Diagnosis
Clinical features
Images
Imaging
Treatment
100

This is the hallmark CSF finding of meningitis

What is elevated WBC

100

This organism carries the highest mortality amongst bacterial causes of meningitis

What is Streptococcus pneumoniae

100

Your diagnosis in HIV positive patient with CD4 count 20, with 3 week H/O headache, no neck stiffness, CSF WBC 6, CSF opening pressure 39



What is Cryptococcal meningitis

100

Most likely etiologic agent in a patient with fever, seizures and altered mental status

What is Herpes simplex virus

100

Treatment duration for Listeria meningitis

What is 21 days

200

The three commonly used classes of medications that can cause aseptic meningitis

What are NSAIDs, Sulfa antibiotics and beta-lactams

200

This bacterial infection, with highest incidence in Hawaii, has a biphasic pattern and can present with aseptic meningitis, severe hepatic and renal dysfunction 

What is Leptospirosis

200

IDSA guideline treatment options for this patient from Upstate NY with aseptic meningitis and rash


What are: iv Ceftriaxone, Cefotaxime, penicillin or oral doxycycline


200

Antibiotic regimen of choice for this 42 year old female with dental caries admitted with 2 week H/O headache


What is ceftriaxone and metronidazole

200

This antibiotic has been associated with "shake" and "bake"

What is Amphotericin B

300

Bacterial organism causing meningitis that grows best at 4 degrees C

What is Listeria monocytogenes

300

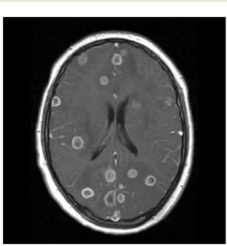
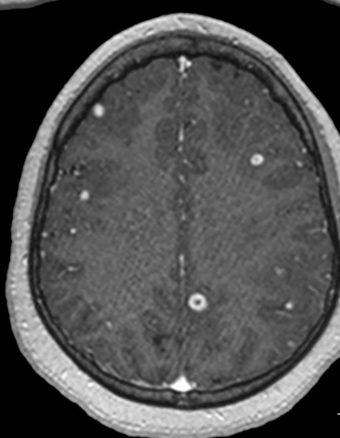
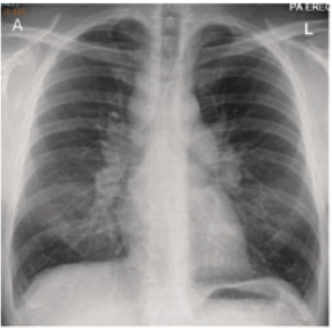
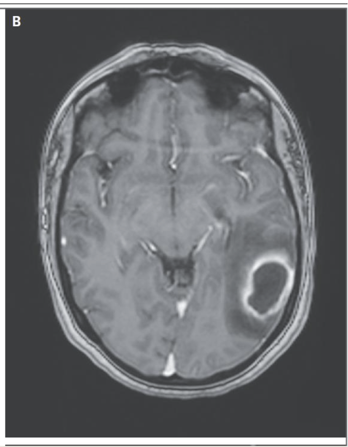
Bacterial infection that can present as subacute purulent skin lesions, lung masses, brain masses, especially in immunocompromised patients


What is Nocardia



300

The commonest cause of this condition which can also cause meningitis


What is Herpes Simplex virus

300

The commonest cause of this infection



What is Staph aureus

300

This commonly used antibiotic for bacterial meningitis can lead to development of biliary sludge

What is Ceftriaxone

400

Three viral meningitides associated with low glucose in the CSF

What are LCM, Mumps, Adenovirus

400

Tick borne infection that can present with fever and meningitis, with highest per capita incidence rate in Oklahoma

What is Rocky Mountain Spotted Fever

400

Illness with fever, rash and rarely meningitis, also known as breakbone fever


What is Dengue 

400

Likely diagnosis in this patient from Honduras with CSF lymphocytic pleocytosis, low glucose, elevated protein and neg MTB PCR


What is Tuberculosis


400

Per European guidelines, number of hours from receiving antibiotics in bacterial meningitis that steroids can still be used

What is 4 hours

500

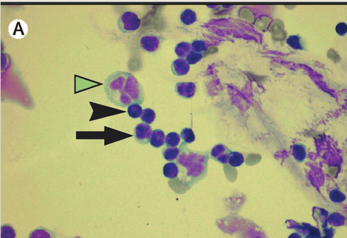
Name of the large atypical appearing cells seen in the CSF in recurrent lymphocytic meningitis caused by HSV


What are Mollaret's cells



500

Diagnosis in Hispanic construction worker living in California for the past 10 years admitted with a 2 week H/O headache, fever, altered mental status

What is Balamuthia mandrillaris

500

This genus used to be implicated in empyema necessitans can also cause brain abscesses



What is Actinomyces

500

This systemic condition can cause a meningitis with CSF hypoglycorrachia and eosinophilia


What is Sarcoidosis 

500

WHO first line treatment for Cryptococcal meningitis

What is Liposomal Ampho B 10 mg/kg x 1, high dose oral fluconazole plus flucytosine