Hvad er de 3 kernesymptomer for depression?
Nedtrykthed.
Nedsat lyst eller interesse.
Nedsat energi eller øget trætbarhed.
Hvad er en generel fordel ved bivirkningsprofilen ved 2. generations antipsykotika vs 1. generation?
Færre ekstrapyrimidale bivirkninger
45-årig mand med udtrætning i højre ben i 5-6 år
Tiltagende problemer, begyndende imperiøs vandlanding
Ved neurologisk undersøgelse findes:
1. Afblegning af højre papil (n. opticus)
2. nystagmus ved venstre sideblik (hjernestamme/cerebellum)
3) spastisk paraparese (hø.>ve.), hyperrefleksi, hø.-sidig Babinski, nedsat vibrationssans (medulla spinalis)
MR af hjernen viser multiple periventrikulære læsioner
MR af columna viser 2 thorakale, hyperintense læsioner
Spinalvæskeundersøgelse viser oligoklonale bånd
Diagnose? (BONUS 100 POINT: Subtype)
Niveau 1 - Ingen øget risiko.
Niveau 2 - Øget risiko
Niveau 3 - Akut øget risiko
Hvad forstås ved hhv. primære og sekundære hjernetumorer?
Primære tumorer udgår fra intrakranielle strukturer/celler
Sekundære tumorer (metastaser) opstår som følge af hæmatogen spredning fra en tumorsygdom udenfor CNS
Beskriv kriterier for en manisk enkeltepisode samt minimum 3 symptomer relateret til denne.
(BONUS 100 POINT: Hvornår kan man stille diagnosen bipolar affektiv sindslidelse?)
Stemningslejet er forhøjet eller irritabelt/vredagtigt således, at det ikke harmonerer med patientens situation
Varighed mindst en uge eller indlæggelse nødvendig
Symptomer:
1. Hyperaktivitet 2. Talepres 3. Øget sexdrift 4. Hensynsløs, uansvarlig adfærd 5. Nedsat søvnbehov 6. Tankeflugt 7. Hæmningsløs adfærd 8. Grandiositet/Øget selvfølelse 9. Distraktibilitet eller usamlethed
(BONUS: Ved 2 eller flere episoder med mani, hypomani eller depression hvor minimum 1 episode er manisk/hypomanisk)
Hvad skal man være særligt opmærksom på ved opstart af behandling til depressive patienter med selvmordstanker? (særligt 2 uger efter opstart af antidepressiva eller efter 2-3 ECT-behandlinger)
Svært deprimerede med selvmordstanker er hæmmede og mangler energi til at handle på disse. Efter 2 uger er patienterne fortsat deprimerede gr. manglende indtræden af virkning, men har genvundet energi til at kunne handle på selvmordstanker.
30-årig kvinde henvender sig i AMA pga. intermitterende dobbeltsyn igennem en uges tid.
Ingen dobbeltsyn når hun vågner om morgenen
Objektivt undersøgt af FV som finder tegn på højresidig abducensparese.
Objektiv undersøgelse af dig findes tegn på venstresidig adduktionsparese samt bilateral ptose.
Hvor kan læsionen sidde og hvad er ætiologien?
Myastenia gravis. Udtrætning af muskulatur imellem undersøgelser, ej dobbeltsyn om morgenen efter søvn.
Hvordan undersøges for kranienerver? Nævn mindst 1 relevant undersøgelse til hver kranienerve (CN I kan springes over)
CN II: Visus, synsfelt, pupilrefleks
CN III: Pupilrefleks, H-konfiguration
CN IV: H-konfiguration
CN V: Sensibilitet svt. 3 trigeminusgrene, vatpind + spids
CN VI: H-konfiguration
CN VII: Løft øjenbryn, pust kinder op, vis tænder
CN VIII: fingergnidning, linjegang, Romberg
CN IX: Inspicer for egalt løft af ganesejl
CN X: Inspicer for egalt løft af ganesejl, tale
CN XI: Skulderløft, hovedrotation (sternocleid)
CN XII: Tungebevægelser
Beskriv 1 mulig kirurgisk intervention ifbm. behandling af enten hæmatomet eller udløsende årsag ved SAH, EDH samt SDH
(BONUS 100 POINT: Hvornår er det relevant med en kraniektomi?)
SAH: (Aneurisme) Endovaskulær coiling eller operativ clipsning
SDH: Operativ evakuering af hæmatom enten ved borehul eller kraniotomi
EDH: Operativ evakuering af hæmatom ved kraniotomi
(BONUS: Kirurgisk intervention til forhøjet ICP)
Beskriv de skizofrene førsterangssymptomer.
Tankepåvirkningsoplevelser (fradrag, påføring, udspredning, hørlighed)
Tredje-persons hørelseshallucinationer (diskuterende, kommenterende)
Styringsoplevelser (påførte handlinger, viljeimpulser og følelser)
Legemlige påvirkningsoplevelser
Vrangagtige sansningsoplevelser (delusional perceptions)
Hvad forstås ved indlæggelse på hhv. gule og røde papirer? Hvad kaldes indikationen? Hvilke kriterier skal være opfyldt for denne indlæggelse?
Tvangsindlæggelse.
Kriterier:
Patienten er sindssyg eller befinder sig i en tilstand, der ganske må ligestilles hermed, og det vil være uforsvarligt ikke at frihedsberøve den pågældende med henblik på behandling fordi:
Beskriv kort behandlingsmodaliteter ved akut apopleksi af hhv. iskæmisk ætiologi og ICH
Iskæmisk apopleksi:
Trombolyse: indenfor 4,5 time efter ictus, "wake-up" eller ukendt debut apopleksi kan anvendes scanning med DWI-FLAIR mismatch til at bekræfte trombolysebehandling
Endovaskulær: Mekanisk fjernelse af trombe endovaskulært med stent retriever
Trombocythæmmer: Bolus 300 mg ASA evt. suppleret med 300 mg Clopidogrel efterfulgt af daglig forebyggende trombocythæmmende behandling
ICH:
Fokus på akut blodtrykssænkning (systolisk <140 mmHg)
Antidot ved NOAK/DOAK induceret blødning
Faktorindgift ved AK-behandling induceret blødning
Hvad forstås ved positiv Lasegue (Strakt benløft test), og hvad er det til et tegn til?
Regnes for positiv ved smerter strålende distalt for knæet før benet eleveres over 60 grader. Tegn på affektion af L5-S1 rod, typisk diskusprolaps.
Hvordan kan man ved non-kirurgisk intervention sænke ICP? Mindst 3 metoder
Indgift med hyperton saltvand
Hyperventilering til pCO2 mellem 4 og 4,5
Sedation - iltbehov og metabolisme falder
Beskriv kriterier for panikangst, hhv. A, B og C-kriteriet. For fuld point skal minimum 10 af de i bogen beskrevne symptomer nævnes.
A. ≥ 4 panik-anfald indenfor 4 uger med mindst 4 symptomer af følgende, heraf minimum 1 autonomt (1-4):
1. Hjertebanken 2. Sveden 3. Rysten 4. Mundtørhed 5. Åndedrætsbesvær 6. Kvælningsfornemmelse 7. Smerter eller trykken i brystet 8. Kvalme eller maveuro 9. Svimmelhed 10. Uvirkelighedsfølelse 11. Frygt for at miste selvkontrollen 12. Dødsangst 13. Kuldegysninger eller hedeture 14. Dødhedsfølelse eller paræstesier
B. Ikke forbundet med specifik situation eller objekt, reel fare eller fysisk belastning.
C. Ikke forårsaget af fysisk eller anden psykisk lidelse
Brøset-score er et redskab til at forudse voldelig adfærd blandt psykiatriske patienter. Indeholder:

Hvornår opfylder en hovedpine kriterier for migræne uden aura?
Migræne uden aura:
A. Mindst 5 anfald der opfylder kriterierne B-D
B. Hovedpineanfald varende 4-72 timer (ubehandlet eller behandlet uden held)
C. Hovedpinen har mindst 2 af følgende 4 karakteristika:
1. Unilateral lokalisation 2. Pulserende karakter 3. Moderat eller stærk intensitet 4. Forværring ved rutinemæssig fysisk aktivitet som f.eks. at gå op ad trapper
D. Under hovedpinen mindst ét af følgende:
1. Kvalme og/eller opkastning 2. Fotofobi og fonofobi
E. Hovedpinen kan ikke bedre tilskrives en anden diagnose
Nævn 5 for fuld point! (Formentlig andre eksempler end dem jeg har noteret)
Vag, omstændelig, perserverende, tangentiel, springede, usamlet, tankestop, neologismer, metonymier, konkret tænkning m.fl.
Sæt billeder sammen med korrekt beskrivelse: 1. Epiduralt hæmatom 2. Akut subduralt hæmatom 3. Kronisk subduralt hæmatom 4. Subaraknoidalblødning 5. Intraventrikulær blødning 6. Intracerebralt hæmatom 7. Cerebral kontusion 8. Hæmorrhagisk infarkt (1 genganger - max 1 fejl)

A: Subaraknoidalblødning
B: Intraventrikulær blødning
C: Kronisk SDH (bilateralt)
D: Cerebral kontusion
E: Kronisk SDH
F: Intracerebralt hæmatom
G: Hæmorrhagisk blødning
H: Epiduralt hæmatom
I: Akut SDH
Beskriv kriterier for demens

Her ses forekomst af personlighedsforstyrrelser i forskellige befolkningsgrupper, gæt en procentsats for hver gruppe, mindst 2 rigtige gæt for point


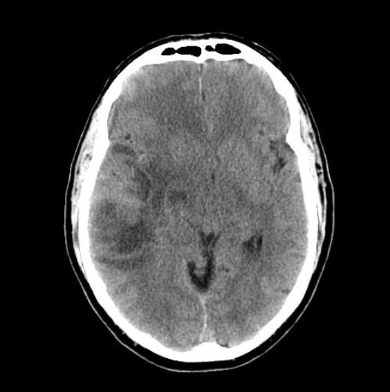
Hvilken type scanning? Diagnose? (Hvis du ofrer 200 point kan tilvælges et ekstra af følgende scanningsbilleder: CT med kontrast, MR T1-vægtet, MR T2-vægtet)

Glioblastom
Hvordan skelnes klinisk mellem læsioner i CNS og PNS? (Hint: Et givent fund vil ofte være positivt ved det ene og negativt ved det andet)
CNS: Hyperrefleksi, Hypertoni, Positiv plantarrespons, Klonus, Supranukleært fordelt parese ved hjernelæsion
PNS: Hyporefleksi, Normal tonus, Normalt plantarrespons, ingen klonus, Atrofi, Fascikulationer
Hvem har størst risiko for at udvikle IIH? (Patientgruppe)
(BONUS 100 POINT: Hvad står IIH for?)
Overvægtige kvinder i den fertile alder
(BONUS: Idiopatisk intrakraniel hypertension)