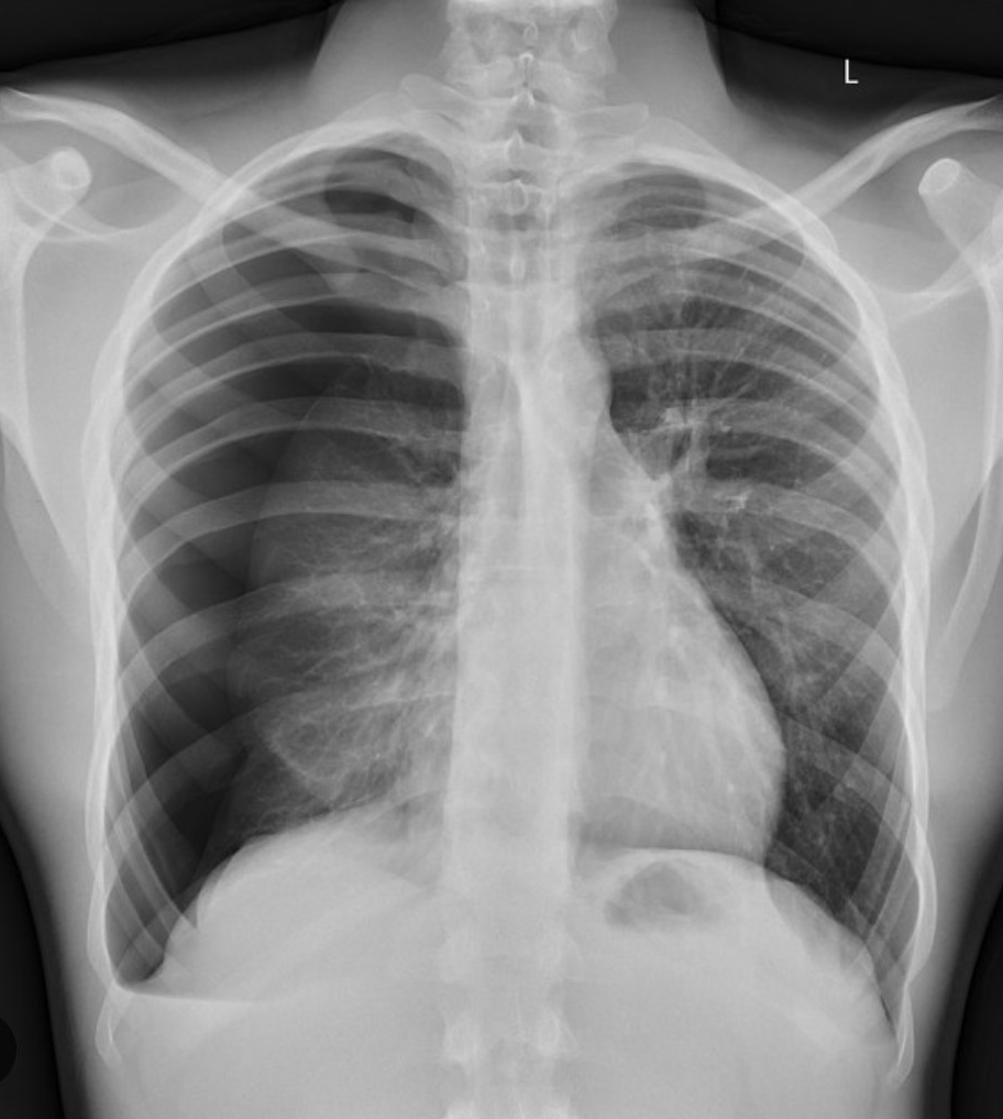
What is the main finding on this CXR?

Pneumothorax
What is the FEV1/FVC ratio needed to diagnosed COPD?
<0.7 or <70%
Acidosis
Electrolytes
Intoxication
Overload
Uremia
Adenosine
What is this ultrasound showing?

Pleural Effusion
What type of lung disease is this flow-volume loops showing?

Obstructive lung disease
What is this acid-base disturbance?
pH 7.23
CO2 70
HCO3 24
O2 140
Respiratory Acidosis
RRT for this telemetry strip. Patient with low BP and altered but with a pulse. What do you do next?
Synchronized cardioversion
What is the main finding on this image?

Pulmonary Embolism
The newest GINA guidelines in 2023 recommend which type of inhaler for as needed reliever therapy in patients with asthma?
ICS-formoterol (Symbicort, Dulera)
Name sedation that can cause bradycardia
Precedex or Propofol
RRT for respiratory distress and this CXR.
What steps do you take next?

BiPAP
Lasix
(Can use nitro drip if patient in hypertensive emergency)
What lung pathology is this CT demonstrating?

Emphysema
What is the criteria for annual lung cancer screening?
Ages 50-80 years old
Have a 20 pack year smoking history
Currently smoke or have quit within the last 15 years
Name at least 2 criteria to diagnose ARDS
1. Respiratory symptoms within 1 week of insult or patient with new or worsening symptoms in the last week
2. Bilateral opacities on imaging
3. Respiratory failure not explained by cardiac failure or volume overload
4. PaO2/FiO2 <300
RRT for patient who altered and just had synchronized cardioversion for A. Fib.
What do you want to rule out?
Stroke