What is the definition of oral hygiene?
A. Oral hygiene is keeping your teeth white
B. Oral hygiene is the practice of keeping your mouth clean and disease-free.
C. Oral hygiene is making sure your mouth smells like mint
B. Oral hygiene is the practice of keeping your mouth clean and disease-free.
When should you brush your teeth?
A. Only in the morning
B. Only at night
C. Morning and Night
D. ONLY right after you eat
C. Morning & Night
You should brush your teeth for 3 minutes.
False
It should be 2 minutes.
What type of flosser is this?

Water Flosser
NO!
Your gums should never bleed when you floss or brush
Using soft toothbrushes won't get the gunk out so you need to use a medium or hard toothbrush.
False!
Soft brushes will NOT hurt your enamel so ALWAYS use them.
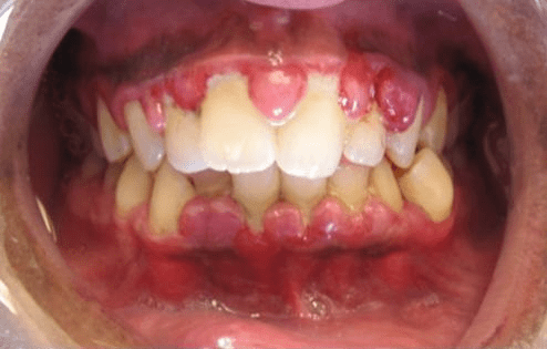
What can gingivitis look like?
Gums are:
- Infected
- Red
- Swollen
- Constant bleeding
Brushing your teeth harder makes sure your teeth are clean because you are scraping off all of the plaque.
True OR False
FALSE
Charcoal toothpaste is the best for your teeth because they brighten them and make sure all of the gunk is scrubbed off.
FALSE!
Charcoal toothpaste is the worst thing you can use as it will scrape the enamel from your teeth.
What can happen to you if you constantly chew ice?
- Chip or crack enamel
- Damage fillings
- Cause sensitivity
What type of disease is this considered?
Gingivitis
Toothpicks are a great way to get food out of your mouth if you do not have floss with you.
FALSE
Toothpicks hurt your gums
What is Periodontal Disease?
Infection in your gums and damage your jawbone.
In what order should you clean your teeth in?
1. Brush
2. Floss
3. Mouth Wash
4. Scrape your tongue
1. Floss
2. Brush
3. Scrape your tongue
4. Mouth Wash
TheraBreath is the best recommended mouthwash
TRUE