An 8-year-old boy presents to the emergency department after being unrestrained in a motor vehicle collision. Due to significant bruising over his chest, you decide to evaluate for blunt cardiac injury. Which of the following tests, if normal, is sufficient to rule out a blunt cardiac injury in this patient?
ECG and troponin
A 28-year-old man presents with right knee pain after he fell playing soccer. On exam, his patella is superiorly displaced. He is tender inferior to the patella and is unable to extend his leg at the knee. Which of the following is the most likely diagnosis?
Patellar Tendon Rupture
A 42-year-old man with no significant past medical history presents to the ED at the request of his boss for an electrical injury at work. He was exposed to a high-voltage line > 1,000 V but reports he only felt a small shock in his right arm and now is asymptomatic. He has no symptoms and remembers the entire event. His vital signs are normal. His physical exam findings, including an extensive skin exam, are normal. An ECG is obtained and shows normal sinus rhythm at 82 bpm. Basic blood work and urine studies return within reference range. What is the best next step in management?
Admission for observation
26 year old male presents after MVC with bilateral arm pain with associated paresthesias. Exam notable for midline TTP over C4-C6. CT Cervical spine without bony abnormality. What is the next best step in management?

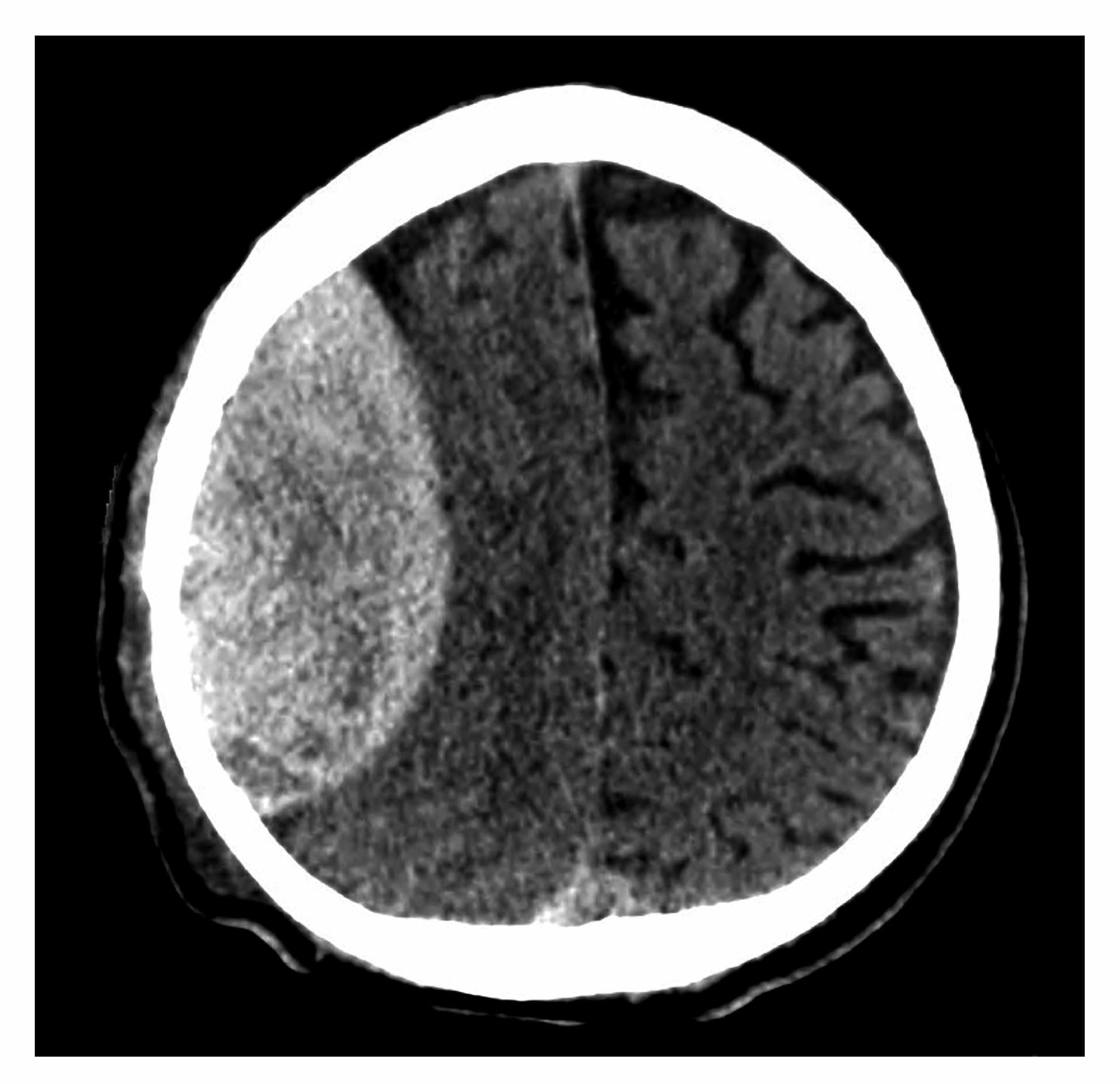
A 50-year-old skier collides with a tree. A head CT is shown above. What is the structure is disrupted?
Middle meningeal artery
Fracture of which of the following structures should prompt a high index of suspicion for high-energy trauma?
Scapula Fx

A 34-year-old man presents to the ED after he was struck by a motor vehicle while on his bicycle. He landed on his right side and reports pain to the right shoulder. On exam, there are no abnormalities, including on dermatologic and neurovascular assessment. His shoulder X-ray is shown above. What is the treatment for this injury?
A 12-year-old girl presents to the ED after her cat bit her hand. The cat is fully vaccinated. There are two small puncture wounds to the hypothenar eminence. No foreign bodies are identified on X-ray or visual inspection of the wound. The patient has had an allergic urticarial reaction to penicillin in the past. Which of the following is the best prophylactic treatment?
Cefuroxime and Flagyl
A 70-year-old man with a history of chronic neck pain presents after a fall. On physical examination, he has a laceration on his chin. Motor strength is 2/5 in his upper extremities and 4/5 in his lower extremities. He has decreased sensation to soft touch in both legs. Which of the following is the most likely diagnosis?
Central Cord Injury
A 15-year-old boy presents with altered mental status after being hit in the head with a baseball bat. His vital signs are BP 188/110 mm Hg, HR 42 bpm, RR 10/min, and SpO2 99%. What are his vital signs suggestive of?
Impending herniation
A 34-year-old woman is brought to the ED after a motor vehicle collision. She presents with extensive head and facial trauma and is unable to give any meaningful history. On physical exam, she is agitated and does not open her eyes, even to painful stimuli. She is moaning, has incomprehensible speech, and appears to move all of her extremities but not on command. The clinician is unable to obtain intravenous access. Therefore, an intraosseous line is placed in her left tibia, and during this procedure, the patient's leg moves away from the intraosseous line. What is this patient’s Glasgow Coma Scale score?
7

A 45-year-old man presents to the emergency department with an injury to his hand. He was playing basketball with his son and developed a sudden onset of pain in the distal aspect of his long finger when trying to catch the ball. Exam findings at rest are shown above. The patient is unable to actively extend his distal interphalangeal joint. What type of splint is used for this injury?
Volar Splinting of the DIP in Extension
A 24-year-old man presents to the ED with a foot injury. He was walking on a dock 2 hours prior, wearing rubber-soled sandals, when he stepped directly on an exposed nail. He says the nail went through his shoe and into his foot, but he quickly removed it. His last tetanus immunization was 4 years ago. No foreign body is visualized on gross examination or X-ray of the foot, and the wound is irrigated extensively. What class of of antibiotic is first line treatment for this injury?
Fluoroquinolone (levofloxacin)
What is the target MAP for an acute spinal cord injury?
MAP >85
What Type of odontoid fracture is considered stable?
Type I
An 18-month-old boy presents to the ED with a minor perioral electrical burn sustained after he was found chewing on an electrical cord. He is awake, alert, and crying. What is the most common complication of this injury?
Delayed Labial Artery Bleeding

A 5-year-old girl presents to the ED with her parents for arm pain after a fall. Her age and general shyness makes a full history and review of systems difficult. Her parents report she was found next to the couch crying. They assume she fell off onto her arm. She now does not want to move her arm. She has no other evidence of trauma on her physical exam. X-rays of her forearm are shown above. What is this fracture called?
Torus (Buckle) Fracture

A 6-year-old girl presents to the ED after slamming her thumb in a door 1 hour prior to arrival. Her thumb is as shown above. What is the best next step in management?
Xray and trephination
A 16-year-old boy presents to the emergency department with a neck injury after diving into a shallow lake. A cervical spine radiograph shows a flexion teardrop fracture of C6. The physical exam reveals paralysis of the lower extremities, with loss of pain and temperature sensation below C6. Proprioception and vibratory function remain intact. Which incomplete spinal cord syndrome does this patient have?
Anterior Cord syndrome
A 45-year-old man is brought to the ED by EMS. He was struck over the head with a lead pipe and presents with altered mental status. On examination, he is grunting and moaning incomprehensible sounds. He opens his eyes when nursing staff attempts to establish intravenous access, and he is noted to have decerebrate posturing. What is his Glasgow Coma Scale score?
6
A 72-year-old man with a history of hypertension, emphysema, and depression presents to the emergency department after a house fire. He is awake and alert but screaming in pain due to multiple burns across his body. His exam reveals a 100 kg man with superficial burns of his entire chest, superficial partial thickness burns of his entire left arm and half of his right arm, and deep partial thickness burns of the anterior left lower extremity. Along with admission to a burn unit and wound care, using the Parkland formula, what fluid resuscitation should be started in the emergency department?
4500cc over first 8 hours
A 7-year-old boy with a history of cognitive delay presents to the ED with his parents for arm pain. His parents do not remember any trauma to the patient’s arm. They report he was running around outside and began crying. The boy’s cognitive delay limits further history and review of systems. His physical exam shows a well-developed, well-nourished child being comforted in his parent’s arms. The X-ray of his arm is consistent with a greenstick fracture. What degree of angulation may result in the possible need to complete the fracture before splinting?
>10 degrees of angulation
After spilling glass etching solution, a 34-year-old artist presents with pain and a whitish discoloration to her index finger and thumb on the left hand. She states severe pain started a few hours after the spill. What laboratory findings would you expect from this type of chemical burn?
Hypocalcemia
By what mechanism does hanging cause cerebral injury?
Venous compression leading to cerebral congestion and edema
What brain structure is most likely to herniate (with significant clinical consequence) following traumatic brain injury?
Temporal lobe