Name some medications commonly used off-label for psychiatric purposes.
What is -----?
I'll take al the AEDs, gabapentin, amantadine, dopaminergic agents, etc.
Anticoagulated patient with sudden onset of confusion and right hemiparesis.

What is an intraventricular hemorrhage?
This will produce a hypodopaminergic state when used chronically:
A. Heroin
B. Phencyclidine (PCP)
C. Alcohol
D. Amphetamines
E. Cocaine
What is E?
Cocaine blocks dopamine reuptake from the synaptic cleft, leading to increased levels of dopamine. When chronically used, this disturbance of normal dopamine metabolism leads to depletion of dopamine. Cocaine has also been shown to be associated with decreased levels of cerebral blood flow. Patients recovering from cocaine addiction show a drop in neuronal activity and a decreased activity of dopamine, which can persist for up to a year and a half after stopping the drug
A 25-year-old man is brought to see you because of a change in personality following a boating accident. He fell off of his boat and landed head first on the dock. He was previously friendly, happy, and high-functioning. Now his speech is pressured and his mood is labile. He has been irresponsible at work and has been fired from his job. His memory is intact. He damaged this brain area:
A. Temporal lobe
B. Occipital lobe
C. Basal ganglia
D. Substantia nigra
E. Frontal lobe
What is E?
The frontal lobes are the seat of executive functioning. They also play a large role in the personality. Damage to the orbitofrontal region can cause disinhibition, irritability, mood lability, euphoria, lack of remorse, poor judgment, and distractibility. Damage to the dorsolateral frontal regions leads to extensive executive functioning deficits. Damage to the medial frontal region leads to an apathy syndrome.
The number of sauce varieties the Heinz company falsely bragged about having in an early ad campaign.
You are called to consult on an agitated patient in the medical unit. The patient is elderly and confused and is pulling out her lines. You decide that she must be tranquilized for her own safety. This medication would be the best choice:
A. Lorazepam
B. Lithium
C. Diazepam
D. Aripiprazole
E. Haloperidol
What is E?
The best choice for tranquilizing agitated patients is haloperidol. Given that the patient in question is elderly, starting with a small dose of haloperidol would be appropriate. Benzodiazepines should be avoided in cases of suspected delirium, which, based on the question stem, is a concern for this patient. Hence answer choices A and C are out. A benzodiazepine given to a delirious patient can worsen the delirium and further disinhibit the patient making him or her more agitated. In general one should use great caution in giving benzodiazepines to the elderly, and when used, they should be given in small doses. Aripiprazole, an atypical antipsychotic, comes only in oral form, which would probably be unfeasible in an acutely agitated patient. Other atypical antipsychotic drugs that come in intramuscular injectable form, such as olanzapine or ziprasidone, would be appropriate choices. Lithium is not standardly used to tranquilize patients. It is a mood stabilizer used in the treatment of bipolar disorder and can be administered only orally.


What is the substantia nigra?
This is a specific inhibitor of monoamine oxidase type B:
A. Moclobemide
B. Phenelzine
C. Tranylcypromine
D. Selegiline
E. Befloxatone
What is D?
Whereas some MAOIs work on both MAO-A and MAO-B, selegiline works solely on MAO-B. MAO-A is involved in the metabolism of serotonin and norepinephrine. MAO-B is involved in the metabolism of phenylethylamine. Both are involved in the metabolism of dopamine. MAO-A in the gastrointestinal tract is involved in the metabolism of tyramine. If you block these enzymes, tyramine is not broken down, which can lead to hypertensive crisis.
*it works on MAO-A at higher doses.

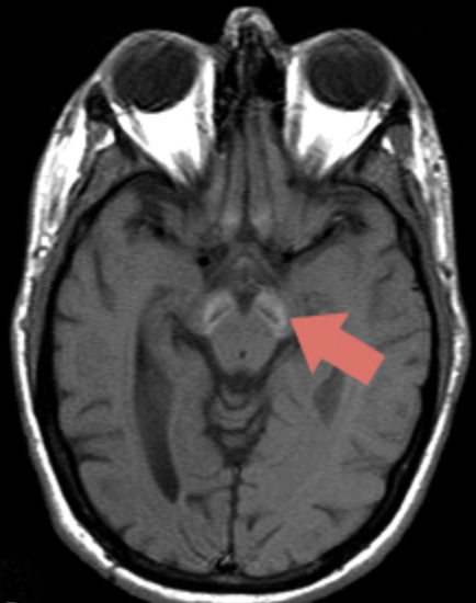
T2-weighted MRI brain imaging of a patient reveals the scan pictured adjacent. The patient is a 36-year-old woman who presented to the emergency room with recurrent episodes of unilateral arm and leg weakness and numbness with gait instability. The treatment of first choice in this case would be:
A. Intravenous ceftriaxone administration
B. Intravenous immunoglobulin therapy
C. Plasmapheresis
D. Sublingual aspirin and intravenous heparin therapy
E. Intravenous corticosteroid therapy
F. Ice cold showers
What is E?
The clinical picture and scan are classic for MS. The MRI scan reveals numerous subcortical white matter demyelinating lesions that are typical of MS. The lesions would be expected to enhance with gadolinium contrast early on during an attack and enhancement can persist up to 8 weeks following an acute attack. The treatment of an acute attack is generally with intravenous corticosteroids for 3 to 7 days. This may or may not be followed with a 1- to 2-week oral prednisone taper. Antibiotics such as ceftriaxone have no place in MS. Intravenous immunoglobulin therapy and plasmapheresis are treatments for MG and Guillain–Barré syndrome and not for MS. Aspirin and heparin therapies are generally instituted in the emergency room setting for acute ischemic stroke when recombinant tissue plasminogen activator cannot be given.
The modern day country where vanilla was first cultivated.
What is Mexico?
A 20-year-old man becomes terrified when he has to speak in front of a group, but denies having any other symptoms. This initial drug treatment would be most appropriate:
A. Sertraline
B. Red Bull
C. Alprazolam
D. Propranolol
E. Hydroxyzine
What is D?
#17 --
What is the optic chiasm?
1. decussation, superior cerebellar peduncle
3. optic tract
4. mamillary body
5. interpeduncular cistern
7. ambient cistern
8. cerebral peduncle
10. inferior colliculus
11. insular cortex
17. optic chiasma
18. middle cerebral artery
23. ethmoidal cells
26. lateral cistern

This medication is a potent cytochrome P450 inhibitor and can dangerously increase levels of lamotrigine in patients:
A. Phenytoin
B. Diazepam
C. Valproate
D. Phenobarbital
E. Gabapentin
What is C?
Valproate is the classic inhibitor of cytochrome P450 3A4, which causes inhibition of enzymatic clearance of lamotrigine. Doses of lamotrigine need to be lowered and generally started at lower doses when administered concomitantly with valproic acid, to avoid lamotrigine toxicity. The other agents noted in this question do not inhibit cytochrome P450 3A4 in this fashion.
A patient with lesions in the orbitofrontal region of the brain will present as:
A. Profane, irritable, and irresponsible
B. Manic
C. Depressed
D. Apathetic
E. Psychotic
F. Having all the skills of a spider
What is A?
Orbitofrontal lobe lesions cause patients to appear profane, irritable, and irresponsible. When presented with cases that involve personality changes, one should suspect pathology in the frontal lobes. Also, deficits in executive functioning usually involve the frontal lobes. Medial frontal lesions cause apathy, characterized by limited spontaneous movement, gesture, and speech. Left frontal lesions can cause depression. Right frontal lobe lesions can cause mania.
This country produces the largest amount of cheese annually.
What is the United States?
"According to the Wisconsin Milk Marketing Board, the U.S. leads the world in cheese production at 11.1 billion pounds, followed by Germany at 4.81 billion, France at 4.27 billion, and Italy at 2.55 billion. The leading state in the U.S. for cheese production is Wisconsin."
Of the following, this is not a contraindication to bupropion:
A. Seizure
B. Anorexia
C. Use of an MAOI in the past 14days
D. Head trauma
E. Hypertension
What is E?
Seizure, anorexia, head trauma, and use of a MAOI in the past 14days are all contraindications to using bupropion. Bupropion can lower the seizure threshold. One does not want to use this medication in a situation where the seizure threshold may already be lowered, or a seizure focus is present. The medication can also cause weight loss, so use in those who are under-weight is not a good idea. It can also lead to increased rates of seizures in patients with eating disorders. Although it can increase blood pressure in some patients, it does not cause hypertensive crises by itself and is not contraindicated in patients with high blood pressure. Hypertension is a strong concern when using venlafaxine because of its ability to potentiate hypertensive crisis. Bupropion is also used for smoking cessation. Waiting for 14days when switching to or from an MAOI is a hard-and-fast rule to prevent a hypertensive crisis. Bupropion is not associated with sexual side effects in the way that the selective serotonin reuptake inhibitors are.

What is the splenium of the corpus callosum?
This medication is contraindicated in conjunction with therapy with levodopa/carbidopa in Parkinson’s disease patients:
A. Amitriptyline
B. Fluoxetine
C. Gabapentin
D. Tranylcypromine
E. Sertraline
What is D?
The MAO-A type inhibitors are contraindicated with levodopa/carbidopa repletion therapy. MAOIs are postsynaptic enzymatic metabolizers of dopamine. Concomitant use of MAO-A type inhibitors and levodopa/ carbidopa can result in poor response to the levodopa repletion therapy and worsening of parkinsonian symptoms. MAOIs need to be discontinued 2weeks prior to the initiation of levodopa repletion therapy to avoid a negative interaction. The antidepressants in the SSRI class (fluoxetine and sertraline, among others) are not contraindicated with levodopa repletion therapy. TCAs are also safe with levodopa repletion, as is gabapentin
A 47-year-old man presents to the emergency room in an acute state of disorientation, with tachycardia, ophthalmoparesis, diaphoresis, and ataxia. He dies in the hospital 48hours later. Brain autopsy of this patient would reveal:
A. Frontal and temporal lobe atrophy
B. Substantia nigra depigmentation
C. Hemorrhages in the ependyma of the third ventricle and superior vermis
D. Diffuse Lewy bodies in cortex
E. Subcortical white matter lesions perpendicular to the ventricles
F. Brain chock full of parasite eggs
What is C?
The clinical picture presented is that of Wernicke’s encephalopathy. Classically seen in alcoholics, the clinical triad is that of mental confusion, ophthalmoplegia, and gait ataxia. The usual brain autopsy finding is that of microhemorrhages in the periventricular gray matter, particularly around the aqueduct and third and fourth ventricles. Frontal and temporal lobe atrophy is consistent with Pick’s dementia. Parkinson’s disease would result in depigmentation of the pars compacta of the substantia nigra in the midbrain. Diffuse Lewy bodies can be seen in both Parkinson’s disease and Alzheimer’s disease. Subcortical white matter lesions perpendicular to the ventricles (also called Dawson’s fingers) are consistent with a demyelinating disease such as multiple sclerosis.
The most expensive spice.
What is saffron?
Stigmas of the Crocus sativus.
"The most expensive spice on earth by weight is saffron. It is so expensive that if you buy a pound of it, it will make a dent in your pocket worth $5000. This high price is due to the fact that it is very complicated to grow and harvest, and involves picking up and separating individual flowers."

Antidepressant blood levels are clinically most useful with this following agent:
A. Duloxetine
B. Fluoxetine
C. Amantadine
D. Venlafaxine
E. Desipramine
What is E?
TCA levels are semi-useful in treatment and very useful in toxicity. Levels for the other antidepressants are not regularly taken. Amantadine is not an antidepressant, per se.
![]()
What is the cingulate gyrus?
:max_bytes(150000):strip_icc()/cingulate-gyrus-and-the-limbic-system-4078935_final-9c926d0f48c54e3392c09ca5e6cb2951.png)
The cytochrome P450 subenzyme system inhibited by fluoxetine that would specifically increase tricyclic antidepressant levels is:
A. CYP 2C9/10.
B. CYP 1A2.
C. CYP 3A3/4.
D. CYP 2D6.
E. CYP 1A19.
F. Birds aren't real. They are government drones.
What is D?
This symptom is not part of the classical stroke condition known as Gerstmann’s syndrome:
A. Acalculia
B. Right and left confusion
C. Finger agnosia
D. Alexia without agraphia
E. Pure agraphia
What is D?
Alexia without agraphia is seen with lesions involving the splenium of the corpus callosum. Gerstmann’s syndrome usually involves left parietal lobe damage. The clinical picture is the classic tetrad of acalculia, agraphia (without alexia), right and left confusion, and finger agnosia (the inability to name the thumb, index, middle, ring, and pinky fingers when called upon to do so). The lesion in Gerstmann’s syndrome localizes to the left angular gyrus.
Italian bread loaf whose name means "slipper".

What is ciabatta?