What mutation is frequently seen in cases of VRL? What percentage of the time?
BONUS: Which interleukins are frequently tested in a vitreous biopsy / diagnostic vitrectomy?
BONUS BONUS: What would you expect for the results in each scenario?
MYD88 in 62-88% of cases
BONUS: IL-6 and IL-10
BONUS BONUS: IL-6 increased in inflammatory uveitis. IL-10 increased in cases of lymphoma
A 2-year-old baby boy with congenital rubella undergoes CEIOL OU for white cataracts. Five days after surgery, lil buddy has photophobia, injection, and pain. What is most likely the cause?
BONUS: What are the other findings associated with congenital rubella affecting the eyes (+100 each)?
Release of live viral particles sequestered
"Live virus particles may be recovered from the lens as late as 3 years after the patient’s birth."
BONUS:
- Glaucoma
- Corneal clouding
- Diffuse pigmentary retinopathy
- Microphthalmia
What dis? Why dis?

BONUS: What configuration is shown below? What is this seen with?

Mittendorf dot from remnant of tunica vasculosa lentis
BONUS: Rosette configuration. Traumatic cataract.
Where are erect Y-sutures found in the lens? What about inverted Y-sutures?
BONUS: What dis?

Y-suture appears anteriorly and an inverted Y-suture appears posteriorly
BONUS: Cerulean
Lord of the Rings Fast Facts (+100 each):
- "You've already had breakfast" response?
- Who dis?

- What quote comes with this meme?

What unfortunate actor plays this character? Name? Fate?

- "What about second breakfast?"
- Balrog
- "Yeah, why can't we have some meats?"
- Sean Bean. Boromir. Dies in every movie/ TV show he's in
62-year-old female is referred by Beau Swann. He's been giving STK and q2h PF for 1 year for posterior and intermediate uveitis with intermittent improvement. Most recently administered STK two weeks prior. Exam shows several creamy, yellow subretinal lesions as well as dense vitreous haze. You suspect possible vitreoretinal lymphoma and plan for a diagnostic vitrectomy (s/o masquerade category).
What considerations should be made for the timing of the vitrectomy?
BONUS: Phew! Sure looked lymphomatous in there IMO. Results come back negative for lymphoma cells a week later. Best next step in management?
BONUS BONUS: *Pending answer* Phew! Sure am glad you did that! What's the next best step in management NOW?
Stop steroids 2-4 weeks prior to diagnostic vitrectomy to increase diagnostic yield.
BONUS: Repeat vitreous biopsy and/or consider biopsy of a subretinal lesion/ collecting sub-RPE material. Up to 1/3 of vitreous biopsies may be FALSE NEGATIVE.
BONUS BONUS: MRI Brain, LP with cytology (1/3 of suspected VRL reveals lymphoma cells), and heme/onc consult
What is this classic finding visible through a dilated pupil?

BONUS: What is this finding specifically called? How does it occur? How does this affect surgical management? (+200 each)


Elongated ciliary processes seen in anterior PFV.
BONUS: Prior blunt trauma possibly affecting the lens. Vossius ring. Ring of pigment from the pupillary tuft imprinted onto the lens from trauma. Watch for zonular instability.
Symptoms you'd expect based on the cataract and the title of this column (+100 each up to 400)?

BONUS: What is the official, scientific name for this finding?
BONUS BONUS: What are these crystals composed of if it's NOT found in myotonic dystrophy? What if myotonic dystrophy?
- CAN'T LET GO OF YOUR HAND
- Ptosis
- Temporal wasting, balding
- Gonad stuff
BONUS: Polychromatic crystalline cataract
BONUS BONUS: Cholesterol vs plasmalemma
When selecting an IOL, do you change your target refraction based upon the lens power? If so, how would your target refraction differ between a lens for a high hyperope lens (+32.0 D) vs a lens for a high myope (+8.0 D)?
BONUS: What is the Rule of 9s in cataract surgery? Could you ballpark the exact numbers?
Dr. Lee Email:
- Dose-dependent curve. The higher the extreme, the more target refraction changes.
- High myopes tend towards hyperopic surprise with low-power IOLs. Aim for -0.5 up to -1.0 target refraction
- High hyperopes tend towards myopic surprise with high-power IOLs. Aim for plano or first plus.
BONUS: Rule of 9s dictates change in IOL power for a sulcus IOL.

PHILOSOPHY:
Suppose there is a ship that crosses the sea often. Due to regular maintenance, some of the planks are replaced after each journey. This continues to occur over the years. As the old planks of the preserved ship are swapped for new ones, it's eventually realized that none of the original wood remained. What is this famous ship called?
BONUS (+400): Now suppose neuroscience is able to implant a silicone chip that replaces the function of a group of damaged neurons. No change in consciousness is noticed. Due to multiple strokes, more and more silicone chips are required. Still no change in consciousness. Eventually, the whole brain is silicone. Is it the same person still? Why or why not?
Ship of Theseus
BONUS:
- Hard question
- Intuition goes against identity from physical continuity: If personal identity is tied to physical existence of the original biological brain matter, then the "original you" ceased to exist at some point during the replacement process.
- Psychological Continuity: If identity is determined by psychological factors like memories, personality, and an unbroken stream of consciousness, then the individual would still be "you," as these elements were preserved and transferred seamlessly to the new substrate.
- Brain transplants, severe dementia, etc, however question psychological continuity
- Significant minimal dualism - C Stephen Evans
Vitreoretinal Lymphoma HARD HITTING ?s (+100 each)
- Percentage of pts with pre-existing CNS lymphoma that go on to develop VRL (within 2%)?
- Percentage of pts with pre-existing VRL that go on to develop CNS lymphoma (within 2%)?
- FAF appearance?
- Classic presentation when presenting to tertiary facility?
- Common confounding diagnoses?
- CNS lymphoma --> VRL = 25%
- VRL --> CNS lymphoma = 66%
- FAF - stippled, granular hyper- and hypoautofluorescence

- Presentation: intermediate/ posterior uveitis --> receives steroids --> improvement --> relapse over and over. Non-infectious. 2-3% of tertiary referrals
- Birdshot, sarcoidosis (creamy-colored lesions)
Following the prepping and draping for cataract surgery, the ophthalmologist applies topical 4% lidocaine, but the patient repeatedly squeezes his eye, which dislodges the lid speculum entirely.
The surgeon then undrapes the patient and performs a local anesthetic block of the terminal branches of the facial nerve, inserting the needle 1 cm inferior and lateral to the lateral canthus. What is the name of this procedure?
A. Nadbath-Ellis procedure
B. O'Brien procedure
C. Van Lint procedure
D. Atkinson procedure
C. Van Lint procedure

Van Lint = on terminal branches just temporal to the lateral canthus.
Nadbath-Ellis = CN VII trunk as it exits the stylomastoid foramen between the mastoid process and the posterior border of the mandibular ramus.
O'Brien = CN VII just anterior to the tragus at the condyloid process of the mandible.
Atkinson = temporofacial branch of CN VII by anesthetizing a path from the inferior border of the zygoma, passing superiorly across the zygomatic arch toward the top of the ear.
Diagnosis on a test?

BONUS (+100 each):
- Inheritance?
- What dis?
Wilson disease - Sunflower cataract
BONUS:
- Autosomal recessive
- Kayser Fleischer ring
PPV, especially with gas, is strongly associated with what TYPE of cataract formation? What percentage of eyes? What time frame?
BONUS: Histology of glaucomflecken?
Nuclear sclerotic cataract in 80-100% of eyes within 2 years
BONUS: Necrotic lens epithelial cells
FILM/ THEOLOGY
Please provide at least one example of the Gospel story/ message from Beauty and the Beast (+300 each up to 1200 points)
- The Fall - transformed into the Beast. All fall short of the glory of God.
- Substitutionary Self-Sacrifice - Belle takes the place of her dad as a prisoner. Beast letting Belle go tend to her father when he's sick.
- Love's Transformative Power - "'Beauty and the Beast' tells us there's a love that can break us out of the beastliness that we have created for ourselves." - Tim Keller
- Breaking the Curse - Beast transforming back into Prince. 2 Corinthians 5:17 - "Therefore, if anyone is in Christ, he is a new creation."

What is the most commonly administered chemotherapy regimen in patients with VRL who have concomitant PCNSL?
BONUS: What is the prognosis of patient's with PCNSL (giving stats increases point total)?
High-dose methotrexate + rituximab
BONUS: Poor prognosis. Life expectancy below:
- Supportive care alone = 2-3 months
- Longest median survival WITH treatment = 40 months
- 5-year survival rate with Rx = 60%
What is the timeframe of cataract development in patients exposed to IONIZING RADIATION?
BONUS: Between younger and older patients, which is more susceptible to ionizing radiation's effects on cataracts? Why?
Years (up to 20) prior to cataract development
NOTE: lens is extremely sensitive to ionizing radiation; however, up to 20 years may pass after exposure before a cataract becomes clinically apparent. At such a point, how can you know to blame the radiation?
BONUS: Younger patients. More rapidly dividing cells growing at a faster rate.
As a child, this patient presented with vomiting, seizures, diarrhea, jaundice and bilateral congenital cataracts. After treatment, the cataract cleared and CEIOL was not required. What was the likely diagnosis?

BONUS: What type of cataract is shown in the image?
BONUS BONUS: Most common enzymatic defect?
Galactosemia
BONUS: Oil droplet cataract
BONUS BONUS: Galactose-1-phosphate uridyltransferase deficiency in classic galactosemia
What is the precise SRK formula?
BONUS: Even if you can't give the exact formula, what are the big takeaways from the variables?
P = A - (2.5*L) - 0.9*K
P = Average lens power for emmetropia (D)
A = A-constant
L = axial length (mm)
K = average keratometric reading (D)
BONUS: Differences in axial length make a much more substantial difference in the overall lens power compared to average Ks. Thus, the need for A-scans if inconsistent AL (looking at you, Stacy Ann Grooms)
LITERATURE:
Which book won the 1947 Pulitzer Prize? HINT: Written by Robert Penn Warren. HINT: details the charismatic-yet-corrupt, populist, fictional Governor Willie Stark.
BONUS (+800): Which real-life figure was the book based on? Details?
All the King's Men --- 5 Stars, loving it rn
Huey P. Long - Gov'nuh and Senatuh from Louisiana in the 1920s and 1930s.
- Very big government guy (lots of highways, healthcare, etc) -- thought FDR's New Deal was weak sauce
- Big fan of strong-arming legislators. "Political Boss" of LA.
- Big wealth re-distribution fan
- Assassinated before Presidential Bid in 1936
![]()
77-year-old males presents with progressive vision loss OU. Fundus exam reveals the following: 
- Diagnosis? What type of syndrome?
- What would histology reveal for these lesions?
- Classic retinal findings not pictured above?
BONUS:
72-year-old patient (not giving it away that easily) presents with decreased vision in the right eye. You ask your scribe to work through a review of systems checklist, and the patient has a number of pertinent positives.

- Diagnosis?
- Most likely cause if the patient is a woman?
- Most likely cause if the patient is a man?
PS - use the questions as hints
- Diagnosis: Benign Diffuse Uveal Melanocytic Proliferation (BDUMP) - a paraneoplastic syndrome
- Histo: benign nevoid or spindle-shaped cells
- Classic retina: exudative RD
BONUS:
- Diagnosis: choroidal metastatic cancer
- Male: Lung cancer-
- Female: breast cancer
What is the triad of hyperlisinemia?
BONUS: What profession might this patient have? Why?

- Ectopia lentis
- Cognitive impairment
- Muscular hypotony
BONUS:
- Glassblower - exposure to intense heat --> outer layers of capsule PEEL OFF
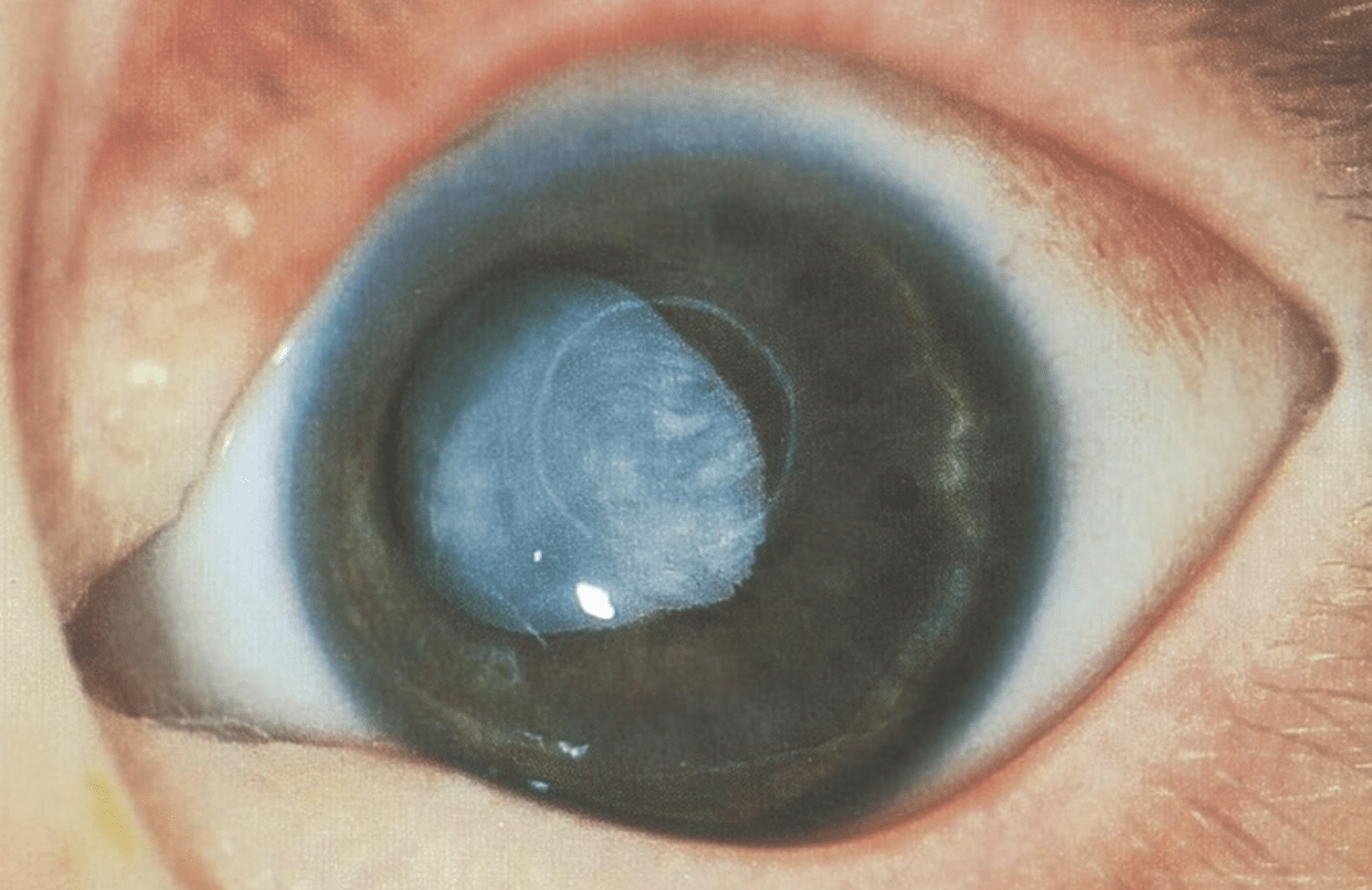
Pathophysiology of this form of cataract?

BONUS: Syndromes associated with this cataract?
BONUS BONUS (+200): What percentage of post-op results miss their refractive target by up to 0.50 D? What percentage miss their target by up to 1.0 D?
Lens proteins are resorbed and the anterior and posterior capsule fuse.
BONUS:
- Lowe syndrome (oculocerebrorenal syndrome)
- Hallerman-Streiff syndrome
BONUS BONUS:
- Up to 20-30% miss by 0.5 D. ~5% miss by up to 1.0 D
What characterizes the vacuum, aspiration rate, and phacoemulsification settings (continuous or pulse/ burst) used for the following steps:
- SCULPT
- CHOP
- QUADRANT REMOVAL
- Sculpt: Low vacuum, low aspiration, continuous phaco
- Chop: High vacuum, low aspiration rate, burst phaco
- Quadrant: High vacuum, high aspiration, pulse phaco
Sculpting needs controlled, minimal fluid movement, whereas quadrant removal benefits from strong fluidic force (high flow/vacuum) to capture and remove pieces safely and quickly.
HISTORY/ FEMALE STRENGTH DEMONSTRATED
Name this QUEEN who paved the way for our bonus lady?

BONUS: Name this Queen who paved the way for Thaonhi, Olivia, Clara, and Emily?

Bertha "Dang-It" McDavitt, MD
BONUS: Alice "Too-Fierce" McPherson