Invasion of the external sphincter denotes this stage of rectal cancer.
What is stage 4?
This patient is at increased risk of this nonTCC type of bladder cancer.

What is squamous cell cancer?
This is the part of the liver that is referred to as segment 1.
What is the caudate lobe?

The Bosniak classification of this lesion:

What is Bosniak category II?
Caveat if larger than 3 cm, get MRI.
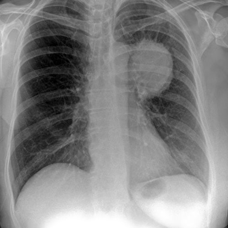
You see this x ray and then recommend this further imaging:

What is chest imaging? Hypertrophic Pulmonary Osteoarthropathy

Mural calcifications clinch this diagnosis in a patient with RLQ pain.

What is a mucocele?
Aunt Beverly had a CT recently and tells you that she was diagnosed with this gallbladder problem. She says she isn't worried because she said it sounded like something she bought at a home store.
What is a porcelain gallbladder?

This is the definition of threshold growth according to LI-RADS.
What is greater or equal to 50% in less than or equal to 6 months?
Subthreshold growth:
• New > 10 mm in < 24 months
• > 100 % size increase > 6 months
A "lying down" adrenal gland is associated with this congenital abnormality.
What is renal agenesis?

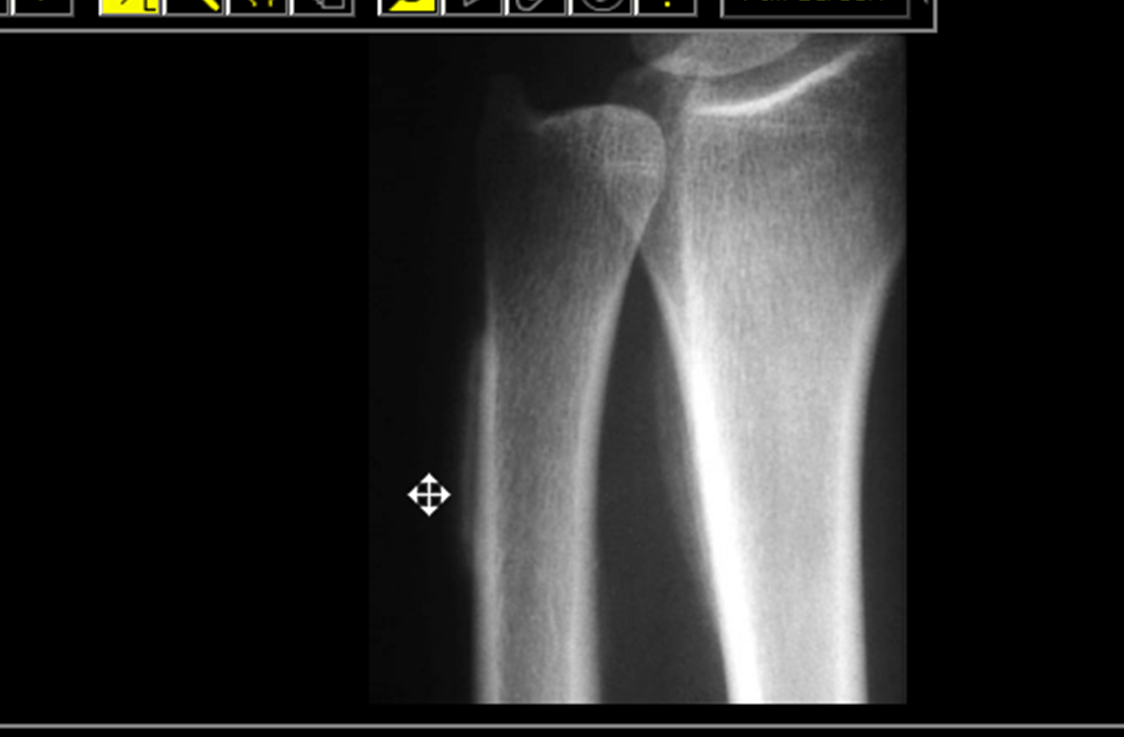
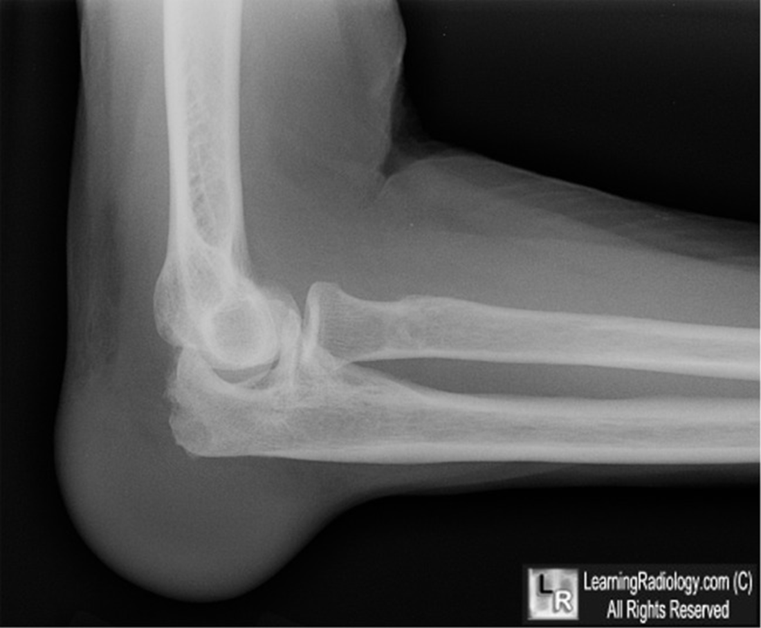
This patient with history of drinking moonshine presents with elbow pain.

What is gout? Olecranon bursitis with erosions.

Crohn's disease patient complains of bilateral hip pain.

What is avascular necrosis?
This German physician perhaps would have preferred that these outpouchings in the bladder had his name first and not following Rokitansky.

Who is Karl Aschoff?
This subtype of hepatic adenomas is at the highest risk of malignant transformation.
What is beta-catenin mutated hepatic adenoma?
58 year old woman with this condition should stop taking these medicines.

What are NSAIDs?
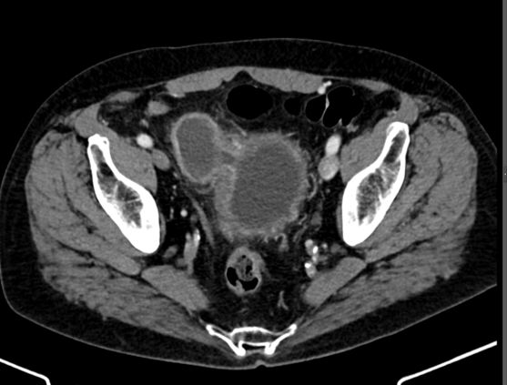
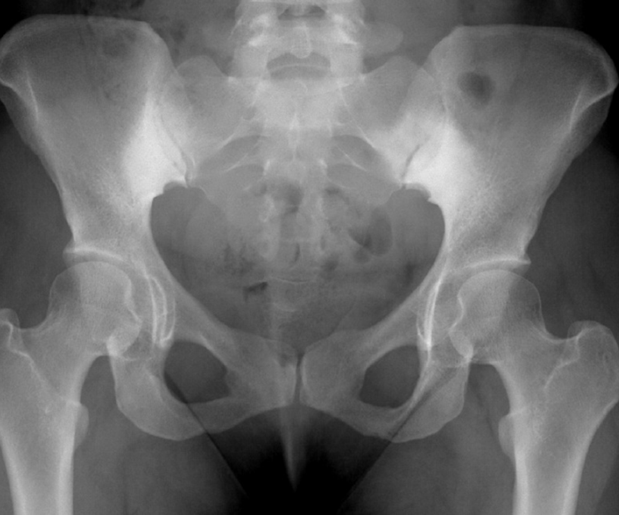
This condition was seen in this recently postpartum 28 year old woman who has pelvic pain.

What is osteitis condensans ilii?
This patient most likely has what specific bowel disease?

What is ulcerative colitis?
70% of PSC have IBD. 87% are UC.
Name this diagnosis:

What is emphysematous cholecystitis?
This subtype of hepatic adenomas is at highest risk of hemorrhage.
What is inflammatory hepatic adenoma?
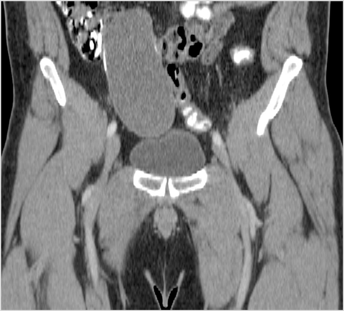
Reversal of flow in a transplant renal artery is worrisome for this complication.
What is renal vein thrombosis?

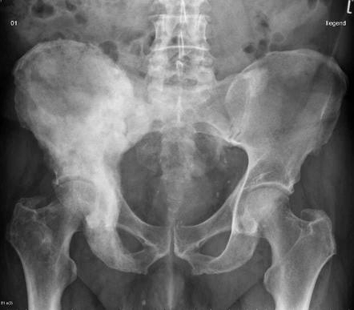
65 year old with h/o prostate cancer complains of hip pain.

What is Paget's disease?
This surgery was first done in 1979 and has since been refined in modern day:

What is a duodenal switch? Biliopancreatic diversion

This 50 year old man has this specific type of cancer.

What is adenocarcinoma?
90% urachal cancers are adeno.
This 60 year old with a liver tumor had this infection as a younger man.

What is a liver fluke?
Clonorchis sinensis, Opisthorchis viverrini
A 65 year old male with a history of a renal transplant was told to get screening of this kind of cancer. Hint: not renal.
What is skin cancer? Especially non-melonoma cancers.
Patient with this disease complains of back pain. His wife complains that his ears are blue.

What is ochronosis?
