How many nodes in N1 vs N2 rectal cancer.
1-3 or 4+
Ingredients for FOLFOX
5-FU
Leucovorin
Oxaloplatin
There are two drawbacks to pedicled omental flaps in the pelvis, name one.
No skin coverage
Lacks bulk
Most common site of rectal cancer metastasis
Liver
This is the definition of a T4b lesion in rectal cancer.
Tumor that invades or adheres to adjacent organs.
Preoperative workup of rectal cancer includes these four things (name at least 3).
Complete colonoscopy
CEA
CT Chest, Abdomen, and Pelvis
MRI Pelvis or ERUS
Standard neo-adjuvant cocktail for advanced rectal cancer.
5-FU
EBRT
This muscle can be used as a free flap for pelvic defects.
Latissimus dorsi
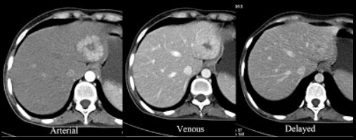
Metastases to these two organs can be treated with surgical resection.
Liver and Lung
These two modalities are used to determine clinical T stage.
MRI
ERUS
Spread through this plexus leads to spine mets in rectal cancer.
Batson's
Capecitabine is a prodrug of this.
5-FU
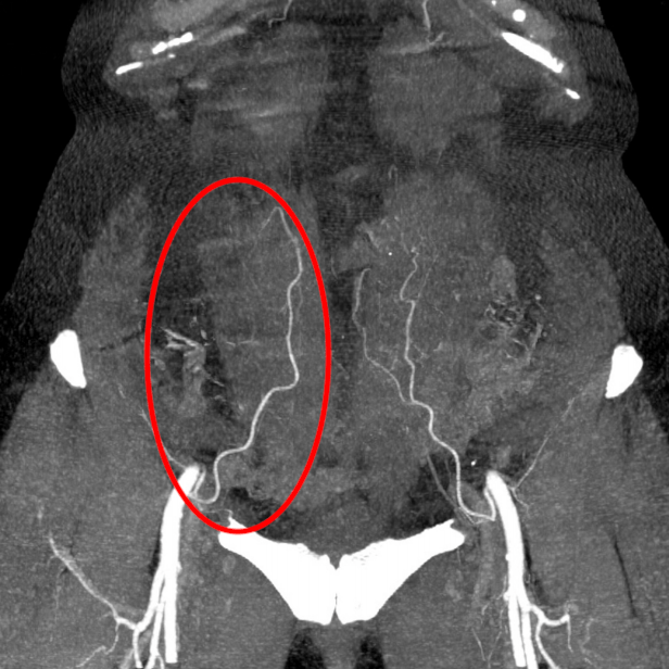
Flap supplied by this artery.

Vertical Rectus Abdominis Myocutaneous flap (VRAM)
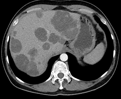
Your patient is 4 years s/p LAR and surveillance CT reveals the following. Estimated functional reserve is 20%. This is his surgical option.

Liver Transplant
This operation is used when rectal cancer (especially recurrent) invades the surrounding pelvic organs.
Pelvic exenteration
Distal margin in rectal cancer (in cm)
2
The dose of Intra-Operative Radiation Therapy
10-15 Gy
Three palliative procedures in obstructing rectal cancer. (name two)
Diversion
Fulguration
Laser ablation
Median survival after metastastectomy
55 months
Lateral recurrence often requires ligation of this vessel for RO resection.
Internal iliac.
Criteria for transanal excision, name at least 4.
<30% circumference
<3cm
>3mm margin
Mobile, nonfixed
T1 lesion
Can locally recurrent rectal cancer be treated with additional radiation?
Yes
(Double or nothing if you know the dose)
The blood supply for this muscle.

Medial circumflex artery
Patient presents with rectal mass. Pelvic MRI shows the mass invading the muscularis propria, with two suspicious mesorectal lymph nodes. Below is from the staging CT. What stage is her disease?

IIIA
Transection of the sacrum below this level generally limits GU morbidity.
S3