Spondylolysis is a defect that occurs in on this anatomical part of the spine
What is the Pars Interarticularsis
This is how depressed fractures of the skull occur
What is direct blow to a small surface area? (such as baseball bat to the head)
What is infection (UTI, STD, bacterial, etc.)
What are Jefferson fractures?
This radiographic appearance demonstrates spondylolysis on oblique lumbar spine images
What is the "broken neck of the Scotty dog"-pars interarticularis?
This treatment is required for the fracture seen here:

What is surgical plating (depressed fracture of zygomatic arch)
This is also known as "bamboo spine"
What is ankylosing spondylitis?

What are severe flexion or extension forces.
Hyperflexion injuries cause this type of spine fracture
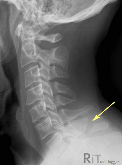
What is an anterior wedge fracture
The type of fracture seen here:

What is a blow out fracture?
This alternative imaging to conventional x-ray is used for screening for osteoporosis
What is DEXA bone densitometry?
These 2 views best demonstrate fractures that affect the odontoid process.
What are the lateral and AP open mouth projections?
What is the mechanism of injury for a "clay shovellers" fracture?
What is Rotational Trauma (specifically body rotation compared to neck/head)
Concussion is demonstrated on imaging in this way.
What is concussion does not present on imaging.
This is a key radiographic appearance to rheumatoid arthritis.
What is rarefaction (dense cortex of bone compared to less dense of medullary cavity)

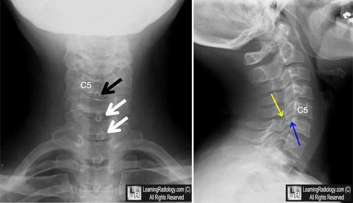
The pathology seen on these images. 
What are facet locks? (SP not in straight line), anterior displacement of spine)
This "column" of the the three spine columns determines stable versus unstable fractures?
What is the middle column (if intact the fracture is stable, if not, unstable)
"Bruised" brain tissue is also known as this
What is cerebral contusions?
What is a wedge/compression fracture?
This anatomical area is being disrupted by the fracture line seen on this image.

What are the pedicles? (Hangman's fracture demonstrates fracture line through pedicle)
