Class of anti-hypertensives recommended for treatment of scleroderma renal crisis.
What are ACE Inhibitors
Polyarteritis nodosa is most commonly associated with this viral infection.
What is Hepatitis B
This syndrome is characterized by neutropenia, splenomegaly, and rheumatoid arthritis.
What is Felty syndrome.

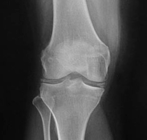
The inflammatory arthritis seen on this knee film.
What is CPPD (or pseudogout)
"You hear that Mr. Anderson?... That is the sound of inevitability. That is the sound of your death. "
What is The Matrix.
Sclerodactyly above THIS level distinguishes diffuse cutaneous systemic sclerosis (from the limited form).
What is elbow or knee.
This is the mechanism of action for avacopan.
What is complement 5a receptor antagonist
This is the number of the B-vitamin which is often given in addition to methotrexate
What is 9.
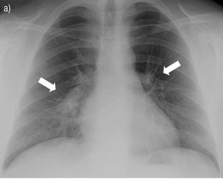
The rheumatologic diagnosis most often responsible for the findings shown by the arrow.
What is Sarcoidosis.
"I see dead people."
What is The Sixth Sense.
This is the mechanism of action for nintendanib.
What is tyrosine kinase inhibitor.
This syndrome is associated with the development of relapsing polychondritis in elderly males with myelodysplastic syndrome.
What is VEXAS syndrome
This syndrome, characterized by peripheral pulmonary nodules, develops in miners with rheumatoid arthritis.
What is Caplan Syndrome
The radiologic diagnosis.
What is DISH
"Show me the money!"
What is Jerry Maguire.
Patients who were enrolled in the SCOT trial had severe SSc symptoms for THIS many years or less?
What is 5 years.
This syndrome consists of variable vessel vasculitis, nonsyphilitic interstitial keratitis, and audiovestibular symptoms
What is Cogan Syndrome.
This medication is FDA approved for the treatment of both non-radiographic axial spondyloarthritis and Crohn's disease but NOT ulcerative colitis.
What is Certolizumab.
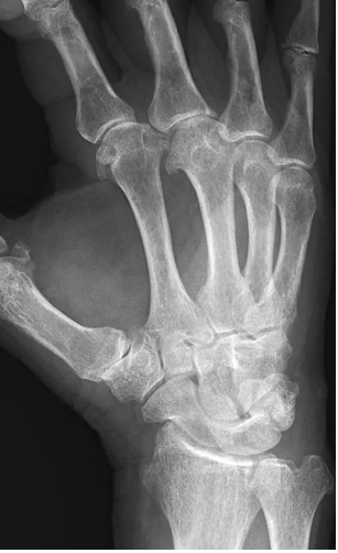
The genetic condition that most commonly causes these findings.

What is Hemochromatosis.
"They call it Royale with Cheese."
What is Pulp Fiction.
This syndrome causes slowly progressive deterioration of tissue on one half of the face, and can have neurologic complications including seizures, trigeminal neuralgia, and meningitis.
What is Parry-Romberg syndrome.
ANCAs in cocaine-induced midline destructive lesions most commonly target this enzyme.
What is Human Neutrophil Elastase.
This monoclonal antibody targets IL17A, IL17F, and IL17AF.
The condition that causes this finding:

Reticular, lacy pattern of destruction.
What is sarcoidosis (or sarcoid arthropathy).
"Come with me if you want to live"
What is Terminator 2: Judgment Day.