Quels sont les deux critères qui définissent cliniquement l'anaphylaxie ?
-Chute de PA > 30%
-Présence d'atteinte d'au moins 2 organes
Citez les 4 principaux symptomes faisant suspecter une pneumonie
-Douleur latéro-thoracique, inspiration dépendante (surtout si exsudat)
-Dyspnée
-Toux sèche
-Hyperthermie (selon l'étiologie)
(On notera aussi la présence d'une matité à la percussion, un silence ausculatoire sauf si épanchement abondant avec présence de souffle pleurétique expiratoire.
Quels sont les 4 principales étiologies de PID aiguë ?
-Infectieux
-Cardiogénique (OAP)
-SDRA
-Exacerbation d'une cause chronique
(causes plus rares : médicamenteuse, hémorragie, éosinophile, connectivites).
A partir de quel seuil de PaO2 parle-t-on d'IRC ? et d'IRC grave ?
-70 mmHg soit 9,3 kP
-60 mmHg soit 8 kP
Quels sont les 2 critères nécessaires au diagnostic de BPCO
-Symptômes respiratoires chroniques
-Obstruction permanente des VAS
Lors d'un SAHOS, à la polygraphie ventilatoire, on surveille 2 principaux types d'éléments, lesquels ?
-Sat/Flux aérien nasal (diminué)
-Mouvements thoraciques/abdominaux (maintenu)
Au restaurant, vous voyez Jeremy 9 ans soudainement passer en état de détresse respiratoire, après de brefs observations, vous notez la présence d'une dyspnée sévère, dysphonie, dysphagie et un gonflement total d'une visage de Jeremy (langue, luette, paupières, lèvres, face...), vous entendez également un stridor même sans votre stéthoscope.
Quel diagnostic posez-vous en urgence ?
Oedème de Quincke
(moitié des points si oedème non trouvé mais anaphylaxie mentionnée)
Parmi la liste de critères suivante, lesquels correspondent à un épanchement paraapneumonique compliqué :
A) Liquide citrin riche en PNN non alterés
B) Epanchement abondant
C) Epanchement cloisonné
D) Epanchement peu abondant
E) Germes présent à l'examen direct
A : liquide purulent pas citrin
Arrangé les étapes de la consultation dans le bon ordre (consultation sur toux et dyspnée d'effort, fébrile depuis 6 semaines)
a)Pose du diagnostic : tuberculose ganglionnaire
b) Fibroscopie bronchique avec LBA
c) Histoire clinique et examen
d) Elimination de la cause cardiaque
e) scanner thoracique
f) biologie sanguine
g) biopsie bronchique +/- biopsie d'adénopathies médiastinales
c-e-f-d-b-g-a
(la d doit etre placer entre l'histoire et la fibroscopie)(la b et la g peuvent potentiellement être interverties)
Parmi les mécanismes suivants, lesquels mène à une hypoxémie avec HYPOcapnie dans la majorité du temps (2 réponses) :
-Atteinte de la commande centrale
-Espace mort
-Atteinte la diffusion alvéolo-capillaire
-Effet shunt
-Insuffisance diaphragmatique
-atteinte de la diffusion et l'effet shunt (sauf si dépassement de la compensation)
-L'atteinte centrale et l'insuffisance diaphragmatique sont des étiologies d'hypoventilation alvéolaire, qui présente une hypoxémie et HYPERcapnie.
Quels sont les deux principaux diagnostics différentiels de la BPCO ?
asthme et la dilatation des bronches
Combien de cigarettes par jour pour chaque personne ?
Jessica : 2 cigarettes + 1 cigarette roulée
Josh : 3 cigarettes + 2 roulées + 1 cigarillo
Jofrey : 4 cannabis + 1 cigarillo
Anna : 4 chicha + 3 cigarettes
Jessica : 3
Josh : 11
Jofrey : 20
Anna : 0 vu qu'elle morte d'un cancer pulmonaire (163)
La dégranulation des basophiles donne une réaction ...
alors que celle des mastocytes donne une réaction ...
systémique
d'organe
Vous recez les résultats de l'analyse de la ponction pleurale de Jacob, on y retrouve protides = 32 g/L, et LDL = 387 U/L avec 2807 éléments (85% de PNN, vous n'avez pas encore reçu les résultats de l'examen micrologie.
Transsudat ou exsudat ? Et quelle étiologie probable ?
Epanchement parapneumonique.
Quelle est la différence entre une condensation alvéolaires et un verre dépoli au scanner ?
Toutes les deux des hyperdensités, le verre dépoli n'effaçe pas les contours des vaisseaux et des parois
Quels sont les 2 critères nécessaire pour établir un syndrome d'obésité-hypoventilation ?
-hypercapnie (PaCO => 45 mmHg, 6 kPA)
-obésité avec IMC => 30 kg/m2
En utilisant les classification GOLD, indiquer la sévérité de la BPCO du patient :
VEMS/CVF post BD < 70% avec VEMS = 37%
Essoufflement après quelques minutes de marche à plat
Une exacerbation dans l'année (sans hospitalisation)
GOLD 3-B car
VEMS entre 30 à 49% = GOLD 3
Essoufflement après quelques minutes = mMRC3
Une exacerbation non grave (cad sans hospitalisation) = GOLD A ou B
mMRC2 => = GOLD B
les anticorps (IgG/IgM) et donc fait intervenir le complément et la phagocytose
Quels sont les principaux médicaments responsables de réactions anaphylactiques chez l'adulte (4 réponses) ?
-antibio
-AINS
-curares
-produits de contraste iodés
Comment differencie-t-on une alectasie d'une pneumonie sur une radiothoracique ?
On regarde le coté de déviation médiastinale : vers l'opacité dans l'alectasie alors que vers la coté sain dans la pneumonie !
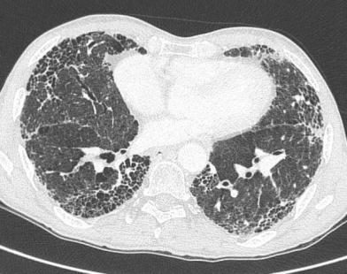
Mr Y vient en consultation pour dyspnée d'effort et toux sèche, à l'examen vous observez des râles crépitants (velcro) aux bases et l'existence d'un hippocratisme digital. Vous observez l'image suivante au scanner :
Quelle est votre principale suspicion ?
Fibrose pulmonaire idiopathique (FIP) :
-grands signes cliniques
-signes de TDM : kystes, réticulations, bronchectasies
-prédominance aux bases des signes (au TDM et les crépitants)
Ce tableau est en faveur d'un trouble ventilatoire...
restrictif :
-car VEMS/CVF normal
-CPT < 80%
Devant ces résultats, quel est le diagnostic probable :

ASTHME
Laquelle de ces causes n'est pas une source d'exacerbation d'asthme ?
-Non observance
-Embolie pulmonaire
-Infection des voies aériennes
-Pollution
-Allergie
-Soit une cause extérieure soit une insuffisance du traitement de fond
-L'embolie pulmonaire ne remplit aucun des 2 critères
Par quel prélèvement peut confirmer la nature anaphylactique d'un choc ?
Tryptase sérique
Mr Gé Malptain présente un épanchement pleural indolore, relativement bien toléré, quasi unilatéral droit.
A l'examen biochimique, on retrouve : LDL = 145 et protides = 21.
Transsudat ou exsudat et diagnostic probable ?
Transsudat.
Cirrhose
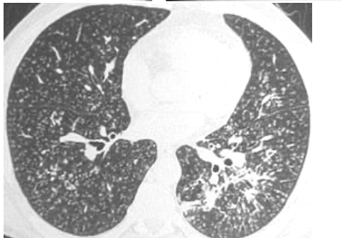
Dans cette image une ... est atteinte, ce qui est caractéristique des micronodules à distribution ...
le diagnostic probable est une ...
(grande) scissure, périlymphatique, sarcoïdose
Trouble ventilatoire obstructif, restrictif, mixte ou aucun ?
-Pneumopathies interstitielles
-Mucoviscidose
-HTP
-Asthme
-Syndrome obésité-hypoventilation
Obstructif : D
Restrictif : AE
Mixte : B
Aucun : C
Quels sont les 4 critères qui compose le l'index BODE, score composite permettant de préciser le pronostic à moyen terme de la BPCO ?
-Obstruction (VEMS)
-Dyspnea (mMRC)
-Exercice (test de marche de 6 minutes)
Face à une platypné, je pense en principal étiologie à un...
shunt
Kenny, 6 ans, 32kg, est en état de choc anaphylactique, il lui FAUT de l'adrénaline IM, quel dosage ?
BONUS : Que faire si Kenny est sous bétabloquants ?
-Enfant < 30 kg, 150 ug
-Enfant > 30 kg mais < 60 kg, 300 ug
-Adulte, enfant > 60 kg, 300 à 500 ug
Si IV : 0,05-0,1 ug/kg/min chez l'adulte, 0,1 ug/kg/min chez l'enfant
Glucagon
Devant un épanchement pleural dont on suspecte la tuberculose comme cause, quels sont 2 meilleurs examens complémentaires que l'ont peut réaliser afin de poser le diagnostic ?
Biopsies pleurales percutanées sous thoracoscopie et le dosage de l'adénosine désaminase.
(l'examen direct (BAAR), la culture, la PCR et la rechercher dans une expectoration ont un mauvais rendement mais peuvent être réalisé).
Dans quelle situation, retrouve-t-on :
-une alvéolite macrocytaire
-une alvéolite lymphocytaire (indice présence de plages de verre dépoli au scanner, détection de précipitines sériques)
-Chez le fumeur
-Devant une pneumopathie d'hypersensibilité (visiblement non fibrosante avec les plages de verre dépoli)
Quels sont les 4 manifestations des conséquences de l'IRC ?
-Polyglobulie avec hématocrite > 55%
-Rétention hydrosodée
-HTAP de groupe 3 (HTAP = > 20 mmHg et résistances > 3UW)
-IRA
Devant une exacerbation fébrile avec VEMS < 30% (patients sévères) ayant un reçu récemment une antibiothérapie large spectre, je soupçonne ?
Pseudomonas aeruginosa
Associer chaque examen complémentaire à la localisation du médiastin où il est réalisable (antérieur/moyen/postérieur) :
-Ponction trans-oesphagien par endoscopie
-Dosage de l'a-foeto-protéine et de l'HCG
-Médiastinoscopie
-Ponction transbronchique par endoscopie (EBUS)
-Ponction transpariétale
-Ponction trans-oesphagienne : postérieur
-Dosage : antérieur (recherche les tumeurs germinales).
-Médiastionoscopie et EBUS : moyen
-Ponction transpariétale : antiéreur et/ou postérieur
Parmi les cas suivants, lesuqles justifient une prescription d'adrénaline avec trousse d'urgence ?
a) Asthmatique sévère multisensible (pollens, chat chiens, acariens) ayant été hospitalisé 2 fois par asthme aigu grave.
b) Asthmatique modéré sensible au arachide
c) Présence de mastocytose chez l'adulte avec antécédent de réaction systémique
d) Suite à une anaphylaxie de grade 3
e) Suite à une anaphylaxie de grade 1
En cas d'anaphylaxie si grade 2 ou plus
En cas de mastocytose si antécédent MULTISYSTEMIQUE chez l'adulte, ou cutané sévère chez l'enfant (ou avec typtasémie basale élevée)
Si asthme sévère/modéré/non controlé ET allergie alimentaire donc
BCD
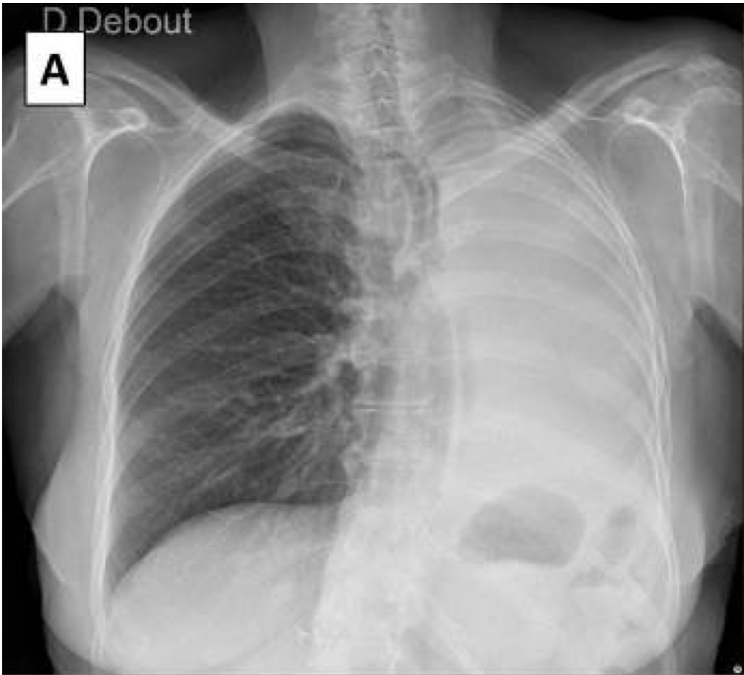
Selon cette image, quel est le diagnostic le plus probable
Alectasie, et ouais les diagnostics différentiels peuvent exister, on le voit car la déviation médiastinale est du côté de l'opacité
Etiologie ?
Indice : cette personne a de la fièvre
La fièvre oriente plutot pour une cause tuberculeuse
Quels sont les cirtères de prise en charge d'un oxygénothérapie de longue durée par l'assurance maladie si la PaO2 est comrpise entre 55 mmHg et 59 mmHg ? (3 réponses)
-Polyglobulie (hématocrite > 55%)
-Insuffisance ventriculaire droit
-Désaturation (<= 88%) nocturne
Quels sont les principales thérapeutiques à mettre en place devant une BPCO avec signes de gravité, dont entre autre un flapping trémor, une saturation basse et de la fièvre (5 réponses) ?
-ventilation assistée non invasive
-bronchodilateurs (B2 mimétiques +/- anticholinergiques) voire +/- corticothérapie
-antibiotique
-Anticoagulation à dosage préventif car principale cause de mortalité de la BPCO : accident ischémique +++
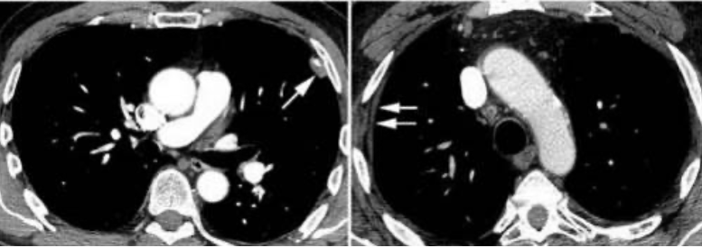
Les éléments pointés par une flèche sont ...
des plaques pleurales, apparaissant PARFOIS lors de l'exposition à l'amiante, elles ne permettent ni de poser le diagnostic ni de l'éliminer mais permettent de s'orienter