Terms
Processing
Positions
Need to Know
Mega Volt Point
100

What does the term kVp mean?

It is the peak potential applied to the x-ray tube, which accelerates electrons from the cathode to the anode in radiography or computed tomography. Tube voltage, in turn, determines the quantity and quality of the photons generated.

100


What type of processing does not require chemicals, dipping or any hand processing techniques?





Digital

100


What view is this radiograph an example of?




Lateral Thorax

100


What information MUST be labeled on all individual radiographs? Select all that apply.



Owner name, patient name, date radiograph taken, Vet office and name, anatomically orientation

200


What does the term mAs mean?

It is a measure of radiation produced (milliamperage) over a set amount of time (seconds) via an x-ray tube. It directly influences the radiographic density, when all other factors are constant.

200


What type of processing uses a machine to automatically move the film from one chemical solution or step into the next?





Automatic

200

What view is this radiograph an example of?



VD Thorax

200


Which of the following are required PPE for radiology?



Appron/ gown, gloves/mits, thyroid sheild, goggles

300


The effect of radiation causing illness and responsible for poor health is called:




Somatic Effect

300


What type of processing requires you to move the film from one processing chemical to the next by hand?





Manual

300

What type of positioning is this?



VD



300


What is radiation protective PPE made out of?





Lead-Lined

400


What is scatter radiation?





Form of radiation produced from any substance being struck by the direct beam. (area surrounding focus beam)

400


How frequently should lead-lined radiology gowns/gloves be radiographed to ensure that they are still intact and in good condition?





Yearly

400

What type of positioning is this?



Lateral

400


What is the minimum age requirement for taking radiographs?





18

500


What is primary radiation?





The radiation that comes from the direct beam from the radiology machine.

500


What do you use to wipe down the radiology table and equipment?





ANy disinfect that the practice uses

500


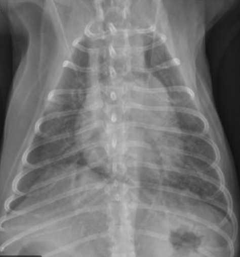
What type of positioning is this?




DV

500


In the dosimetry report, an indivudal can be exposed to a maximum of how many millirems during the course of an entire year?





5,000

500


What is the name of the badge that is used to determine radiation exposure over a period of time?




Dosimetry Badge

M
e
n
u