What are the four states of matter?
Solid, Liquid, Gas, Plasma
Name the notable finding in this imaging study:

Absent gallbladder signal - blockage of cystic duct

Biliary Disorders - MIDGUT #5 12/5/2025
List two health conditions which disproportionally impact immigrant populations
SGR Elias Castro 12/15/2025
In what country will the next Winter Olympics take place?
Italy (Milano-Cortina 2026)
Cerebral edema
Seizure
DVT/PE - occurs in up to 22% of pt w/ GBM
How many bones are in the adult human body?
206
What is the likely source of fever in a patient with the following FDG-PET scan

Approach to fever with Dr. Arikala 12/18/2025
How was obesity re-defined in the 2025 Lancet Commission on Obesity?
No obesity, preclinical obesity, and clinical obesity.
DOM GR 12/16/2025
What did Frosty the Snowman say when he came to life?
"Happy Birthday!"

What is considered a dilated common bile duct in a patient who still has their gallbladder?
6-7 mm
MIDGUT 12/5/2025
Name a noble gas on the periodic table

Helium, Neon, Argon, Krypton, Xenon, Radon
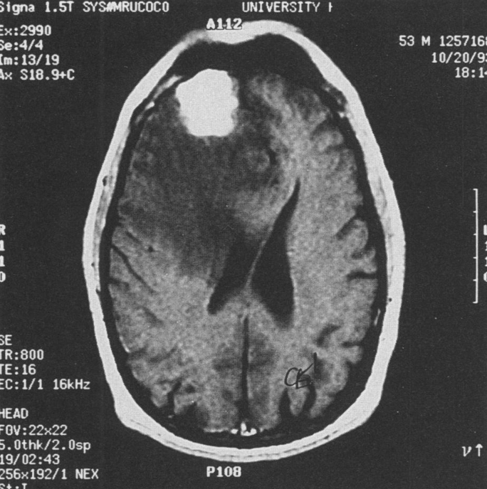
Name the structure


What are the two types of rejection in heart transplant patients?
Cellular rejection & Antibody-mediated rejection
SGR Rand Ibrahim 12/4/2025
In what ocean is Christmas Island located?
Indian Ocean

What is the most common primary malignant brain tumor in adults?
Glioblastoma
Monthly Onc Conference Dr. Donovan 12/17/2025
Name the planets in order

A patient presents with shortness of breath and anemia, found to have the following findings on CT chest. What are you concerned about?

Diffuse alveolar hemorrhage - peripheral sparing
Navarette Case Conference 12/1/2025 - Hydralazine induced ANCA Vasculitis
An 80 y/o male with PMHx of ESRD on HD, chronic AFib (rate controlled on Metoprolol), admitted for volume overload after missing HD. HDS. Admission EKG shows rate controlled afib. Electrolytes are normal.
True or false: This patient requires continuous inpatient telemetry monitoring.
False
Permanent, rate controlled afib & ESRD on HD are considered Class III risk stratification, therefore cardiac monitoring NOT indicated.
Telemetry with Dr. Khasnavis 12/8/2025
What is the best-selling Christmas single of all time?
"White Christmas" by Bing Crosby

Name three medications which can cause fever
Antimicrobials (beta lactams, vanc, fluoroquinolones)
Anticonvulsants (phenytoin, carbamazepine)
Antipsychotics
Chemotherapy agents
What is the least common blood type?
How may a patient present with the following imaging findings:

Personality, mood, or behavioral changes (anterior frontal lobe tumors)
Monthly Onc Conference Dr. Donovan 12/17/2025
In clinical trials, what was the body weight percentage lost in patients on tirzepatide?
15-20% weight lost
DOM GR 12/16/2025
Name a country which experiences polar night
Norway, Sweden, Finland, Russia, Canada, Greenland, the US
Countries within the Arctic Circle
![]()
Name 3/5 top medical diagnoses for admission to the Med-Psych unit at Grady.
Encephalopathy
Seizures
AKI
Anemia
Rhabdomyolysis
DOM GR - MPU 12/2/2025