A 34 week infant born through foul smelling amniotic fluid and is intubated, ventilated and hypotensive at 3 hours of age. A random cortisol level is 2.5
Infusion of this medication is mostly likely to improve vascular tone.
Bonus: this mechanism is responsible for this improvement in vascular tone.
What is vasopressin?
What is stimulation of V1 receptors that have less issues with decreased expression than alpha-1 receptors?


This 1991 graduate of Wash U School of Arts and Sciences is a physician-scientist and former director of the Center for Disease Control (CDC) and Prevention (2021-23).
Bonus: What is this graduate's area of scientific/medical expertise?
Who is Rochelle Wolensky, CDC director from 2021-2023?
Bonus - Area of expertise: HIV/AIDS
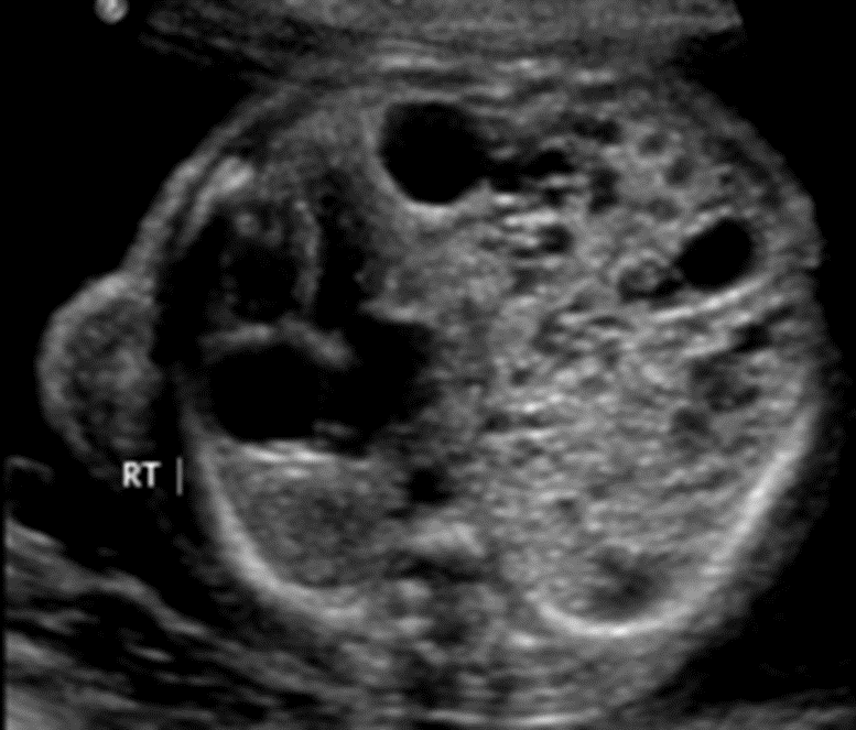
A fetal anatomy scan is shown below.
Name 2 common diagnoses associated with this finding.

What is increased nuchal translucency?
What are Trisomy 21, also 18 and 13, Turner syndrome, Triploidy?
This infection has lead to a 34 week fetus having new onset decreased fetal movement, pleural effusions and elevated MCA dopplers.
Bonus: these hematologic parameters may be affected.
What is Parvovirus B19?
What are Hgb/Hct and retic count?



Pictured above, name these two common skin findings in newborns.
What are Milia (keratin filled epithelial cysts) and Sebaceous hyperplasia (maternal androgen exposure)?

Identify the cause of this term newborn's hypoglycemia.
Bonus: This molecular etiology is causative for this condition.
What is Beckwith Wiedemann syndrome?
What is imprinting disorder of chromosome 11?
[which may not be detected with WGS!]
An infant with trisomy 21 and AVCD remains on NIPPV R10 14/7 21% at 8 weeks of life and he is on furosemide and chlorothiazide.
His cardiac cath shows LV output of 250 mL/kg/min and RV output of 750 mL/kg/min.
Describe his Qp:Qs.
What is 3:1?
Quantitation of shunting is sometimes difficult on echocardiograms.


This actor who graduated from Wash U in 1993 often plays movie villains, including Hector Hammond in Green Lantern.
Bonus: This military base is where he was born.
Who is Peter Sarsgaard?
Where is Scott Air Force Base?
A level 2 fetal ultrasound shows mediastinal shift as seen below.
Name what is causing the shift and what index
is used to prognosticate the risk of hydrops fetalis.

What is a Congenital Pulmonary Airway Malformation (CPAM)?
What is a CPAM Volume Ratio (CVR)?
>1.6 increases risk of hydrops

This vaccine preventable disease can lead to a blueberry muffin rash at birth.
BONUS: Name other manifestations can be present as well.
Enterovirus
Rubella
CMV
Zika?
Syphilis
What is congenital rubella syndrome?
What are cataracts, PDA, deafness, hepatosplenomegaly, meningoenphalitis?

This flat lesion above presents in a healthy newborn.
Over time, this will happen to this lesion.
What is Junctional melanocytic nevus?
(Histologic diagnosis: junctional, compound or intradermal depending on location of melanocytes.)
What is a benign lesion that is typically flat in neonate and can become raised over time?

This term newborn has microcephaly, micrognathia, underdevelopment of limbs (phocomelia) caused by this genetic variant.
Bonus: Name the gene.
What is Cornelia de Lange?
What is NIPBL (AD, de novo)?
A 38 week infant with enteroviral myocarditis is on milrinone for inotropic support. You are considering high-dose epinephrine to allow for quicker titration of support.
This plan may generate these metabolic and cardiac side effects/changes.
What are hyperglycemia and lactic acidosis?
What are tachycardia and hypertension?

In 1947 this scientist and WashU Professor became the first American woman to win the Nobel Prize in physiology of medicine for her work on glycogen metabolism.
Bonus: Name the location where her Nobel Prize is displayed.
Who is Gerty Cori?
Where is Becker library?
A 17 yo G1 reports to her OB. Her ultrasound find this solitary issue in the image below.

What is gastroschisis?
More likely in teen pregnancies, stimulant use, processed foods. Incidence increasing with time.
While typically neonatal onset, this congenital infection can cause the skin findings below.

Whatis Intrauterine HSV infection?
<5% of HSV infections


This skin condition is present in the term neonate above.
Bonus: Name the most likely etiology/etiologies.
What is Congenital icthyosis?
What are defects in more than 50 genes that are associated with encode structural proteins, lipid‑processing enzymes, and DNA‑repair pathways?

This term newborn's findings of cystic hygroma, short neck, pulmonic stenosis is a result of this diagnosis.
Bonus: Name the most common genetic cause.
What is Noonan syndrome?
What is PTPN11?
Typical findings: ‘Cupid bow’ upper lip, depressed nasal bridge with upturned tip, thickly hooded eyelids, micrognathia
A transport referral is concerned about severe pulmonary hypertension in a 2-hour old term infant. They ask if there is an echocardiographic finding in which you would not start inhaled nitric oxide.
Describe two potential echocardiographic findings.
What is Evidence of LV failure: PDA R->L, atrial level L->R?
What is TAPVR?


This 1966 graduate of the WashU School of Arts & Science co-wrote and/or co-directed classic comedies including Caddyshack, National Lampoon’s Vacation, Stripes, Animal House & Ghost Busters.
Who is Harold Ramis?
A community OB consults MFM due to the concerning finding below on limb ultrasound.
Name the disease process and one of the most common gene involved.

What is Osteogenesis imperfecta?
What are COL1A1 and COL1A2?
This congenital infection can be asymptomatic at birth but can cause osteochondritis, peeling skin on the hands and feet, and other abnormalities.
Bonus 1: name the specific treatment for this in neonates.
Bonus 2: identify all parts of the neonatal evaluation of this infection.
What is syphilis?
What is penicillin G - 50,000 units/kg/dose IV every 12 hours during the first 7 days of life and every 8 hours thereafter for a total of 10 days ?
What are serum RPR, CSF exam including VDRL, CBC, AST/ALT, long bone radiographs, hearing screen?




This firm, papular lesion present in a neonate delivered via C-section.
These other evaluation(s) should be performed.
What is an Epidemal nevus?
Become more wart-like and scaly over time.
No evidence of inflammation.
What are evaluations for CNS, bone, and eye abnormalities, which are more likely with extensive lesions? This baby was otherwise well.


This disease is present in this 3 week-old infant with hemoglobin 6.9 g/dL and reticulocyte count 0.2%, normal WBC, and normal platelets.
What is Diamond Blackfan anemia?
usually AD, variable penetrance
Normochromic, macrocytic anemia
RPS gene- ribosomal proteins
A term infant is born to a mom without prenatal care. He has severe respiratory distress and is intubated in the delivery room and receives 100% FiO2 to maintain SpO2 in the 90%s.
Echocardiogram shows RVp 90 mmHg, flat IVS, severe RV dilitation, decreased RV systolic function, and increased SVC flow.
Identify the cause of this infant's cardiopulmonary failure.
Identify an exam finding that could help make the diagnosis.
What is Vein of Galen Malformation?
What is auscultation of the anterior fontanelle?


This 1987 graduate of WashU School of Engineering founded Square, an e-payment company.
Bonus 1: Name his business partner in founding Square.
Bonus 2: Name the other company his business partner founded.
Bonus 3: This is the new name of Square.
Who is Jim McKelvey?
Who is Jack Dorsey?
What is Twitter?
What is Block?
The following ultrasound was obtained in the 2nd trimester.
Name this finding and name the overarching CNS finding is it associated with.

What is Proboscis (Ethmocephaly)?
What is Alobar holoprosencephaly?
A term newborn has microcephaly, hydrocephalus, chorioretinitis and hepatosplenomegaly. Head ultrasound shows calcifications.
Name the infectious organism
Bonus: name the location of the calcifications
Bonus: this intermediate animal is often involved
What is congenital toxoplasmosis (infection with Toxoplasma gondii)?
What are diffuse calcifications?

What is a cat?


This skin condition is present in one dizygotic twin.
What is cutis marmorata telangiecasia congenita
Etiology unknown to date. Can fade but also ulcerate over time

A term female has respiratory failure and the above brain MRI findings.
Describe the MRI finding. Identify the gene responsible.
What is periventricular nodular heterotopia?
What is FLNA gene / FLNA deficiency?
X-linked
Can include a spectrum of other manifestations (CV, pulmonary, GI, joint, platelets)