A 75-year-old man is brought to the ED with neck pain, upper extremity weakness, and urinary retention. The patient tripped and fell earlier today while climbing the stairs. On examination, he is noted to have 3/5 strength in the upper extremities and 4/5 strength in the lower extremities. He reports decreased sensation in the arms and legs. What is the most likely diagnosis?
Central Cord Syndrome
An 18-year-old softball player is struck in the face with a softball. CT scan shows a fracture of the infraorbital floor. She has numbness over the anteromedial cheek and upper lip. Which of the following nerves is likely to be affected?
Infraorbital nerve

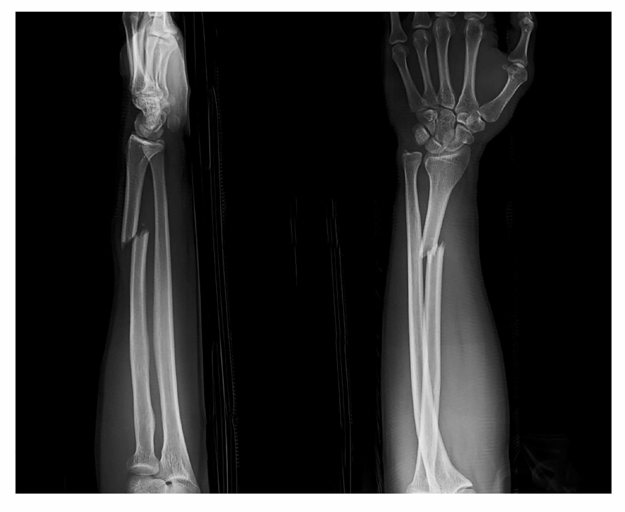
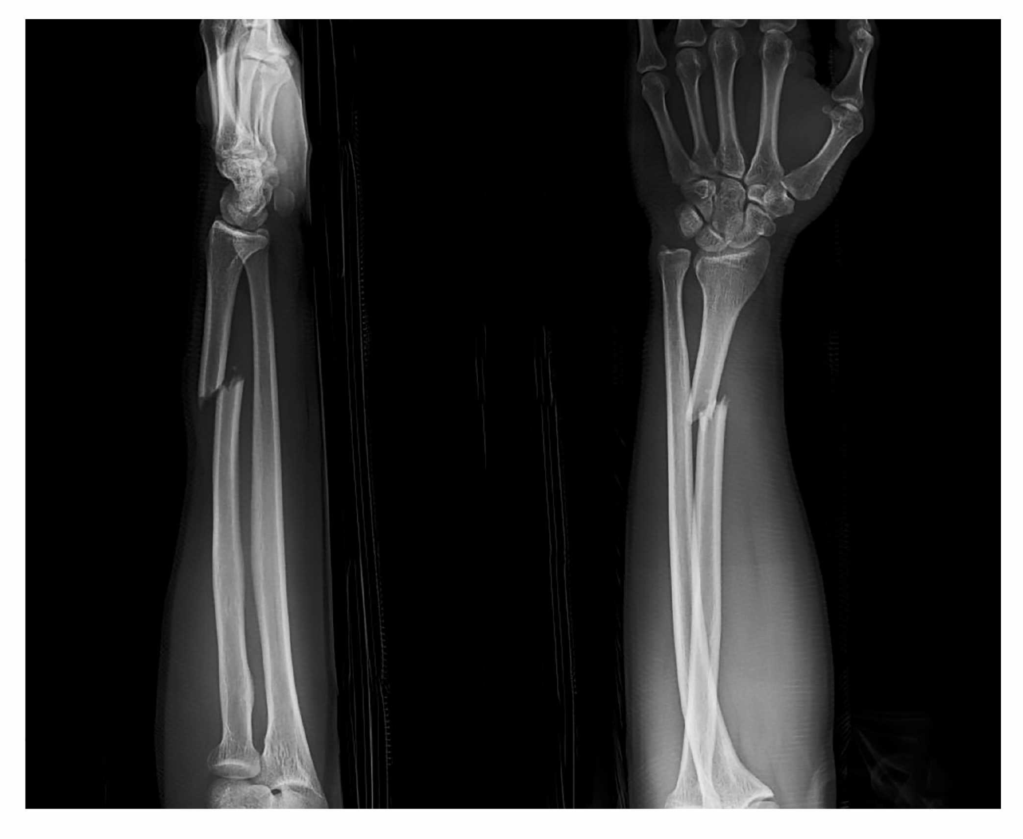
A 32-year-old man presents to the ED after a fall off of a skateboard. His X-ray is shown above. Which of the following physical exams will evaluate for the most commonly associated nerve injury in this type of fracture?
Median nerve injury (anterior interosseous nerve)
A 79-year-old man presents to the ED after falling down four steps and hitting his head. He has a history of atrial fibrillation and takes warfarin. On physical exam, he does not open his eyes to painful stimuli and exhibits a decerebrate posture. A subarachnoid hemorrhage in the right parietal lobe with 8 mm of midline shift is seen on CT imaging of the head.What med can help reduce intracranial pressure?
Mannitol or hypertonic
What factor is associated with a diagnosis of SCIWORA (spinal cord injury without a radiographic abnormality)?
Presentation in younger children versus adults
A 20-year-old man presents with a possible chemical burn to his right eye. He works at a chemical plant and was not wearing his protective goggles when what he believes is ammonia splashed in his eye. He reports right eye pain and decreased vision. Which of the following is the most appropriate sequence of steps in the care of this patient?
irrigate > measure pH > visual acuity

A 16-year-old boy presents to the ED with a knee injury sustained while competing in a gymnastics meet. His exam is shown above. What is the best next step in the treatment of this injury?
Provide pressure medially from the lateral aspect of the dislocated segment while simultaneously extending the knee
A 21-year-old woman at 39 weeks gestation is brought in by paramedics following a head-on motor vehicle collision. She was initially moaning but lost her pulse on arrival to the emergency department. The physician opts to perform a resuscitative hysterotomy. Where should the first incision be?
Midline vertical incision starting at the top of the fundus extending caudally to the pubic symphysis
26 year old male presents after a rollover MVC. Patient is opening eyes spontaneously, answering questions and following commands. Vital signs are HR of 84/58, HR 56, SpO2 96%, RR 12. On secondary exam, you note patient does not have sensation below the nipple line. What is the best next step?
A. Crystalloid Solution
B. Unmatched whole blood transfusion
C. Initiate vasopressors
D. Intubate

A 47-year-old man presents with right eye pain and tearing. Visual acuity is 20/30 on the left and 20/200 on the right. After instilling fluorescein into the affected eye, you see the above on slit lamp exam. Which of the following is contraindicated in patients with this condition?
Measurement of IOP

A 32-year-old man presents to the emergency department with his right arm held in an upright position over his head as represented in the image above. He is unable to lower it. Which of the following mechanisms is likely responsible for his condition?
( axial load to an outstretched arm (and less commonly forceful hyperabduction) > Collision with the side of a swimming pool with his arm in a forward position
A 12-year-old boy with a known history of sickle cell disease presents to the emergency department with progressively worsening left leg pain over the past week. He reports the pain is deep, constant, and associated with swelling and warmth over the area. He has had subjective fevers at home. There are no reported falls or trauma to the area. On physical examination, his temperature is 38.5°C (101.3°F), heart rate is 110 bpm, and blood pressure is 110/65 mm Hg. His left tibia is tender to palpation, with associated erythema. There are no open wounds or skin ulcerations. Laboratory studies reveal a white blood cell count of 15,000/µL with neutrophilic predominance and an elevated C-reactive protein. Plain film X-rays demonstrate soft tissue swelling and periosteal elevation of the distal metaphysis. What is the most likely causative organism of this patient’s condition?
Salmonella spp
A 27-year-old construction worker is brought to the ED in full spinal precautions after a wooden beam fell directly on his head. He reports neck pain. With the axial load, what type of cervical spine injury does this mechanism put him at risk for?
Jefferson Fracture
A 57-year-old woman presents to the ED with a facial laceration. She was outside shoveling snow and slipped on the ice, landing face-first. She has right orbital pain and an eyelid laceration. What finding would be observed on fluorescein examination if the patient had a lacrimal duct laceration?
Fluorescein dye pooling in the medial canthal region

A 16-year-old boy presents to the ED with acute left knee pain. He was riding his bicycle when his back tire was hit by a car. He reached his left leg outward while attempting to prevent his bike from falling and felt a “pop” and then excruciating knee pain. The patient is lying in bed with his left knee slightly bent, but he is unable to move the leg or knee. There are no obvious bony deformities. You feel boggy swelling and tenderness over the patellar region. His lateral knee X-ray is shown above. What is the most likely diagnosis?
Patellar tendon rupture
hich of the following clinical features is an indication for immediate, emergent exploratory laparotomy in the setting of penetrating abdominal trauma?
Bowel Evisceration
A 16-year-old boy presents to the emergency department with a neck injury after diving into a shallow lake. A cervical spine radiograph shows a flexion teardrop fracture of C6. The physical exam reveals paralysis of the lower extremities, with loss of pain and temperature sensation below C6. Proprioception and vibratory function remain intact. What is the most likely diagnosis in this patient?
Anterior cord syndrome
A 30-year-old man presents with left eye pain. He reports getting into an altercation 2 days ago and being punched in the face. His extraocular movements are intact. His examination reveals a sluggish left pupil with decreased visual acuity. He has consensual photophobia. Which of the following is the most likely diagnosis?
Traumatic Iritis
An 11-year-old boy falls off his bike and knocks his right central incisor out 30 minutes before presenting to the ED. This is a permanent tooth. Which of the following is the most appropriate next step?
Hold the tooth by the crown and reimplant it into the socket
A 34-year-old man presents to the ED via EMS following a motorcycle collision. He was reportedly traveling 50 mph when he was struck by another vehicle, lost control, and crashed into a concrete barrier. Given the delayed EMS response and long transfer time, the crash occurred approximately 4 hours prior to arrival. Vital signs show a T of 96.4°F (35.8°C), HR of 132 bpm, BP of 72/38 mm Hg, RR of 26/min, and SpO2 of 96% on room air. X-ray of the pelvis shows an open book fracture, for which a pelvic binder is placed. An eFAST exam is negative. Which of the following is the most appropriate next step in management, along with a massive transfusion protocol?
A. Administration of IV tranexamic acid
B. Emergent endovascular embolization
C. Emergent exploratory laparotomy
D. Resuscitative endovascular occlusion of the aorta
E. Resuscitative thoracotomy