
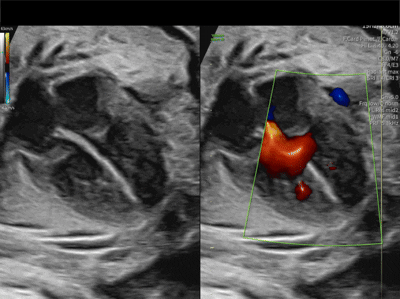
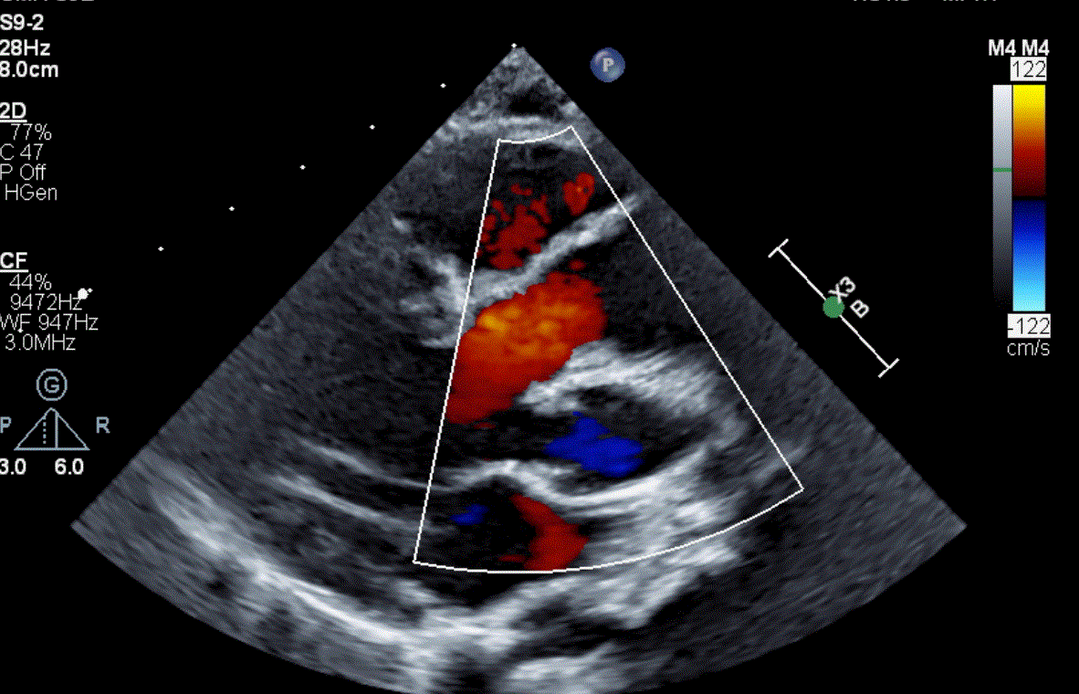
What defect is shown?
What direction is the flow?
What is a bidirectional VSD
This Medication is used to keep PDA from closing.
What is Prostaglandin

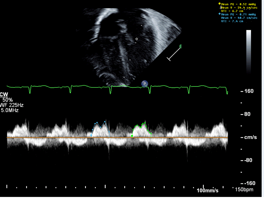
What is Wrong?
Too small, Adjust scale Difference in the two / 27%
c
Cor triatriatum sinister

What is a PDA

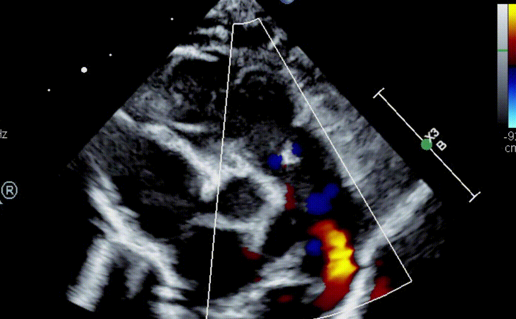
Is this Systemic or Venous return
What is Pulmonary Venous return to the LA
This medication(s) is used on neonates to promote closure of PDAs.
What are Indomethacin, ibuprofen, and acetaminophen/paracetamol.
These are all medications that can help close a PDA
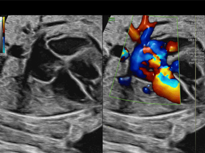
What is Wrong
Depth too shallow, need to decrease Depth so TAPSE is not running through EKG

DILV

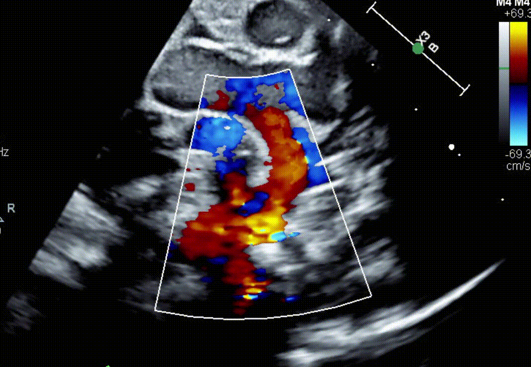
What is Supracardiac TAPVR
What is the Gender?
Male
These are the two (2) most used medications to increase function/squeeze.
What are
Epinephrine & Milrinone

What is wrong with this machine? Hint (fellows, ICU)
Cords all tangled

mirror image dextrocardia

What is an Atrial Switch
This sweep shows an easily missed defect by outside hospitals
What is DILV
We use IGG to treat this.
What is Kawasaki's Disease
Nurse:
Are you here to do the echo? OK, the baby is super cooperative, I'm going to get some breakfast"
What is leaving the bedside and not helping with the echo................

What is the Takeuchi procedure for ALCAPA repair. This procedure creates an aortopulmonary window and an intrapulmonary tunnel that baffles the LCA to the aorta


This procedure is for patients with interrupted aortic arch and or aortic artresia, a VSD, and two adequate sized ventricles.
What is a Yasui Repair
What congenital defect is shown here?
What is Absent Pulmonary Valve
This is the effect of Epoprostenol (Flolan).

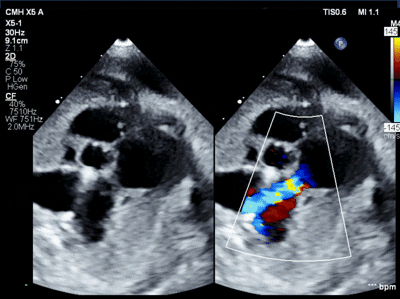
What is "Please go back and get me that 3D image"

ALCAPA


What is Vein of Galen Malformation