The Bacterial Cell
Eukaryotic Cell Structure
Plasma Membrane
Cell Cycle and Mitosis
100

Bacteria reproduce by this process

What is binary fission?

100

This process takes molecules into the cell

What is endocytosis?

100

The tail of a phospholipid is hydro-----

What is hyrophobic?

100

In this phase of mitosis, the chromatin begins to condense into visible chromosomes and the nuclear membrane begins to break down

What is prophase?

200

This is the process in which a virus moves DNA from one live bacteria to another

What is transduction?

200

The cell wall is only found in this type of eukaryotic cell

What is a plant cell?

200

The plasma membrane is referred to as the ________________ model

What is the "fluid mosaic" model?

200

A haploid egg and a haploid sperm join to form a ___________

What is a diploid cell?

300

The function this bacterial appendage is to act like a fishing rod- when it attaches to a recipient cell, it draws the two bacteria together

What is a pilus?

300

This organelle is important for carrying out hydrolysis reactions

What is a lysosome?

300

This is the movement of water molecules across the membrane from an area of high water concentration to an area of lower water concentration

What is osmosis?

300

This process involves the splitting of the cell into two cells after mitosis

What is cytokinesis?

400

Bacterial DNA is located in this region

What is the nucleoid region?

400

Animal cells have many small versions of this organelle, while plant cells have one large one

What is a vacuole?

400

This type of transport requires energy in the form of ATP

What is active transport?

400

Each chromosome has two identical parts called sister _____________

What are chromatids?

500

The formation of these is one way in which bacteria respond to extreme conditions

What are endospores?

500

This is used by a cell for shape and movement. It is made up of microtubules, actin filaments, and intermediate filaments

What is the cytoskeleton?
500

A solution that pulls water towards is is known as hypotonic or hypertonic

What is hypertonic?

500

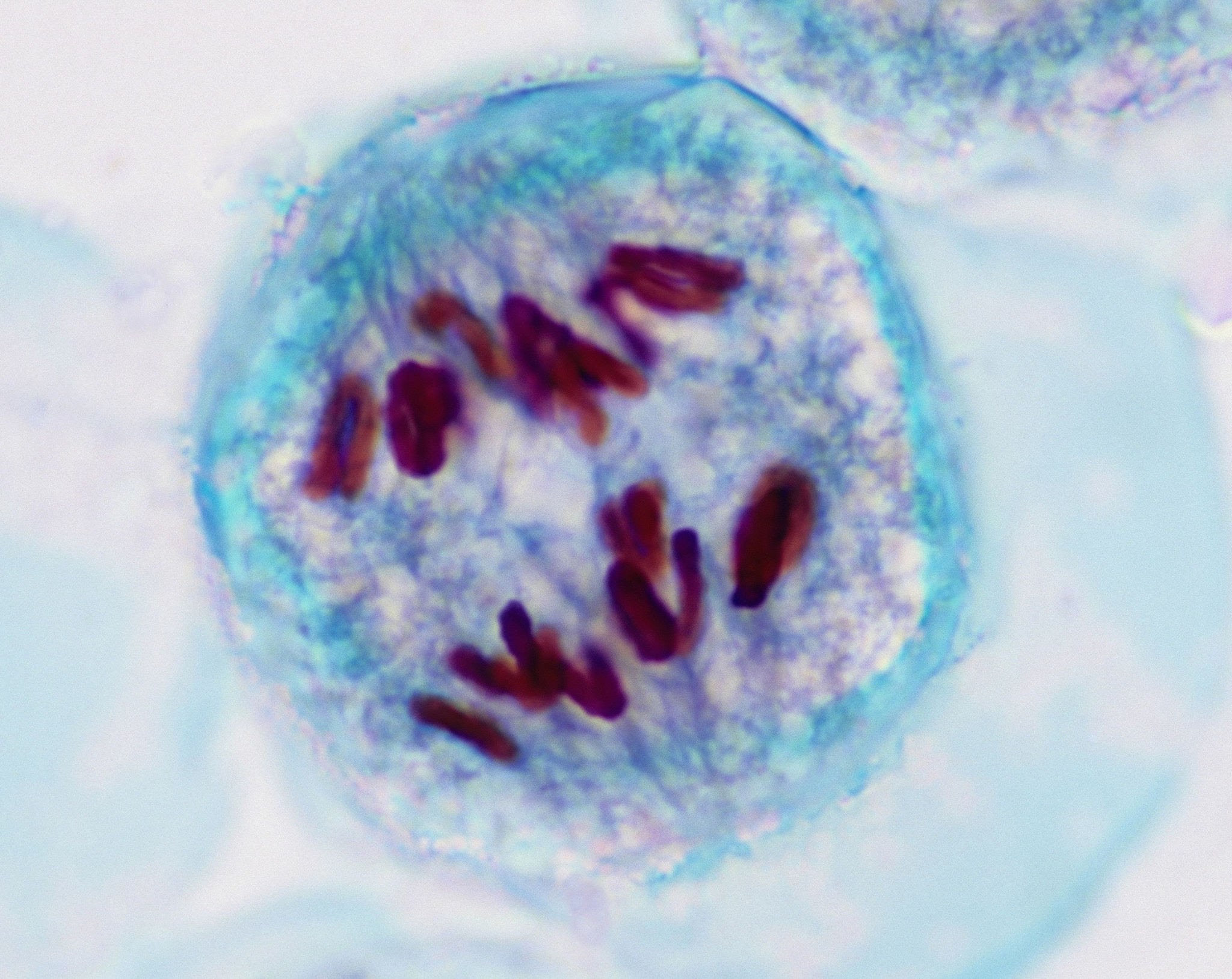
Name the stage of mitosis


What is anaphase?