BROMANCE
MAHONEY'S BFF
ANATOMY IS KING
FIX IT OR REPLACE IT
YOU CALL THAT A SPORT
100

A 67-year-old female who sustained a proximal humerus fracture as a result of a fall goes on to develop avascular necrosis (AVN). An injury was most likely sustained to which of the following arteries labeled 1-5 in Figure A?

Posterior circumflex artery

100

What structure is 7cm from the acromion and at greatest risk of injury during a deltoid splitting approach for a proximal humerus fracture?

Axillary N. 

100

The lift-off test evaluates internal rotation of the shoulder with the hand placed behind the back.  During this test, which muscle exhibits the highest percent of maximal contraction?

Subscapularis

100

Most common nerve injury associated with proximal humerus fractures arises from the _______ cord of the brachial plexus

Axillary N. arises from Posterior cord

100

Superior placement of the baseplate during reverse shoulder arthroplasty is a known technical risk factor for which of the following complications?

Inferior scapular notching

200

This structure pierces the coracobrachialis 5-8 cm distal to the coracoid and is at risk with excessive medial retraction during anterior approach to the shoulder

Musculocutaneous N. 

200

List the 4 segments of the Neer Classification for proximal humerus fractures and what defines each segment as a part. 

1. articular surface

2. Greater tuberosity 

3. Lesser Tuberosity

4. Shaft

Considered a separate part if

  • displacement of > 1 cm (0.5 cm for GT)
  • 45° angulation
200

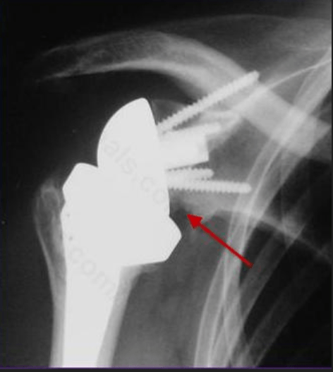
A 60-year-old woman is undergoing closed reduction and percutaneous pinning of a proximal humerus fracture. What structure is at greatest risk for injury from the pin marked by the red arrow in Figure A?

Axillary N. 

200

What is the most common complication with this mode of fixation?

Screw cut-out

screw cut-out (up to 14%) is the most common complication following fixation of 3- and 4- part proximal humeral fractures and fractures treated with locking plates

200

During placement of a locking proximal humerus plate, one must place the plate lateral to the bicipital groove and pectoralis major tendon to avoid injury to this structure


 anterior humeral circumflex artery

300

The Subscapularis creates an internal rotation deforming force on the articular segment or lesser tuberosity. The nerve that innervates this muscle arises from what cord of the brachial plexus

Subscapular N. arises from the posterior cord of the brachial plexus. 

300

List three muscles and their deforming force in a proximal humerus fracture

  • pectoralis major displaces shaft anteriorly and medially
  • supraspinatus, infraspinatus, and teres minor externally rotate greater tuberosity
  • subscapularis interally rotates articular segment or lesser tuberosity
300

When utilizing the pectoralis major tendon as a reference for restoring humeral height during shoulder hemiarthroplasty, at what level cephalad to the proximal edge of the tendon should the top of the prosthesis sit?

5.6 cm

The distance reported was 5.6 +/- 0.5 cm in 40 shoulders.

300

A 78-year old female sustained a 4-part proximal humerus fracture on her dominant side 2 days ago and undergoes a shoulder hemiarthroplasty.  Intraoperatively, the lesser tuberosity reduction was difficult and placed too close to the greater tuberosity, which was anatomic.  What post-operative problem is likely to result due to the position of the lesser tuberosity?

External rotation deficit.

Placing the lesser tuberosity in a more lateral position will increase tension on the subscapularis and likely lead to a deficit in external rotation. Variable outcomes in the prosthetic reconstruction of 4-part humerus fractures often can be attributed to inconsistent and nonanatomic tuberosity placement

300

A 68-year-old woman undergoes a hemiarthroplasty for a proximal humerus fracture through a deltopectoral approach. What range of motion exercise should not be utilized in the immediate postoperative period due to concerns about lesser tuberosity fixation?

Passive external rotation.

Frankle et al found that passive external rotation of the shoulder placed the most stress on the lesser tuberosity fixation.

400

A 72-year-old female sustains a displaced proximal humerus fracture after a fall on ice. The patient subsequently undergoes open reduction and internal fixation of her fracture. List the most accurate predictive measures of humeral head ischemia, from most accurate to least accurate

1. disrupted medial hinge  

2. humeral head angulation more than 45 degrees 

3. calcar length less than 8 mm

4. head-split fracture

calcar length less than 8 mm > disrupted medial hinge > humeral head angulation more than 45 degrees > head-split fracture 

3-1-2-4

400

Up until Jan 1, 2013, this country did not consider beer or anything under 10% alcohol content an alcoholic beverage.  

Russia

400

What is the average version of the humeral head (with respect to the transepicondylar axis)?

20-40 degrees of retroversion

400

During placement of a proximal humerus locking plate, placement of an inferomedial calcar screw(s) can prevent what post-operative complication, especially in osteoporotic bone?

varus collapse

400

Name one of two sports that have been played on the moon

1. Golf

2. Javelin 

M
e
n
u