This organelle adds carbohydrates like N-glycans, O-glycans, and sialic acids to synthesized proteins.
Golgi Apparatus
The chromosomes are held by mitotic spindles,
which are made up of this cytoskeleton.
Microtubules
This protein is an anti-apoptotic factor that controls the process of cell death.
Bcl-2 (Burkitt cell lymphoma-2)
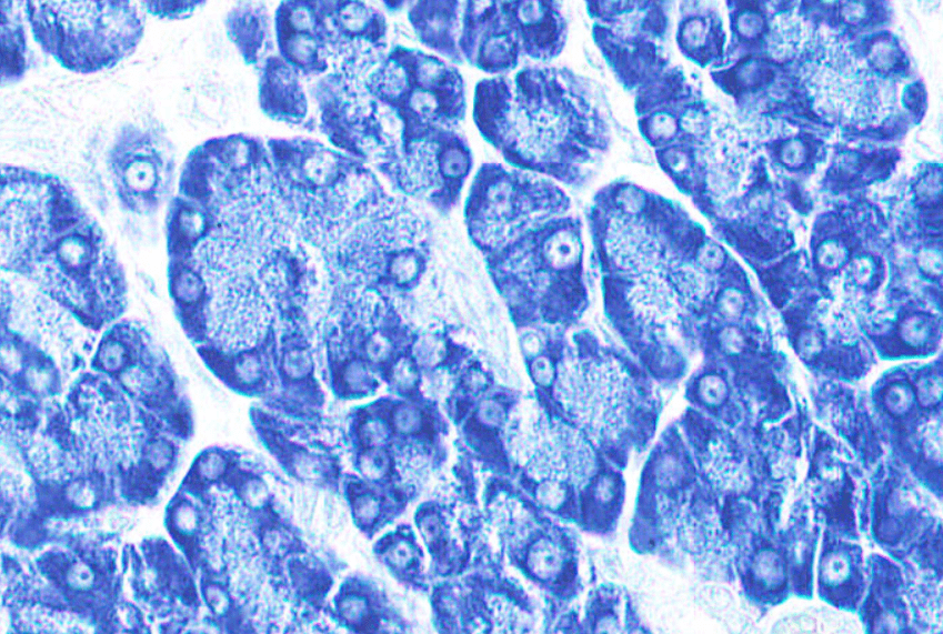
This dye binds to RNA-rich regions of the cell such as ribosomes, nucleoli and rough endoplasmic reticulum. 
Toluidine Blue
The complete lining epithelium of the esophagus.

Stratified squamous non-keratinized epithelium
This part of the mitochondria is the site of the "Electrochemical Dam" or Electron Transport Chain that pumps hydrogen ion as the electron passes through its complexes.
Intermembrane space
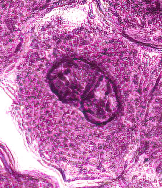
The cell being focused on is in this stage of mitosis.

Early Anaphase
This mitochondrial protein that is involved in the Electron Transport chain stimulates the intrinsic pathway of cell death.
Cytochrome c
This stain detects polysaccharide staining glycogen. Different intensity is based on the presence of carbohydrates. 
Periodic-Acid Schiff
The body system where the epithelial lining below can be seen.

Respiratory System
The brush borders are made up of this cytoskeleton.
Microfilaments
During cytokinesis, this vital process is also known as nuclear division. 
Karyokinesis
This process happens when the nuclei shrink and become more basophilic. 
Pyknosis
To get this photo of RBCs and surrounding structures, they should be bombarded by these metals.

gold or palladium
The sample below belongs to this type of tissue.

Connective Tissue
This organelle is made up of condensed microtubules and absent in cardiac cells.
Centrioles
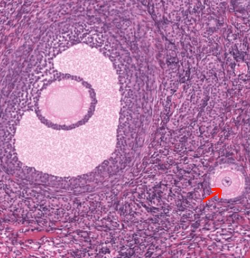
The cell that is being pointed with the red arrow has this number of chromosomes. 
23 chromosomes
The process being pointed out occurs due to the dysfunction of this protein.

Na+/K+ ATP-ase Pumps
This image of uric acid crystals can be obtained using this microscopy.

Polarizing microscopy
This intercellular connection makes up the focused, unique part of this muscle.

Gap junctions
The ultrastructure that is labeled "N" is responsible for the production of this organelle.

Ribosome
After the last division of the cell being pointed, it will produce _______ number of living cells. 
One/1
This type of necrosis is characterized by the loss of cellular components, leaving "eosinophilic tombstones." 
Coagulative Necrosis
In using immunohistochemistry to detect the presence of HER2 neu, the antibody targets this protein of the breast cancer.

Receptor Tyrosine Kinase
These glial cells produce the Cerebrospinal fluid.

Ependymal cells