Do use cardboard, plastic or metal to make one of these providing you pad to prevent pressure injuries
What is a splint
Name 3 diagnostic tests that can help diagnose an orthopedic injuries
What is X-ray, CT, MRI, or US

A stretch or tear in a ligament
What is a sprain
This type of fracture can cause a lose of 1500ml's of blood
What is a femur fracture
What is the 6 P's of compartment syndrome
What should you not do when splinting an extremity deformity?
What is
Don't reposition the extremity
A child using crutches which seem to be too tall. When assessing the crutches under the armpit what do you look for?
What is 2-3 fingers width between the crutch and the armpits

Fracture from forceful twisting of the limb, and suspicious in a young child
What is a spiral fracture
This is when fat is released from the medullary cavity into the bloodstream from long bones
What is a fat emboli
This is a type of overuse injury that occurs primarily in the tibia, fibula and feet in young athletes from repetitive motion
What are stress fractures
You are putting a splint on an adolescents forearm what is something you do check before and after application
What is
Do check a radial pulse
This is an area of broken capillaries of venules beneath the skin with extravasation of blood
What is a contusion or bruise
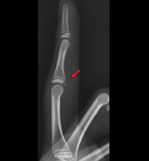
What school sport activity commonly causes this injury

What is basketball
This sport can cause hyperextension of the finger causing an avulsion fracture, Joint ligaments are strong it is easier to pull off a small bone instead of tearing the ligament.
A crush injury can cause cellular destruction and release a large amount of this electrolyte into the serum and the child is at risk for what cardiac complication
What is dysrhythmias
There is a USA safety advisory committee that provides guidelines for limits of allowed per week. What sport is this referring to?

What is baseball.
This chart refers to allowable number of pitches and games per week
Do use R.I.C.E to quickly treat pain and swelling after a soft tissue injury. What does it stand for?
What is
Rest, Ice, Compression, Elevation
Control of hemorrhage by direct pressure is unsuccessful what do I do now?
What is
Packing, hemostatic dressing, tourniquet
A complete disruption of the bony articulating surfaces in the joint
What is a dislocation
Splint in position of comfort and will need a reduction
If someone has a cast and is complaining of severe pain out of proportion to injury and swelling is increasing what do you suspect
Fractures often occur at the physis in children. What is another term used for physis?
What is growth plates
Almost every bone has a physis which is the specialized cartilage located at the end of long bones and looks like a dark line on xray. Physis fractures make up 15-30% of all fractures in children
A child had an accident in woodshop and cut off 1/2 his 3rd finger, what should you do with the amputated part?
What is: Do wash the amputated part with water
Do wrap amputated part in moist gauze
Do place wrapped part in plastic bag
Do place 1st bag with part inside a 2nd plastic bag with ice
After stepping on a nail a ten year old developed this from bacteria entering the bloodstream which causes an inflammatory process of the bone
What is Osteomyelitis
This is where bone fragment sites are not aligned
What is a displaced fracture
Significant muscle damage and cellular destruction release myoglobin, a muscle protein into the cell. This is called__________
What is Rhabdomyolysis
You have a knee dislocation what might be missed or is an associated injury?
What is a popliteal artery injury