A 30 year old woman has chest pain after prolonged bouts of vomiting after binge drinking
What is Boerhaave syndrome?
Alcohol and gallstones account for most cases of this condition
What is pancreatitis?
Diarrhea after recent antibiotics should raise suspicion for this pathogen
What is C. difficile
Black tarry stool indicates bleeding proximal to this anatomic landmark
What is the ligament of Treitz
MCC of surgical abdomen in the US
What is appendicitis?
Referred shoulder pain from diaphragmatic irritation typically localizes here
What is the shoulder?
sign-Kehr's
This is the classic picture for acute cholecystitis
What is RUQ pain, GB wall>5mm, perichol fluid, gallstones
This bacteria is often linked to undercooked poultry, causing fever abdominal cramps and bloody diarrhea
What is Campylobacter?
Common cause of painless BRRB
What are hemorrhoids?
Cullen and Grey-Turner signs indicate internal bleeding often caused by this condition
What is hemorrhagic pancreatitis
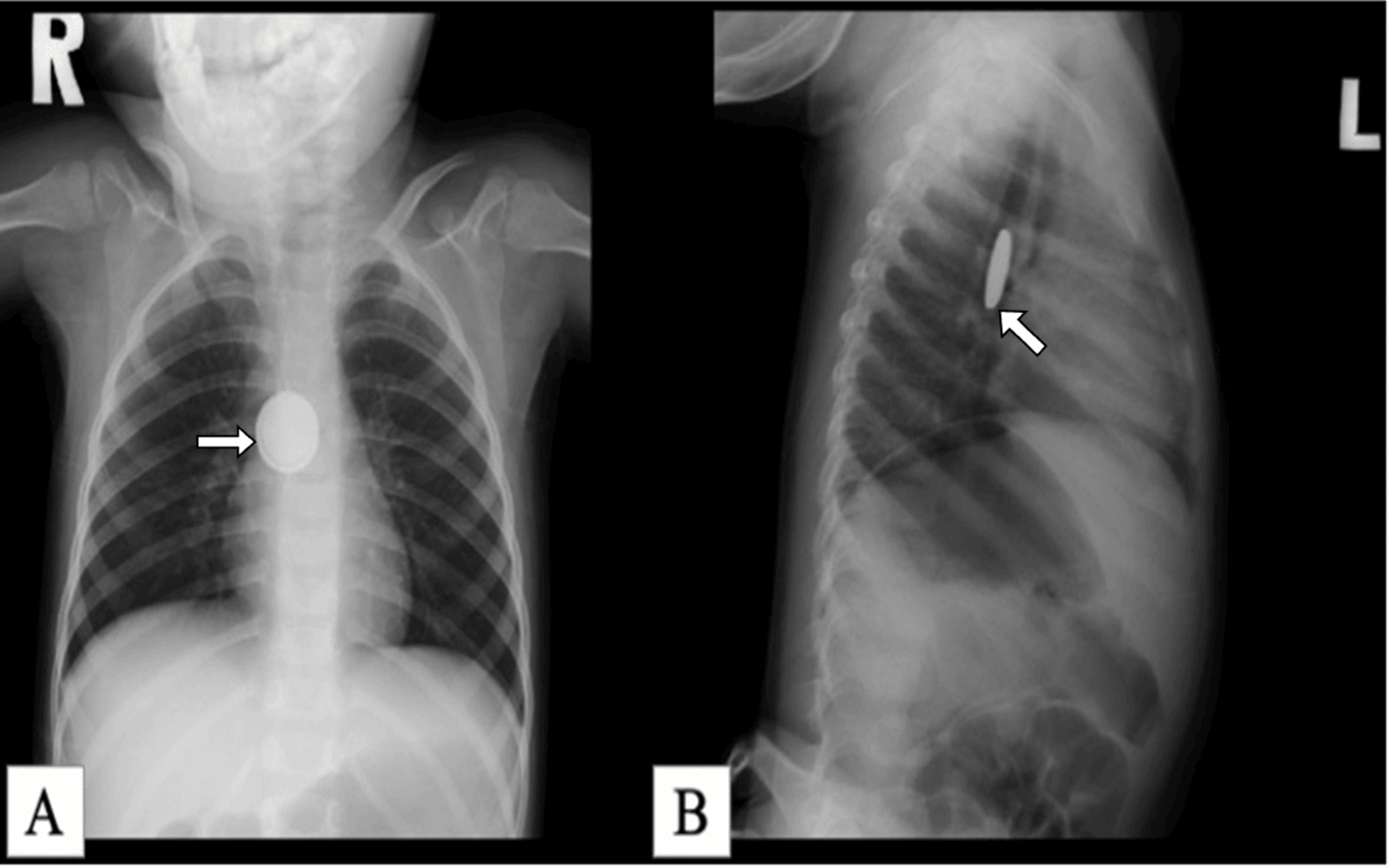
HALO sign on plain radiography suggests ingestion of this

What is a button battery ingestion?
Asterixis is typically seen in this liver-related syndrome
What is hepatic encephalopathy?
This protozoan causes prolonged watery diarrhea and is associated with contaminated lakes and "beaver fever"
What is Giardia lambda?
What is an upper GI bleed?
Severe pain out of proportion to exam is a hallmark of this condition
What is Mesenteric ischemia
This is the most common spot for food bolus to get lodged
What is lower esophageal sphincter (T10-T11)
This condition accounts for RUQ pain, fever and jaundice?
What is ascending cholangitis?
This invasive pathogen causes dysentery can trigger HUS and carries the highest risk when associated with serotype 0157:H7
What is Shiga-toxin producing E coli?
What do antibiotics do to this condition?
This is the treatment regimen for ruptured varicose
What is Octreotide, balloon tamponade, end band prophylactic antibiotics and blood
A 70 male presents with sudden onset abdominal pain with guarding and rebound. His diagnosis is likely this.
What is an anterior bowel perforation?
These items must be removed via emergent endoscopy
What are button batteries in the esophagus, double magnets, sharp objects, objects >5cm long and >2cm wide
This indicates high infectivity of Hepatitis B
HBeAg
In patients with CD4<50, this acid fast protozoan causes profuse watery diarrhea and oocytes can be detected with modified Kinyoun stain.
What is Cryptosporidium?
Painless large-volume hematochezia with hypotension and a history of CV disease raises a red flag for this catastrophic etiology.
What is an aortoenteric fistula?
These granulocyte and PMN counts on ascitic fluid suggest SBP
What is >500/mm3 and >250 cells/mm3