A 73-year-old woman is brought to the hospital with increasing confusion, gait deterioration, and headache. Physical examination reveals a contusion over the left temporal region. Her pulse is 109/min and blood pressure is 132/84 mm Hg. Pupils are 3 mm, round, and reactive. Neurologic examination reveals slurred speech and right-sided weakness. A noncontrast CT scan of the head is shown.
Which of the following structures is most likely abnormal or damaged in this patient?
A) Berry aneurysm
B) Bridging veins
C) Middle cerebral artery
D) Middle meningeal artery
E) Penetrating cerebral arteries
SDHs may result from blunt trauma and appear as a crescent-shaped area of bleeding on brain CT scan. SDHs occur due to shearing of bridging veins.
A 44-year-old woman who underwent a cholecystectomy 2 hours ago is being evaluated due to double vision and difficulty speaking and breathing. The surgery was performed under general anesthesia and was uneventful. On physical examination, there is bilateral ptosis, which is worse on the right, and labored breathing. An ice pack is applied to her right eyelid, and the ptosis improves after several minutes. She reports having had a few episodes of double vision during the last 2 months, usually at the end of a long day. These didn’t last very long, however, and she never sought medical attention.
Which of the following is the most likely cause of this patient’s symptoms?
A) Antibodies to acetylcholine receptors
B) Antibodies to presynaptic calcium channels
C) Demyelination of the CNS
D) Demyelination of the PNS
E) Trigeminal nerve irritation
A) Antibodies to acetylcholine receptors
Initial presentation of myasthenia gravis involves painless weakness of the ocular and bulbar muscles that worsens with activity and improves with rest.
A 26-year-old man is brought to the emergency department after being found unresponsive in his apartment. He has no known medical conditions and does not take any medications. On examination, his temperature is 37.1°C (98.7°F), pulse is 55/min, respirations are 8/min, and blood pressure is 110/89 mm Hg. The patient’s pupils are 2 mm in size and are nonreactive to light. Skin examination reveals evidence of injectable drug use on the patient’s forearms.
The patient’s respiratory depression is most likely caused by which of the following mechanisms?
A) Activation of κ opioid receptors
B) Activation of μ opioid receptors
C) Blockade of norepinephrine reuptake
D) Inhibition of muscarinic receptor
B) Activation of μ opioid receptors
Acute opioid intoxication can present with cardiorespiratory depression and pinpoint pupils. Opioids are agonists at μ, κ, and δ opioid receptors. Activation of the μ opioid receptor is linked to respiratory depression.
A 19-year-old man is brought to the emergency department with crushing chest pain and paranoia. He has a history of illicit drug use. Pulse is 120/min and blood pressure is 140/90 mm Hg. On examination, the patient appears agitated and diaphoretic with dilated pupils.
The drug most likely causing the patient’s symptoms has which of the following mechanisms of action?
A) Blocks N-methyl-D-aspartate receptors
B) Prevents vesicular fusion by cleaving a component of the soluble N-ethylmaleimide-sensitive factor attachment protein receptor complex
C) Competitively inhibits acetylcholine receptors
D) Increases the duration of the chloride channel being open
E) Prevents reuptake of norepinephrine, serotonin, and dopamine by presynaptic transporters
E) Prevents reuptake of norepinephrine, serotonin, and dopamine by presynaptic transporters
Cocaine overdose causes sympathetic nervous system overactivity with psychomotor agitation, hypertension, tachycardia, headache, and mydriasis, and can lead to convulsions, cerebral hemorrhage or infarction, cardiac arrhythmias, myocardial ischemia, respiratory failure, or rhabdomyolysis.
A 60-year-old man goes to the clinic for a routine annual examination. The patient has a history of smoking one pack of cigarettes per day for the past 30 years. The patient is advised to quit smoking and is given resources to aid in smoking cessation. The patient also receives a pneumococcal vaccination and an influenza vaccination. The clinic schedules a follow-up visit. Which of the following best describes the role of vaccinations in this patient?
A) Primary prevention
B) Primordial intervention
C) Quaternary prevention
D) Secondary prevention
E) Tertiary Prevention
A) Primary prevention
Primary prevention strives to prevent the onset of disease or injury before any evidence of the condition has occurred; one example is administration of vaccines.
Secondary prevention focuses on identifying unrecognized disease before the onset of symptoms to initiate treatment and to prevent progression. Tertiary prevention focuses on treating symptomatic disease and reducing morbidity from disease after onset of symptoms. Quaternary prevention identifies patients at risk of overtreatment to protect them from new medical procedures and to suggest ethically acceptable alternatives. Primordial prevention focuses on minimizing risk factors to prevent development of diseases later in life.
A) Amyotrophic lateral sclerosis
B) Cushing syndrome
C) Dermatomyositis
D) Fibromyalgia
E) Hypothyroid myopathy
F) Polymyositis
F) Polymyositis
Polymyositis is characterized by bilateral proximal muscle weakness and increased erythrocyte sedimentation rate and creatine phosphokinase.
A 34-year-old man comes to his physician after experiencing strange jerky movements in his limbs and face which he cannot control. He also reports having mood swings and memory lapses. He says that his father displayed similar symptoms when he was in his 40s. Irregular, brief, purposeless movement of the hands is noted on examination.
Which of the following pathologic changes is most likely to be seen in this patient?
A) Copper accumulation in the basal ganglia
B) Neuritic plaques in the cerebral cortex
C) Pigmentation loss in the substantia nigra
D) Scattered periventricular plaques
E) Ubiquinated protein aggregates in the caudate nucleus
E) Ubiquinated protein aggregates in the caudate nucleus
A 29-year-old man is brought to the emergency department with increasing confusion for the past 6 hours. He was diagnosed with schizophrenia and started on medication 10 days ago. He is oriented only to person. His temperature is 39.9°C (103.9°F) and blood pressure is 170/100 mm Hg while supine and 140/70 mm Hg while sitting. Physical examination reveals rigidity in all muscle groups.
Which of the following medications was the patient most likely prescribed?
A) Clozapine
B) Haloperidol
C) Lithium
D) Quetiapine
B) Haloperidol
NMS is characterized by high fever, “lead-pipe” rigidity, altered mental status, and autonomic instability. NMS is most often caused by first-generation antipsychotics such as haloperidol.
A 55-year-old old woman is brought to the emergency department after being found in a confused and obtunded state, with an empty pill bottle by the bedside. She has a history of major depressive disorder. Her temperature is 38.9°C (102°F), pulse is 124/min, and blood pressure is 72/44 mm Hg. On physical examination, the skin is warm and flushed, pupils are dilated, and no bowel sounds can be heard. The patient’s ECG is shown.

Which of the following is the mechanism of action of the most likely overdosed drug?
A) Blockade of dopamine receptors within CNS
B) Blockade of norepinephrine and serotonin reuptake within CNS
C) Blockade of reuptake of dopamine within the CNS
D) Enhancement of norepinephrine and serotonin release
E) Stimulation of serotonin receptors
B) Blockade of norepinephrine and serotonin reuptake within CNS
TCA toxicity is characterized by mental status changes, hypotension, and anticholinergic effects (flushing, hyperthermia, dilated pupils, intestinal ileus, and urinary retention). TCA overdose also can cause fatal ventricular arrhythmias. TCAs inhibit norepinephrine and serotonin reuptake from the synaptic cleft.
A new test has been developed to diagnose streptococcal pharyngitis and is being compared with a gold standard to determine its efficacy. Fifteen hundred patients have been randomly selected from a population to complete the study. When the gold standard is used, 750 of the 1500 participants are found to have streptococcal pharyngitis, and 750 do not. With the new testing method, 600 patients with streptococcal pharyngitis tested positive. Fifty patients who did not have streptococcal pharyngitis also tested positive. Which of the following calculations expresses the probability that the positive results found using the new method are actually positive?
A) (600+150)/(600+50+150+700)
B) 600/(600+150)
C) 600/(600+50)
D) 700/(50+700)
E) 700/(700+15)
C) 600/(600+50)
A 72-year-old woman is brought to her primary care physician due to increasing confusion. Her daughter explains that her mother has grown increasingly impaired and agitated over the past 2 years. She forgets where she puts items, gets lost while driving, and has become suspicious that her grandchildren are stealing from her. Physical examination is normal.
Which of the following is the most likely pathologic finding in this patient?
A) Atrophy of the caudate and putamen
B) Degeneration of dopaminergic neurons within the substantia nigra
C) Enhancing lesions within the temporal lobe
D) Increased serum amyloid A proteins
E) Neurofibrillary tangles within the brain
E) Neurofibrillary tangles within the brain
Alzheimer disease is a chronic, progressive, global decline in multiple cognitive areas. Patients with Alzheimer disease have neurofibrillary tangles and amyloid plaques in the cortex and hippocampus.
A 60-year-old man comes to the clinic for progressive weakness of his muscles throughout the day. He has trouble climbing stairs and rising from a seated position. He also reports that he experiences double vision at times. Other complaints include a frequent dry mouth and constipation. He is previously healthy but has smoked one to two packs of cigarettes per day for 40 years. Physical examination reveals proximal lower extremity muscle weakness. Reflexes are absent throughout. With brief quadriceps muscle activation, the patellar reflex returns to normal for about 5 seconds and then disappears again. Electromyography and a nerve conduction study show increased muscle electrical response with rapid repetitive stimulation.
Which of the following is the target of this patient’s most likely autoimmune disorder?
A) Postsynaptic acetylcholine receptors
B) Postsynaptic calcium channels
C) Presynaptic acetylcholine receptors
D) Presynaptic calcium channels
E) Schwann Cells
D) Presynaptic Calcium Channels
Lambert-Eaton myasthenic syndrome is caused by autoantibodies against presynaptic voltage-gated calcium channels at the neuromuscular junction. This is usually caused by small cell lung cancer and is due to antigenic similarity.
A 53-year-old man is brought to the emergency department by his business partner. They had been having dinner and wine when the patient began to feel unwell. He takes an unknown medication for depression. His blood pressure is 190/110 mm Hg. On examination, he appears confused and diaphoretic. Fundoscopic examination findings are shown. Blood alcohol level is elevated.

Which of the following drugs is this patient most likely taking for depression?
A) Amitriptyline
B) Fluoxetine
C) Phenelzine
D) Trazodone
E) Venlafaxine
C) Phenelzine
A hypertensive emergency is defined as significantly elevated blood pressure (diastolic pressure ≥120 mm Hg) with signs of end-organ damage, such as retinopathy. Patients taking MAO inhibitors may develop hypertensive emergency after ingesting food containing tyramine (eg, aged cheese, red wine).
A 39-year-old man is brought to the emergency department because of muscular rigidity and mental status changes. He was recently diagnosed with schizophrenia and started on haloperidol. His temperature is 39.7°C (103.5°F), pulse is 116/min, respirations are 22/min, and blood pressure is 173/91 mm Hg. For treatment, he is started on lorazepam and a second drug.
Which of the following is the mechanism of action of the most likely administered second drug to treat his present condition?
A) Blocks GABA receptor
B) Blocks D2 receptor
C) Inhibits calcium release from the sarcoplasmic reticulum of the skeletal muscle
D) Competitively inhibits alcohol dehydrogenase
E) Potentiates GABA effects by prolonging the duration of the chloride channel opening
C) Inhibits calcium release from the sarcoplasmic reticulum of skeletal muscle
NMS is a serious and sometimes fatal adverse effect of antipsychotic use. It is characterized by hyperthermia, muscle rigidity, autonomic instability (hypertension, tachycardia), and mental status changes. Treatment of NMS includes immediate discontinuation of all neuroleptics and administration of a benzodiazepine with dantrolene.
Clinical researchers are investigating a new antihypertensive drug. Subjects are randomly sampled and randomly sorted into two groups: a therapy group taking the new drug and a control group taking a placebo. Variables related to hypertension such as demographics, baseline blood pressure, and comorbid conditions are collected. There are no significant differences in these variables between the two groups. The subjects are blinded but the investigators are not. The investigators measure the blood pressure with the same instruments for every subject. Statistical results of the experiment reveal a decrease in blood pressure using the new antihypertensive drug (P <0.05) that was still present when controlling for all significant variables collected.
Which of the following may have skewed the investigator’s conclusions?
A) Confounding variable
B) Measurement bias
C) Observer bias
D) Recall bias
E) Selection Bias
C) Observer bias
Observer bias occurs when a researcher’s beliefs change the outcome of a study. This type of bias is an example of information bias, a category that also includes interview, recall, performance, and detection biases.
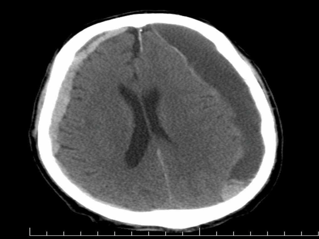
An 8-year-old boy is brought to the pediatrician because of headaches and impaired vision for the past 7 to 10 days. Neurologic examination reveals bilateral temporal visual field defects. The rest of the physical examination is unremarkable. A noncontrast CT scan of the head is shown.

Which of the following laboratory findings is most likely in this patient?
A) Decreased growth hormone level
B) Elevated testosterone level
C) High IGF-1 level
D) High serum triiodothyronine
E) Increased urine osmolarity
A) Decreased growth hormone level
Craniopharyngioma is one of the most common childhood supratentorial tumors and presents with headaches and bitemporal hemianopia. Craniopharyngiomas may lead to hypopituitarism, including low ADH, TSH, growth hormone, gonadotropin, and ACTH secretion.
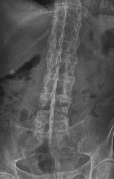
A 33-year-old man comes to the clinic because of years of gradually increasing lower back pain and morning stiffness. The pain radiates to the right groin and has been present for several years. Review of systems reveals episodic blurry vision and photophobia. Physical examination shows mild tenderness at the insertion of the Achilles tendon. A lumbar x-ray is obtained and is shown.

The human leukocyte antigen marker commonly associated with this man’s disease is also associated with which of the following disorders?
A) Bechet Disease
B) Graves Disease
C) Psoriatic arthritis
D) Rheumatoid Arthritis
E) Multiple Sclerosis
C) Psoriatic arthritis
A 19-year-old man comes to the emergency department because of a 2-day history of fever and productive cough. He has epilepsy and was recently started on a new medication for seizures. His temperature is 40.0°C (104°F). A complete blood cell count shows:
WBCs: 3000/mm3
Neutrophils: 1%
Lymphocytes: 70%
Monocytes: 8%
Eosinophils: 0%
Basophils: 0%
An x-ray of the chest shows a right lower lobe pneumonia.
Which of the following is the mechanism of action of the seizure medication the patient was most likely prescribed?
A) Calcium channel blockade
B) Inactivates sodium channels
C) Increases GABA action
D) Increases frequency of chloride channel opening
B) Inactivates sodium channels
Among carbamazepine’s most serious adverse effects are blood dyscrasias such as agranulocytosis and aplastic anemia. Carbamazepine inactivates sodium channels and inhibits N-methyl-D-aspartate receptors.
A 36-year-old woman with a history of schizophrenia comes to her physician because she thinks she may be pregnant. Her last menstrual period was 3 months ago, and she has gained 4.5 kg (10 lb) since then. On examination, there is white discharge from both nipples. A urine dipstick pregnancy test is negative.
Which of the following drugs is the most likely cause of these findings?
A) Bromocriptine
B) Bupropion
C) Fluoxetine
D) Haloperidol
E) Lithium
D) Haloperidol
In females, hyperprolactinemia manifests as galactorrhea and amenorrhea. Since prolactin secretion is inhibited by dopamine, dopamine antagonists such as antipsychotic medications can cause hyperprolactinemia.
A medical student is completing her sub-internship on a busy inpatient psychiatric service. She sees a 28-year-old man with a history of major depression and obsessive-compulsive disorder, currently hospitalized for a severe major depressive episode. The patient always has a wide variety of concerns and topics to discuss every morning during rounds. Each morning the student sits with the patient and has a lengthy conversation about how he’s feeling, treatment options, goals of care, social issues, and more. Each afternoon she is paged to talk to the patient again, who says that he is confused about what they decided and wants to hold the same lengthy discussion again. The patient is intelligent and has no primary cognitive disorder, nor is he receiving electroconvulsive therapy. The medical student is beginning to get frustrated and wonders how to mitigate this.
Which of the following is the most appropriate statement for the student to incorporate into her next meeting with the patient?
A) “I’m concerned that your memory problems may be something more severe. Do you have trouble remembering things when you are well?”
B) “Is there a reason that, by the afternoon, you are unable to remember what we discussed this morning?”
C) “Now that we’ve addressed everything, can you summarize what we talked about this morning?”
D) “What can I do to help you remember what we’ve talked about better?”
E) “Would it help you if you made a list of what we just talked about?”
C) “Now that we’ve addressed everything, can you summarize what we talked about this morning?”
The teach-back method is a useful technique for ensuring that patients understand the information given to them. Teach-back is even more powerful when combined with other simple methods such as writing things down or referring patients to other sources of information.
A 24-year-old woman is referred to a psychiatry clinic as part of her parole agreement. She has a history of legal trouble, including multiple incarcerations for robbery and assault since the age of 14. When asked why she did this, she replies, “That’s the way of the world. You can’t trust anybody. If you want something, you’ve got to take it, no matter who you hurt." She is also known to spend most of her earnings on gambling and gets easily agitated when she loses.
Which of the following comorbidities will most likely accompany this woman’s personality disorder?
Eccentricappearance,oddbeliefsormagicalthinking,interpersonalawkwardness.Includedontheschizophreniaspectrum.Pronounce“schizo-type-al”forodd-typethoughts. ClusterB Antisocial Disregar
Mustbe≥18yearsoldwithevidenceofconductdisorderonsetbeforeage15.Ifpatientis<18,diagnosisisconductdisorder. Borderline Unstablemoodandinterpersonalrelationships,fearofabandonment,impulsivity,self-mutilation,suicidality,senseofemotionalemptiness(borderline).Females>males.Splittingisamajordefensemechanism.Treatment:dialecticalbehaviortherapy. Histrionic Attention-seeking,dramaticspeechandemotionalexpression,shallowandlabileemotions,sexuallyprovocative.Mayusephysicalappearancetodrawattention(flamboyant). Narcissistic Grandiosity,senseofentitlement;lacksempathyandrequiresexcessiveadmiration;oftendemandsthe“best”andreactstocriticismwithrageand/ordefensiveness(mustbethebest).Fragileself-esteem.Oftenenviousofothers. ClusterC Avoidant Hypersensitivetorejectionandcriticism,sociallyinhibited,timid(cowardly),feelingsofinadequacy,desiresrelationshipswithothers(vsschizoid). Obsessive-compulsive Preoccupationwithorder,perfectionism,andcontrol(obsessive-compulsive);egosyntonic:behaviorconsistentwithone’sownbeliefsandattitudes(vsOCD). Dependent Excessiveneedforsupport(clingy),submissive,lowself-confidence.Patientsoftengetstuckinabusiverelationships. Related Content: (Opens in new window) (Opens in new window) 2015-2022 by McGraw-Hill Education. flag Mark for review note View Notes west Prev Next east ... Loading content_copy note_add feedback
A 20-year-old woman comes to the clinic with a severe, unilateral, throbbing headache. She has similar episodes several times each month. The headaches are associated with nausea and occasional vomiting and they do not respond to ibuprofen.
The most appropriate next step in the acute treatment of this patient’s condition includes a medication with which of the following mechanisms of action?
A) β-Adrenergic receptor antagonist
B) Blocks calcium channels
C) Blocks reuptake of norepinephrine and serotonin
D) Blocks sodium channels and increases GABA activity
E) Serotonin receptor agonist
F) Serotonin receptor antagonist
E) Serotonin receptor agonist
Migraine headaches are characterized by unilateral pulsating pain, photophobia or phonophobia (aversion to light or sound), and a preceding “aura.” The pain may last for hours and can be severe enough to induce nausea and vomiting. Triptans are 5-HT1B/1D (serotonin) receptor agonists that can be used as abortive treatment for migraine headaches. They act by inducing cerebral vasoconstriction, inhibiting trigeminal nerve activation, and preventing vasoactive peptide release.
A 26-year-old woman comes to the emergency department with a rash that developed after she began a new medication for bipolar I disorder. On physical examination, there are target-shaped erythematous papules and macules and papules with a central vesicle on the palms and mouth. She has erythematous patches with desquamation and necrosis on her trunk. Downward pressure on the patches causes more skin separation.
Which of the following medications would most likely have caused this patient’s rash?
A) Clozapine
B) Lamotrigine
C) Lithium
D) Quetiapine
E) Valproic acid
B) Lamotrigine
SJS is a serious potential adverse reaction to lamotrigine, used for treatment of bipolar disorder.
Karen is a 26 year old female with a past medical history of T2DM, hypertension and asthma who presents to her primary care physician complaining of muscle spasms in her arms. The patient has had these symptoms intermittently for the last 4 years but they are becoming more frequent. She has also noted vison changes and muscle weakness during this time period. Her symptoms tend to worsen after a hot bath. A diagnosis of multiple sclerosis is made and appropriate treatment is initiated. One month later, she is hospitalized due to personality changes, vision changes and facial drooping. What medication is most likely to be responsible for her new symptoms?
A) Levonorgestrel
B) Natalizumab
C) β-interferon
D) Corticosteroids
D) Glatiramer
B) Natalizumab
Natalizumab is an alpha-4 integrin used in the treatment of multiple sclerosis which is associated with progressive multifocal leukoencephalopathy, caused by reactivation of the JC virus. By inhibiting the immune system, this drug allows the dormant JC virus to reactivate and cause demyelination of the parietal and occipital lobes, leading to the clinical presentation of vision loss, personality changes and facial drooping.
A 33-year-old man is being treated for pancreatitis at a Veterans Affairs (VA) hospital. He is being evaluated by a medical student. He tells the medical student that he has symptoms of post-traumatic stress disorder (PTSD) that he believes are related to his combat deployments several years ago. He asks the medical student not to share this.
In addition to expressing empathy for the patient, which of the following is the most appropriate response by the medical student?
A) “As a student, I am obligated to share this with my attending physician. However, we are legally bound to keep your information private, and we don't have to discuss it further if you wish.”
B) “Everyone goes through challenges. I know I have. As a medical student, I must tell my supervising physician. However, we are required by law to keep your information confidential.”
C) “I appreciate that you had the courage to share that with me, and I will keep this in confidence if that is what you wish.”
D) “It concerns me that you are still so affected when these events happened so long ago. Have your symptoms improved over time? I have to tell my attending physician, but your privacy is protected by law.”
E) “It sounds like you witnessed terrible things on your deployment. Can you tell me more about what happened? As a medical student, I have to share this with my attending physician, but your privacy is protected by law.”
A) “As a student, I am obligated to share this with my attending physician. However, we are legally bound to keep your information private, and we don't have to discuss it further if you wish.”
In the United States, medical students are expected to communicate relevant information gathered during patient encounters to their supervising clinician. HIPAA prohibits disclosure of patient health information to anyone not directly involved in patient care.