What is a neutrophil?
The functional unit of muscle contraction.
What is the sarcomere?
The functional unit in nervous tissue
What is a neuron?
The functional unit in bone tissue
What is an osteon?
Fibers made of type III collagen
What are reticular fibers?
What is hemoglobin?
What is striated skeletal muscle?
Functionally, the nervous system can be divided into the sympathetic and_______________ systems.
What is parasympathetic?
Bone cell in charge of bone resorption
This fundamental tissue is known for being avascular and having cell polarization
What is epithelium?
IMAGE CHALLENGE! This type of leukocyte contains anti-helminth granules.

IMAGE CHALLENGE! Classify the tissue in the image:

What is striated cardiac muscle?
These cells produce the myelin sheath in the peripheral nervous system?
What is a Schwann cell?
Main organic component in the bone extracellular matrix
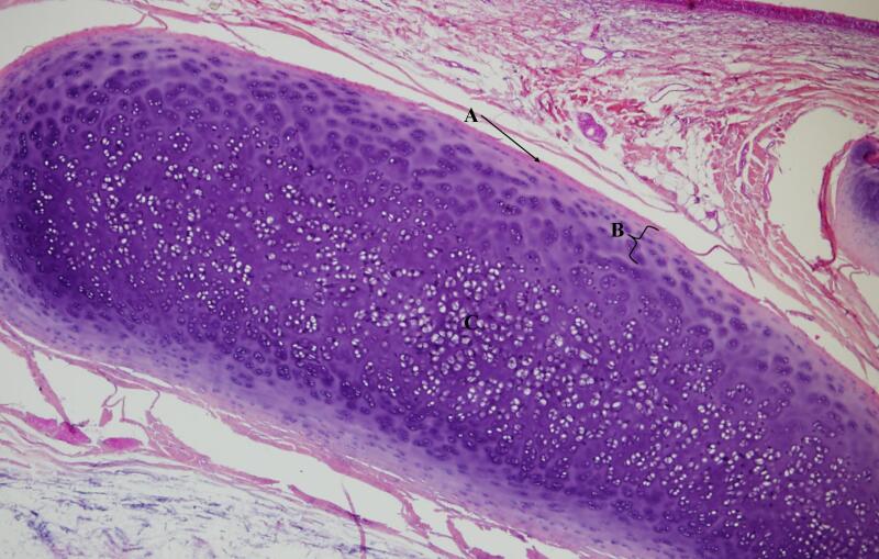
IMAGE CHALLENGE: Classify the tissue

What is hyalin cartilage?
What are platelets?
What is acetylcholine?
IMAGE CHALLENGE!
Identify the following organ:

What is the cerebellum?
IMAGE CHALLENGE!
Classify the following tissue:

What is spongy bone?
Protein structures that create a barrier between cells in epithelial and endothelial tissues, acting like a seal to prevent the uncontrolled passage of ions and molecules.
What are tight junctions?
A non-protein, non-amino acid molecule that is tightly bound to a protein and is essential for its function (like iron).
The site which stores calcium in the muscle cell for contraction purposes
What is the sarcoplasmic reticulum?
This support cell makes up part of the blood brain barrier and can be classfied as fibrous or protoplasmic
What is an astrocyte?
This transcription factor is the master switch for mesenchymal cells to differentiate into bone-forming cells
What is RUNX-2?
A number describing the amount of light coming from the focus that the objective can collect, and is directly related to the final resolution in the Image Formation
What is numerical aperture?