How will gram (-) vs gram (+) appear under a gram stain?


A 23-year-old man comes to the physician for a 1-week history of orange discoloration of his urine. Urinalysis shows 1+ blood. He has had no recent illnesses he can recall. Four months ago he went traveling through western Africa for two weeks with a group of friends. Which of the following is the most likely diagnosis and treatment for this patient?
A. Schistosoma haematobium infection — praziquantel
B. Plasmodium falciparum infection — chloroquine
C. Leptospira interrogans infection — doxycycline
D. Trichomonas vaginalis infection — metronidazole
A 24-year-old woman comes to the physician for a 1-week history of blistering skin lesions on her arms, trunk, and legs. A biopsy specimen of the skin shows subepidermal blisters. One year ago she was treated with trimethoprim/sulfamethoxazole for a urinary tract infection. Vitals are normal. Which of the following is the most likely explanation for this patient’s findings?

A. Bullous pemphigoid
B. Goodpasture syndrome
C. Granulomatosis with polyangiitis
D. Pemphigus vulgaris
E. Stevens-Johnson syndrome
A = Bullous pemphigoid
B = Pemphigus vulgaris


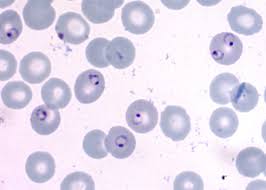
A 46-year-old man comes to the physician for a 4-day history of fever. He recently immigrated to the USA from Nigeria. He appears lethargic. Temperature is 103°F. Thick and thin blood smears are ordered. A photomicrograph is shown.
Which of the following is the most likely diagnosis?
A. Babesia microti infection
B. Plasmodium falciparum infection
C. Trypanosoma brucei infection
D. Leishmania donovani infection
A 66-year-old man comes to the physician for a 2-day history of high fever and severe leg pain. Physical examination shows darkening of the skin of the leg and crepitus. He has a 30-year history of type II diabetes mellitus and hypertension managed with multiple medications. Vitals are: temperature 103°F, HR 80, RR 20, BP 150/90. A gram stain of the causal organism is shown.

Which of the following is the most likely explanation for this patient’s findings?
A. Coagulase
B. Exotoxin A
C. Phospholipase C
D. Lipid A
E. Lipoteichoic acid
Clostridium perfringens