Graft Infections
Aortic Dissection
Famous Knife Wielders
Thoracic Outlet Syndrome
Celebrity Gossip
100

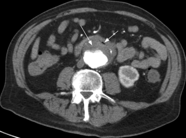
GI bleeding and the following CT scan confirm this diagnosis.


What is aorto-enteric fistula?

100

This is the target SBP and HR goal for optimal medical management of a type B aortic dissection.

What is SBP <120 and HR < 60?

100

Dr. Juan Perodi is credited with first describing this technique in 1990, which has now become the most common approach for treatment of abdominal aortic aneurysms.

What is endovascular aortic aneurysm repair (EVAR)?

100

This subtype of TOS is the only subtype 2 times more common in men than in women (the other two subtypes are 70:30 female:male).

What is venous TOS (or Paget-Schroetter)?

100

Former New York Mets pitcher Matt Harvey prematurely ended his 2017 season for surgery to correct this condition.

What is thoracic outlet syndrome?

200

This section of the GI tract is the most common site for aortoenteric fistulas to develop.

What is duodenum (3rd or 4th segment)?

200

This technology (pictured here) is a useful tool in treatment of aortic dissection.

What is intravascular ultrasound (IVUS)?

200

This author of Mastering the Art of French Cooking donated her kitchen to the Smithsonian National Museum of American History upon her death in 2004.

Who is Julia Child?

200

Of the thoracic outlet structures (1) brachial plexus, (2) subclavian artery, and (3) subclavian vein, this one does NOT traverse the interscalene triangle.

What is the subclavian vein?

200

US President Franklin D. Roosevelt died of stroke while in office.  If he had lived in modern times, in addition to smoking cessation, he would have been advised to take these two medications daily to slow progression of carotid disease?

What are aspirin and statin?

300

This muscle may be rotated lateral-to-medial into a groin wound to provide tissue coverage over the femoral vessels, often used after prosthetic graft when there is concern for the potential of infection from the skin.

What is sartorius?

300

In 90% of descending thoracic aortic aneurysms, this lumen is the larger of the two.

What is the false lumen?

300

Dr. Rudolph Nissen was one of many surgeons of his era who surgically treated abdominal aortic aneurysms by wrapping the aneurysm in this material.

What is cellophane?

300

During TOS surgery, caution must be taken to avoid injury to the phrenic nerve, which typically runs lateral to medial on the anterior surface of this muscle.

What is the anterior scalene?

300

Albert Einstein died of ruptured AAA in 1955.  If he lived in modern times, he would have been offered elective aneurysm repair at this AAA size threshold (cm).

What is 5.5cm?

400

This is the overall percent incidence of aortic endograft infection.

What is 0.1 - 1.2%?

400

The Stanford classification of the dissection pictured here:

What is Type A?

400

This convicted serial murderer, put to death by electric chair in 1989, confessed to killing 30 victims between 1974 and 1978.

Who is Ted Bundy?

400

In venous TOS, the subclavian vein is typically compressed in this anatomical location.

What is the costoclavicular space?

400

Tom Hanks suffers from this disease, which (counter-intuitively) is found to be protective against development of, and rupture of, AAA.

What is type 2 diabetes?

500

This procedure includes harvest of deep femoral veins for replacement of infected aortobifemoral bypass.

What is NAIS (neo-aortoiliac system)?

500

Of the four visceral branch vessels (celiac, SMA, left renal, right renal), this is the most common to emanate from the false lumen in type B aortic dissection.

What is the left renal?

500

This surgeon first used Dacron grafts for abdominal aortic aneurysm repair (sewing the first grafts on his wife's sewing machine)?

Who is Dr. Michael DeBakey?

500

This technique can both temporarily relieve symptoms of neurogenic TOS and predict successful alleviation of symptoms after surgical decompression?

What is scalene muscle block?

500

Comedian Lucille Ball had surgery for an acute type A aortic dissection in 1989.  If she presented with the same complaint today, and the ED called vascular surgery for emergent consult, this additional surgical service should immediately be involved in her care.

What is cardiac surgery?

M
e
n
u