This itchy rash often develops in children and is associated with asthma or allergies.

What is eczema (atopic dermatitis)?
A tiny, soft skin growth usually found on the neck or armpits.
What is a skin tag? (Benign)
A common over-the-counter topical used to reduce acne-causing bacteria and inflammation.
What is Benzoyl peroxide?
This nighttime skincare product is known for increasing sun sensitivity and must be paired with SPF.
What is a retinoid?
What area of the body has the thickest skin?
What are palms of the hands, soles of the feet?
A common chronic rash that often appears on the elbows and knees, with red scaly patches.

What is psoriasis?
A dark brown or black freckle that has been present for many years without changes. (Use medical term for freckle!)
What is a benign lentigo? (Benign)
A cream or shampoo often prescribed for dandruff and fungal skin infections.
What is ketoconazole?
This exfoliating acid went viral on TikTok for being applied to underarms and scalp.
What is glycolic acid?
Which area of the body has the thinnest skin?
What are eyelids & testicles?
A contagious skin infection that produces yellow crusts, usually around the nose or mouth in kids.

What is impetigo?
A rapidly enlarging, firm nodule on sun-exposed skin in an older adult.
What is squamous cell carcinoma? (Concerning)
An oral antibiotic commonly prescribed for moderate to severe acne
What is Doxycycline?
The Trader Joe’s Daily Facial Sunscreen (image) is commonly considered a dupe of which pricier sunscreen?

What is Supergoop Unseen Sunscreen?
How long does it take to grow your hair one inch?
What is 2 months?
A fungal infection that creates a round, red rash with clearer skin in the center.

What is ringworm (tinea corporis)?
A mole that has irregular color, asymmetry, and bleeding.
What is melanoma? (Very concerning)
A popular topical exfoliant derived from beta-hydroxy acid, often found in cleansers.
What is Salicylic acid?
Dermatologists caution against mixing retinoids with this product due to irritation risk
What is an exfoliating acid (AHA/BHA)?
Botulinum toxin, the neurotoxin in Botox, is produced by the bacteria Clostridium botulinum. This bacteria can be found in which foods?
What are contaminated canned/preserved goods?
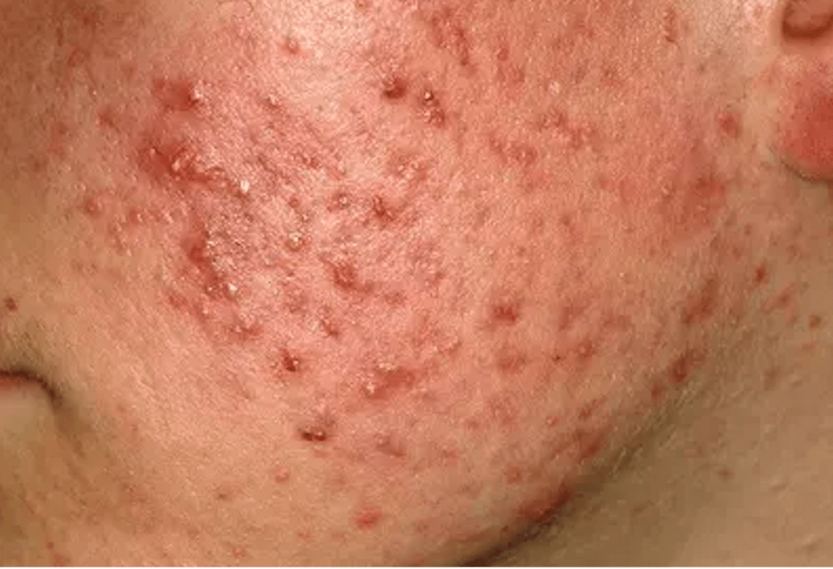
This chronic inflammatory acne affects hair follicles and oil glands, causing nodules or cysts.
What is cystic/nodulocystic acne?
A small, shiny bump on sun-exposed skin that may bleed but rarely spreads.
What is basal cell carcinoma? (Concerning)
A prescription steroid cream used for severe eczema or psoriasis.
What is Betamethazone?
This dermatologist became famous on TLC and social media as “Dr. Pimple Popper,” known for treating cysts and lipomas.
Who is Dr. Sandra Lee?
The two most common areas of the body for melanomas to be found?
What is the back and posterior lower leg (calf)?