Parkinson’s patients love jokes—they shake things up.
What type of tremor is associated with Parkinson's disease?
What is rest tremor?
What is the name of the test that evaluates for seizure activity?
What does the acronym FAST stand for?
What is facial asymmetry, arm/leg weakness, slurred speech, time is brain?

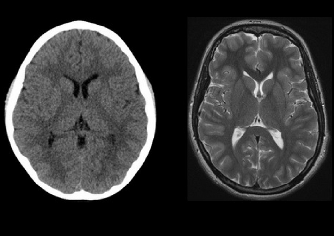
What term is used to describe a disorder of enlarged ventricles?
What is hydrocephalus?
What lifestyle changes may help reduce tremor?
What is reduce caffeine, stress, avoid fatigue?
What is the medical term for the stiffness associated with Parkinson's disease?
What is rigidity?
What is the name of the seizure that involves in whole brain?
What is a generalized seizure? Give both names and receive $100 extra

What symptom are you looking for when testing finger to nose or heel to shin?
What is ataxia?
Which picture is the MRI?


What is a food or drink that helps reduce essential tremor?
What is alcohol?
What is the medical term for slowing of movements?
What is bradykinesia?
What type of seizure only involves one area of the brain?
What is a focal seizure, previously called a partial seizure?

What is the name of this reflex? Bonus points if you are able to name which response is abnormal in adults and any potential cause.

What is the Babinski reflex? Potential causes: stroke, spinal cord injury, brain tumor, MS, ALS, meningitis
What finding are you looking for on MRI during an MS evaluation?
What is a risk factor for essential tremor?
What is genetics?
What is the most common medication used for Parkinson's disease?
What is carbidopa levodopa (sinemet)?
How do you administer rescue medication for a seizure occurring at home?
What is rectal or nasal?
What are at least 3 questions you should ask during an exam on a new headache patient?
What are associated symptoms (nausea, vomiting, sensitivity to light), positional worsening, remitting/relieving factors, previous medications tried, vision changes, duration?
What are you looking for on the rapid head CT during a stroke alert?
What is bleeding, hyperdensity to suggest ischemic stroke, or loss of grey-white matter differentiation?
What is one of the two most effective drugs to treat essential tremor?
What are primidone and propranolol?
What are the three exam findings that constitute parkinsonism?
What are bradykinesia, rigidity, and rest tremor
What are some non-medication treatments for seizures?
What is deep brain stimulation (DBS), vagal nerve stimulator (VNS), or responsive neurostimulation (RNS)?
What exam findings would you expect to see in neuropathy?
What are decreased reflexes, decreased sensation to cold, vibration, or proprioception?
What is one of the vascular territories identified on MRI?
What are MCA (middle cerebral artery), ACA (anterior cerebral artery), PCA (posterior cerebral artery)

What are non medication treatments for essential tremor?
What are deep brain stimulation, botox injections, or focused ultrasound?